新浪新闻 社会

女孩高考晕倒确诊骨癌!自己签字进行6次手术截肢,上海医生全力救治

新浪新闻

关注
听新闻

来源 | 新闻晨报 陆靖珺综合海报新闻、紫牛新闻、上海市一骨肿瘤科

近日,上海,23岁女孩夏夏发视频表示,自己体内的骨癌细胞又一次转移了,这次是肋骨和胸膜。新的化疗、靶向治疗,甚至切除手术,又将开始。

18岁确诊骨癌,19岁截肢,23岁面临多处转移。 这就是夏夏过去五年的青春。肺叶切除,六次大手术,无数次化疗。为了“活下去”这个简单的愿望,她付出了常人难以想象的代价。

高考时晕倒确诊骨癌

右腿截肢

2021年,安徽合肥女孩夏夏时年19岁,夏夏是一位美术特长生,高考前,她发现自己的右腿不太对劲,“有时候痛得甚至走不动路,但真的舍不得放弃学业”。

“高考考数学的时候我晕了过去,把监考老师吓一跳,最后一瘸一拐去厕所呕吐,再回来继续写考卷,太难了”。

高考结束后,夏夏立即去了医院。后来,她被确诊为骨肉瘤,俗称“骨癌”,这是一种非常凶险的癌症。

夏夏说自己的“幸运值”不高,所以得了这种病。由于从小体质就比较弱,夏夏对化疗反应很强烈,掉头发、皮肤变黑、呕吐……

医生想尽各种办法,提升她的白细胞、红细胞、血小板,但是,为了阻止恶性肿瘤进一步扩散,她的右腿还是没保住。截肢后的她还是乐观面对生活,她说:“一条腿换一条命很值”。

高考成绩出来后,夏夏被安徽合肥的一所师范学院录取了,如果身体没有患病,她觉得自己的分数应该会更高一些。

父母失联

自己签字手术,摆摊谋生

夏夏曾在视频里平静地讲述自己截肢的决定。当活下去成为唯一的信念,所有的失去都可以被衡量、被承受。

更让人心疼的是,这场艰苦卓绝的战斗,她几乎是一个人完成的,爸爸一次都没有来过,妈妈也在她生病一年后断绝了联系,复杂的家庭情况让她早早独立,自己攒钱买假肢,自己签字做手术,自己拖着病体辗转于医院之间。

就在以为日子会越来越好时,夏夏复查查出癌症转移到肺部,她再次入院接受手术。

堆叠如山的账单让她难以支撑,她开始摆摊卖手工赚钱。有网友在街边看到乐观开朗的她,通过视频讲述了她的故事,夏夏也因此受到媒体和网友的关注。

她说:“习惯一个人了。”在她的社交账号上,年龄那一栏,她郑重地填上了“100岁”。一个23岁的骨癌晚期女孩,最大的愿望,是能活到100岁。 这不是玩笑,这是她对生命最深切、最直白的渴望。

上海医生全力救治

“请说,公主请恢复健康”

抗癌少女夏夏的故事被多家媒体报道,她的乐观与坚强不仅鼓舞了无数与恶性骨肿瘤斗争的患者,也深深感动了医护人员。

上海市第一人民医院骨肿瘤科讲述了夏夏的最新情况:她经历了6次手术和无数次挑战,自2023年8月接诊以来,又完成了10次化疗和2次手术。尽管困难重重,她始终以微笑和坚韧面对一切。

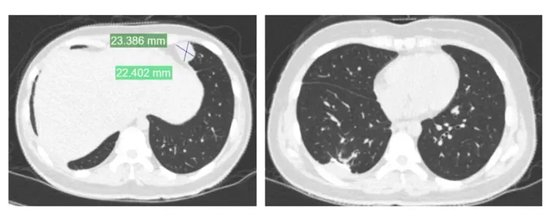
夏夏前期接受了术前化疗、截肢手术及术后化疗,使用的是一线化疗方案。然而,结疗不到一年,肺部出现转移病灶,经过手术切除后未再进行化疗。术后5个月,左肺再次发现新发转移病灶。

2024年11月,夏夏接受胸腔镜下右肺下叶切除术。2025年1月复查:右肺术后改变。

夏夏在最新的视频中表示,癌症转移到胸膜,她去瑞金医院寻求治疗方案,她将在上海接受肋骨和胸膜的切除手术。视频中的夏夏虽然有疲态,但依旧乐观,还感谢帮助她推轮椅的好心人。

评论区都被她的积极乐观感染

让我们一起说

“公主请恢复健康”

加载中...