新浪新闻 社会

云南3岁女童被枪打伤后与23颗弹片“共生”8年,伤人者被立案后又撤销

新浪新闻

关注

来源:新黄河

记者:李庆斌  

“8年前的那一幕,对于当时3岁的她来说,已经没什么印象了。但满身的伤痕和换季时伤口带来的痛,时常会让她流泪不止。”晓彤(化名)的哥哥晓辉心疼地说。

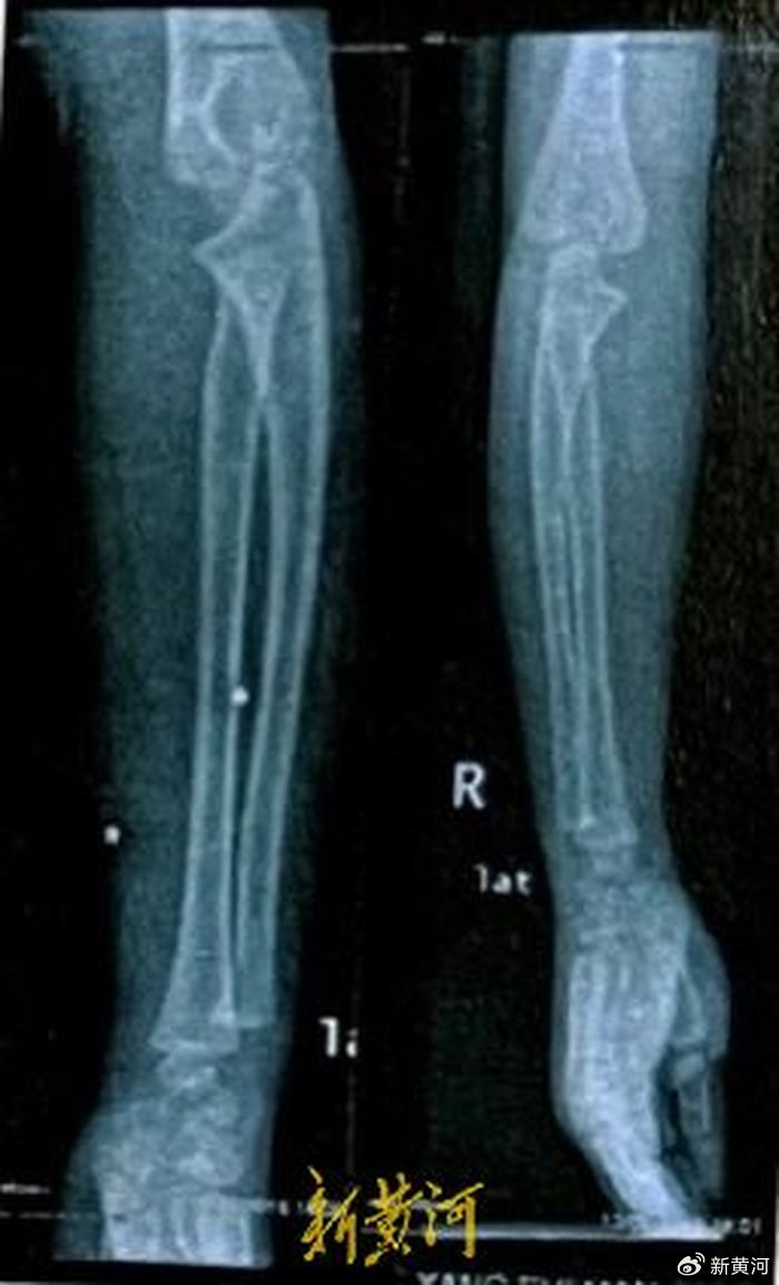
晓彤是云南砚山县阿猛镇人,今年11岁的她,已经与23颗“弹片”共生8年了。2016年1月,晓彤在家门口玩耍时,不慎被邻居周某用火药枪打中,27颗铁砂弹片射进身体内,经紧急抢救捡回一条性命。不过,因年龄太小,医生当时只取出了4颗弹片,尚有23颗留在肺部、背部等位置,只能择机等待“二次手术”。

事发后,晓彤父亲曾到派出所报案,砚山县公安局以涉嫌故意伤害罪立案侦查,并将案件移送至检察院审查起诉。2019年3月,砚山县公安局决定撤销此案,理由为“被害人伤情达不到刑事立案标准”,开枪打人的周某系过失犯罪。而周某在支付5万多元的手术费后,就以家中没钱为由,不再支付后续的治疗费用。

晓彤家属认为,周某作为成年人,不但非法持有枪支,而且射击他人造成伤害,应当被追究法律责任。2024年1月,晓彤家人再次向警方提出申请,要求警方对周某重新予以刑事立案。

而对于晓彤来说,她只盼着能早日取出残留在身体的“定时炸弹”,迎来真正的新生。

与23颗弹片“共生”

