上海疑难种植名医工作室入驻浙江萧山医院,当天就有患者从温州赶来种牙
去年底,上海疑难种植名医工作室正式入驻浙江萧山医院口腔科,并于2022年12月15日举行了揭牌仪式。当天,就有患者特意从温州赶来种牙,通过VIIV专利种牙技术,为客户实现了当天种牙当天戴牙。
浙江萧山医院口腔科是其口腔诊疗、教学、科研、预防为一体的重点专科。不久前,该院口腔科与鼎植医生集团达成学科共建,正式完成口腔科的扩业升级。
浙江萧山医院党委书记殷建木和鼎植医生集团董事长黎强揭牌
随着上海疑难种植名医工作室在浙江萧山医院口腔科正式入驻,以鼎植医生集团黎强博士为首的口腔疑难种植专家将会每月定期到口腔科坐诊,并在专家、技术方面开展全面合作和资源共享,将填补穿颧种植、穿翼板种植等复杂疑难种植在萧山当地案例上的空白,有效提升临床种植手术精准度,减少伤口创伤,减轻患者痛苦,实现当天种牙,当天戴牙,乐享生活好滋味。
当天,缺牙患者金先生在爱人的陪伴下特意从温州瑞安赶来,请黎强博士为他做种植牙。“我们平时不怎么去外面吃饭的,他现在牙齿不好,平时只能吃一些软一点的食物,还是挺不方便的,我们希望通过种植牙解决这个问题”,金先生的爱人说。
“老伴有好口福是我的心愿”
金先生年轻时有抽烟喝酒的习惯,经年累月下来,牙齿一颗颗龋坏了,直到几年前,上半口牙齿仅存三颗,在当地做了活动义齿。
上半颌仅剩3颗残牙,咀嚼功能几乎没有
做了活动假牙之后,金先生总感觉口内不舒适,每天都要摘取下来清洗,给生活带来极大的不便。金先生动了做种植牙的念头,可是他的心血管有大面积堵塞,长期在服用抗凝血的药,咨询了很多口腔医生都无法解决。而且金先生牙槽骨萎缩十分严重,无法进行常规种植。
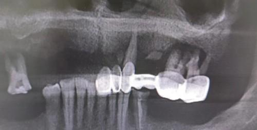
6颗种植体恢复上半口14颗牙齿
后来,金先生从朋友那里得知,上海口腔疑难种植专家黎强博士擅长做穿颧骨、穿翼板等疑难种植,提前知道黎强博士12月15日到浙江萧山医院出席揭牌活动,头天下午他们特意从温州赶来了萧山。
金先生收获当天有牙的快乐
黎强博士当天为金先生做种植手术,种下6颗种植体恢复上半口14颗牙齿,当天就戴好牙齿可以吃饭了,这一趟萧山之行,让金先生和爱人都感到非常开心。
患者家人的朋友圈截图
浙江萧山医院口腔科简介
浙江萧山医院口腔科集口腔疾病医疗、教学、科研、预防为一体,是杭州师范大学医学院口腔医学实习基地。科室目前开设有口腔种植、口腔正畸、口腔修复、儿童口腔,牙体牙髓,牙周健康管理中心等六大专业。科室现有医护人员50余人,致力口腔医疗特色技术创新,引进了多项核心专利技术和多位疑难种植专家。
升级后的口腔科位于浙江萧山医院2号楼4楼,使用面积达1300多平方米,牙椅18台,一人一诊室,私密、舒适,还设有儿童游乐区,为群众口腔健康保驾护航。
浙江萧山医院口腔科环境
医院还贴心为小朋友们布置了童心满满的房间,让小朋友看牙的时候放松心情,快乐看牙。