新浪新闻

合肥普瑞再添“黑科技”海德堡 Spectralis HRA 共焦激光同步血管造影系统

关注

眼底病的病因复杂、病情多变,危害性极大,很多眼底病还伴随着致盲的风险,如果没有及时发现并采取相应的治疗,会对我们的生活造成巨大影响。随着医疗仪器的不断升级更新,人们对高精检查设备的需求也日益增加,为了更好地服务于患者,合肥普瑞眼科医院引进了眼科尖端诊疗设备——配备“天幕”102°超广角镜头的海德堡 Spectralis HRA共焦激光同步血管造影系统。

眼底血管造影是眼科临床上非常重要的检查方式,广泛应用于眼底血管疾病。海德堡共焦激光同步血管造影系统采用独特的共焦激光造影,只接受共焦平面的发射光,没有散射光干扰,可以获得高分辨率、高对比度的造影图像。同时基于共焦激光逐点扫描的特点和激光的高准直性,Spectralis HRA在小瞳下也可以获取高质量图像。可以同步进行FFA和ICGA造影,一次拍摄可将视网膜与脉络膜的血管造影实时同屏显示,方便临床医生进行同步对比观察,为诊断提供更全面和精准的信息。

传统造影系统的荧光素钠血管造影 (FFA) RPE病变透亮区看不到细节

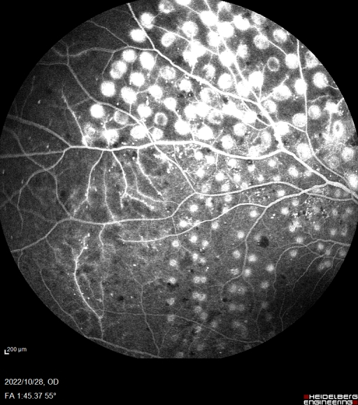
Spectralis HRA高清晰造影图像

传统造影系统的吲哚青绿血管造影 (ICGA) 中晚期造影图像缺乏对比度,无法分辨细节

此次合肥普瑞眼科医院引入的海德堡 Spectralis HRA共焦激光同步血管造影系统可配备有“天幕”102°超广角镜头,是造影设备的全新升级。102°超广角造影图像的观察范围更广,有效涵盖周边眼底,可以更早的发现早期糖尿病视网膜及一些血管性疾病的周边部改变,对于控制患者病情发展,减少视力损害意义重大。同时Spectralis HRA还具有动态造影的独特功能,每秒钟可以获取16帧高清图像,全程记录血管充盈过程,不遗漏重要细节。

55°成像

合肥普瑞眼科医院扎根合肥16载,在为患者提供全面、细致诊疗服务的同时一直不断优化医院特色专科建设,医院眼底病专科人才实力雄厚,拥有以沈咏梅副院长、张思伟副主任医师领衔的具有丰富临床经验、专业技术过硬的眼底病专家团队,在视网膜脱离、高度近视眼底病变、糖尿病性视网膜病变、老年性黄斑变性、葡萄膜炎等疑难杂症的诊疗上居省内前列。2022年6月,由眼底病专科副主任张思伟担任负责人,合肥普瑞眼科医院正式成立“飞蚊症工作室”,率先在安徽省内开展玻璃体消融激光治疗飞蚊症。张思伟副主任医师介绍:Spectralis HRA拥有的无赤光成像(Red Free)功能对于定位和发现难治性飞蚊尤其是年轻人飞蚊症有很大帮助,这对广大飞蚊症患者来说是个非常大的福音。

福工欲善其事必先利其器,合肥普瑞眼科医院先后引进欧堡Daytona超广角激光扫描检眼镜、Pentacam三维眼前节分析仪、 WAVESCAN WAVEFRONT波前像差和虹膜定位系统、美国AMO白内障冷超声乳化仪、美国iTrace视功能分析仪、(美国科医人Smart Selecta Duet眼前后节一体化多功能激光治疗平台)、德国蔡司 IOL-MASTER 700、德国蔡司 OCTA光相干断层扫描仪(CIRRUS HD-OCT5000)、德国海德堡HRT3共焦激光断层扫描仪、德国蔡司Rescan700术中OCT导航显微镜、日本TOPCON综合验光仪等系列在全球具有先进水平的眼科诊疗设备,致力于为患者提供更全面、精准的医疗服务,为安徽省眼健康事业贡献全部力量。

10月28日,眼底病专科副主任张思伟利用海德堡 Spectralis HRA共焦激光同步血管造影系统顺利完成首例患者广角眼底血管荧光造影检查,为眼底病患者后续相关治疗提供有力支持,标志着合肥普瑞眼科医院眼底病专科诊疗水平再上新台阶。未来,合肥普瑞眼科医院将始终秉承“用爱传递光明”的理念,坚持以患者为中心,优化医院重点特色专科建设,全面提升医院各项诊疗服务水平,为人民群众的眼健康保驾护航!

海德堡共焦激光眼底造影成像的模式

视网膜造影FFA

脉络膜造影ICGA

无赤光成像RF

红外成像IR

自发荧光成像FAF

视网膜与脉络膜同步造影 FFA+ICGA

视网膜造影与红外成像同步 FFA+IR

脉络膜造影与红外成像同步 ICGA+IR

(来源:新视线)

加载中...