事情虽然已经过去了8年,但身体的不适应和中枪后处处留下的疤痕,仍在时时刻刻地提醒着晓彤,她和别的同龄孩子不一样,自己体内剩余的二十多颗铁砂弹片,不知何时就会对身体造成不可预知的伤害。

“这些铁砂子分布在晓彤的肺部、背部和腿部等位置,每逢阴雨天或换季时,她受伤的部位总会隐隐作痛,痛得忍不住流泪和抓狂。”哥哥晓辉告诉新黄河记者,这些年,晓彤一直不敢大幅度运动,就连体育课也不敢跑步,尤其肺里未取出的弹片,时刻影响着她大口呼吸。

多年身体的不适加上心理压力,让晓彤的性格变得孤僻且易怒。晓辉说,有时她会在身体痛到受不住时,一人躲到外面哭,有时也会因为疼痛而摔打东西。“这些年,一家人都在小心翼翼照顾她的情绪。”

而随着晓彤的长大,遗留在身体内的弹片对身体反应愈发强烈。家人也曾去医院咨询后续的手术问题。“在昆明市医院咨询治疗费后,医院告知医疗设备短缺,不敢再手术治疗,只能去北京或者重庆才能继续治疗,但治疗费高昂。”晓辉一脸愁容地说。

回忆起妹妹受伤的那天,晓辉依旧记忆深刻。“当时,妹妹全身都是血,整个人都昏迷了,且四肢抽搐,后背满是中弹痕迹。事情发生后,家人先后带着妹妹去了砚山县医院、文山州医院,后又转到了昆明市儿童医院等进行抢救。”晓辉回忆说,当时在昆明市儿童医院拍摄的CT显示,晓彤全身共有27颗铁砂弹片:右耳后1处、枕部3处,左肺下叶、T12椎管内、右肾、膀胱内、右侧大腿及小腿等都有高密度金属病灶。“其中最严重的是颅骨与脊椎处的铁砂,急需手术取出。”晓辉说,2016年1月25日,晓彤进行了颅骨、颅内手术,2月1日,又进行了脊椎手术,前后共取出4颗弹片。

剩余的23颗,医生担心晓彤年纪太小,且手术风险高,如继续手术可能会造成更大损伤,只能选择先观察,等休养好再进行手术。

被邻居用火药枪打伤

晓彤的噩梦,源于8年前的一声枪响。

2016年1月14日下午2点左右,当时只有3岁8个月的晓彤,和两个小伙伴在自家房子背后玩耍时,被同村邻居周某用打猎的火药枪打伤,射出的铁砂弹,呈分散式打中了她的后背。

据晓辉坦言,当年父母把晓彤紧急送到医院抢救后,并未在第一时间报案。“持枪伤人的周某,是母亲的远房亲戚,他们当时承诺会完全治疗好晓彤,父母一时心软就未向警方报案。就诊时,也只是对外称晓彤是被误伤的。谁能想到,周某在支付了5万多元的手术费后,就以家中没钱为理由,不再支付后续治疗费用。”晓辉解释说,直到2017年10月6日,他的父亲才去砚山县公安局阿猛派出所报了案。

根据2017年11月砚山县公安局阿猛派出所对周某的讯问笔录得知,事发时,周某22岁,当时正在家里喂猪,看到同村梁某与朋友相约去打鸟,肩上背着一把黑色火药枪,约有一米多长,是梁某父亲的。因为周某没有见过枪,便向梁某借来看。周某在接过枪后,把枪口对着天上扣动扳机开了一枪,但枪当时并未响,待他把枪收回抱在手上时,突然响了,紧接着听见在旁边路上玩耍的晓彤哭了起来。根据周某口供,当时他问梁某枪里有没有子弹,梁某回答说没有,还说这把枪放在家里好久了。周某也坦言,当时持枪时看见晓彤等几个小娃在旁边路上玩耍。

晓彤的询问笔录则给出稍有不同的版本。“我们看到有两个人过来了,有一个人背着一支枪,其中一个人拿着枪玩,我们几个小伙伴就害怕都跑回家了,我就蹲在旁边的水沟旁,我就看见那个人拿枪指着我,我就害怕没敢跑,然后枪就响了,我就被子弹打到了。”

根据目击者梁某的笔录,他并没有看到周某是怎么操作火药枪的。“当时我和李某说着话,我看见时,周某双手抱着火药枪,枪口指向地下,接着火药枪突然就响了……当时她正和同村几个小孩在枪口前七八米远的路边玩耍,枪响后,只有她倒在地上哭,其他小孩都跑了。”

警方先立案后撤案

接到报警后,警方对晓彤做了伤情鉴定。2017年10月,根据砚山县公安局出具的《砚山县公安局鉴定意见通知书》,经过文山州人民医院司法鉴定所鉴定,(文医司法鉴定所[2017]临鉴字第2140号),晓彤的损伤程度鉴定为轻伤二级。2018年,家人又对晓彤伤势进行了司法鉴定,根据《文山州人民医院司法鉴定所鉴定意见书》显示,晓彤伤残程度最终被定为九(玖)级。

