新浪新闻

六神胶囊新增新冠药物适应症获临床批件

关注

2022年12月1日,雷允上药业集团有限公司微信号发布《重磅!六神胶囊新增新冠药物适应症获临床批件》一文。文章显示:2022年8月,雷允上集团六神胶囊新增新冠药物适应症获得了中国国家药监局颁发的临床批件,目前公司已启动该药物临床研究相关工作。雷允上集团将联合项目组采用多中心、随机、双盲、安慰剂对照临床研究评价六神胶囊治疗新型冠状病毒肺炎患者的有效性和安全性。

六神胶囊是雷允上集团独家品种,组方源自雷允上经典名方——六神丸,为适应市场需求,雷允上集团组织科研攻关,在六神丸组方基础上研制出六神胶囊。在长期的人用经验中已被证明六神胶囊具有广泛的药理特性,例如抗炎、抗病毒和免疫调节活性。疫情暴发后,六神胶囊与六神丸通过体外抗新冠药效学试验发现六神胶囊(丸)可以显著抑制SARS-CoV-2诱导的炎症细胞因子过表达,表明六神胶囊可以通过下调炎性细胞因子诱导的病毒表达并调节NF-κB/MAPK信号通路的活性来抑制2019-nCoV病毒感染。

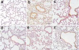
在六神胶囊体内抗新冠药效试验中发现六神胶囊可有效改善新冠病毒引起的肺组织病变,表现为肺泡壁破坏减少、肺泡渗出症状减轻,表明六神胶囊能显著减轻新冠病毒原始株诱导的急性肺损伤。免疫组化结果证明,病毒模型组小鼠肺组织中出现NF-κB p65蛋白核转位磷酸化,而所有剂量的六神胶囊和瑞德西韦均能显著抑制流感病毒诱导的NF-κB p65蛋白核转位磷酸化,且六神胶囊各剂量组作用效果比瑞德西韦阳性对照组更明显。表明六神胶囊可能是通过阻断NF-κB/MAPK信号通路的活化从而发挥抗SARS-CoV-2原始株作用。

同时苏州市新冠定点医院专家团队在苏州市新型冠状病毒感染的肺炎定点收治医院通过采用随机对照研究的方法,观察六神丸(胶囊)治疗新冠肺炎核酸转阴的有效性和安全性。结果显示,试验组入组后病毒平均转阴时间短于对照组,服用六神丸(胶囊)能够明显缩短阳性患者的病毒转阴时间以及提高阳性患者的转阴率。

目前,国内外新冠疫情流行形势依然严峻,对有效疫情防控产品需求迫切。雷允上集团的六神胶囊(丸)的临床研究或能为疫情防治提供新的诊疗思路。

(来源:新视线)

加载中...