新浪新闻

全瓷牙品牌千千万!国产爱迪特全瓷牙到底好在哪里?

关注

追着人们观念的改变,越来越多人在做牙冠的时候会考虑做全瓷牙,市面上全瓷牙品牌丰富,有爱迪特,威兰德、Lava、泽康威兰德等等。但是消费者面对这些品牌时,往往不知道选择哪个,犹豫不决。其实对于消费者来说,最明显的区别是三者的价格差异,美国Lava比较贵,威兰德和爱迪特价格比较亲民,也是大众能接受的。

今天给大家分析下爱迪特和威兰德两个品牌的全瓷牙的区别

两个品牌的主要成分都是二氧化锆,威兰德的含量相比会更高一点点。

不同之处主要体现在这几个方面:

1、品牌方面:爱迪特是国产品牌,威兰德是德国进口品牌,使用的材料有所差异。但是爱迪特3D绚彩pro锆粉采用的是100%TOSOH氧化锆粉体。

2、美观度方面:威兰德全瓷牙采用全自动计算机切割,在透光性和美观性等方面要比爱迪特要更好一些,如果是前牙,选择威兰德会美观度更高,做完的效果胜似真牙。

3、价格方面:德国威兰德品牌的价格比爱迪特更加贵,价格相差近千。

4、硬度强度方面:威兰德在抗弯程度、耐磨性和硬度方面都会比爱迪特的要好一些。

所以综合来说,建议大家根据自己的经济预算和实际需求来选择,不用过于纠结。

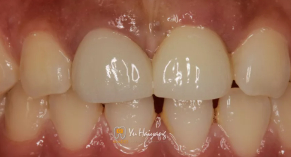
其实现在国产品牌的品质也是很好的,除了品牌的选择,医生的技术也是很重要的。下边这个病例是用华西口腔于海洋老师用爱迪特的绚彩3DPRO做的前牙修复病例,是不是效果很好!

  (来源:新视线)
加载中...