之后,晓彤家人从当地司法部门了解到,梁某父亲因非法持有枪支罪被判2年缓刑。2018年年初,周某被砚山县公安局以涉嫌故意伤害罪立案侦查,案件移送砚山县人民检察院审查起诉。

2019年3月19日,砚山县公安局决定撤销此案。根据砚山县公安局当时出具的《砚山县公安局决定撤销案件同意书》显示:经砚山县人民检察院审查,认为该案系过失犯罪,被害人伤情达不到刑事立案标准,根据《中华人民共和国刑事诉讼法》第十六条规定,决定撤销此案。

警方撤案后,晓彤家人虽然对此不理解,但考虑孩子的将来,只希望周某能支付后续治疗费用就行,但至今没有再收到任何赔偿。2024年1月25日,晓彤家人向砚山县公安局寄出了《损伤程度重新鉴定申请书及第二次刑事控告状》,要求公安机关重新申请委托公安司法鉴定机构进行伤情鉴定,以及再度启动刑事立案调查。“依据《公安机关鉴定规则》第十七条规定,本级公安机关鉴定机构有鉴定能力的,应当委托该机构。砚山县公安局刑事科学技术室、文山州公安局刑事科学技术研究所皆系公安机关鉴定机构,具备法医类鉴定的资质,但却选择了文山州人民医院司法鉴定所,我们对伤情鉴定结果有异议。另外,我们对过失犯罪的罪名认定也不认同。”晓辉还表示,据他了解,周某作为枪支持有者对他人造成身体伤害后,却并未被以“非法持有枪支罪”判刑。

女孩期待早日手术

根据晓辉反映的情况,2月23日,新黄河记者联系了云南省砚山县公安局,相关科室工作人员告诉记者,从电脑查询看,该案件已经销案,销案原因为:根据《中华人民共和国刑事诉讼法》,周某达不到被起诉的犯罪事实。目前,科室还未收到晓彤家人寄出的《损伤程度重新鉴定申请书及第二次刑事控告状》,如果家属申请第二次控告,可携带材料现场来申请。对于案件其他详情并不了解。

对于公安部门的认定,山东龙奥律师事务所律师宋庆霞在接受记者采访时认为,砚山县公安局的决定撤销案件并无不当。宋庆霞说,按照刑法规定,应当预见自己的行为可能发生危害社会的结果,因为疏忽大意而没有预见,或者已经预见而轻信能够避免,以致发生这种结果的,是过失犯罪。从周某、梁某的笔录来看,周某的行为应该是一种过失行为,再结合晓彤的伤情鉴定为轻伤二级,而非重伤。目前,我国刑法只对过失致人死亡、过失致人重伤规定为犯罪,根据法无明文规定不为罪的原则,过失致人轻伤不构成犯罪。“不过,晓彤的伤残鉴定结果为九级伤残,可以向周某主张侵权的民事赔偿责任。”

北京富力律师事务所主任殷清利则有不同看法。殷清利认为,警方因晓彤伤情达不到要求,不予追究周某刑事犯罪行为,没有充分考虑案发时环境及枪支来源等因素,仅以周某自我供述片面认为其行为不存在故意,系过失,未考虑周某是否存在间接故意的可能。按照刑法规定,明知自己的行为会发生危害社会的结果,并且希望或者放任这种结果发生,因而构成犯罪的,是故意犯罪。“事发时,周某作为一个成年人,明知自己的行为会发生导致控告人伤害,甚至导致控告人死亡的结果,却依然纵容危害结果的发生。再退一步说,周某对危害结果的发生虽然不积极追求但也没有设法避免,这就是典型的放任危害结果发生的意志因素,对此,不管控告人伤情鉴定结果是轻伤还是重伤,周某已经涉嫌构成故意伤害罪。故意伤害罪,故意伤害他人身体的,处三年以下有期徒刑、拘役或者管制。”

殷清利还表示,按照《中华人民共和国枪支管理法》明确规定,任何单位或个人非法持有、私藏枪支,都是违法犯罪行为。持有是持续行为,在一段时间内持续存在,持有行为的持续时间可长可短,持续时间的长短不影响定罪。“按照周某的具体行为判断,他已经涉嫌非法持有枪支罪。当然,也不排除周某已经获刑,司法机关没有通知受害者家属的情况。”

不过,新黄河记者翻阅公开判例来看,在以往各地法院判定枪支意外走火致人死亡或重伤的案件时,通常会按照非法持有枪支罪和过失致人死亡或重伤罪进行判罚,极少会按照故意杀人罪或故意伤害罪进行处罚。

对于周某是否犯罪,晓彤并没有什么概念,她只把那天当作一场“意外”。面对这场改变人生的意外,晓彤只期盼着,家人能早日给她凑足手术的费用,让自己也能跟同龄人一样,健康活泼地长大。

加载中...