新浪新闻 社会

12岁男孩咳到“白肺”!福州多名专家紧急提醒!

新浪新闻

关注

来源:海峡都市报

“抱着侥幸心理一直在家硬‘扛’,

没想到‘扛’出这么重的病!”

湖南一名12岁男孩的家长

后悔不已。

之前因为不太重视,

加上怕去医院,

孩子咳嗽一周还伴有发热

自行在家吃药治疗

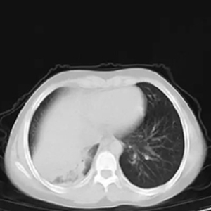
结果再来到医院时检查发现,

胸片上患儿的一侧肺部组织大面积变白

已经成了大叶性肺炎

……

男孩的影像学检查结果

近日,“白肺”“心肌炎”相关话题频频登上热搜,引发广泛关注。在智慧海都APP上台,就有不少读者咨询。就此,海都记者采访了几位福州本地专家,听听他们的回答和建议。

咳咳咳咳咳咳咳咳咳咳咳咳咳咳咳咳咳咳咳咳咳

“感染第十天了,核酸还阳性,还有低烧、咳嗽厉害,看到网上有‘白肺’的报道,有点紧张。请问我有必要去做个CT吗?”

“白肺”是重症肺炎的表现,若无气促气喘可排除

“白肺是一种俗称,是重症肺炎的影像表现。”是指重症大面积肺炎后出现透光度下降的影像学表现。”福建省立医院北院(省老年医院)急诊科副主任、呼吸与危重症医学科副主任医师郭永明介绍,受病毒、细菌感染侵袭,肺部出现炎症,从而导致肺组织渗出增加、肺的通气功能、弥散功能降低。这时候做CT或者拍x线片,在影像下就表现为“双肺野大面积的白色的毛玻璃影”。

“白肺”的出现提示重症肺炎,或肺炎进展到呼吸窘迫严重程度。临床主要表现为气促、气喘、紫绀、胸闷、心慌,肺部啰音。如果用血氧仪监测的话,往往低于90%,有以上情况时要十分警惕与重视。

从现有资料上看,新冠导致的白肺,多在病毒复制活跃期出现,在感染五天左右多见。而奥密克隆株较新冠最初的毒株要少很多,发生大白肺较少。“老年人和有基础性疾病患者,如果临床症状加重,且血氧仪指数下降到90%以下,出现白肺的可能性较大,此时务必紧急就医。”

郭永明主任表示,如果是感染第十天了,无气促、气喘和肺部啰音等表现,这样出现白肺的可能性很小。“这时去做CT,可能会发现合并了细菌感染,或者是肺部有阴性的结果,所以不必太担心。”

重症肺炎多发生在老年人和有基础疾病患者身上,儿科专家同时也提醒:如果孩子出现以下情况需及时就诊,切莫硬“扛”以免延误病情:

①发烧持续3天以上还没有好转迹象;

②出现了意识障碍、高热惊厥,尤其是首次惊厥;

③有喉炎、喉梗阻的表现,小朋友躺不下来、声音哑、喘不过气,脸色发青,出现三凹征(指吸气时胸骨上窝、锁骨上窝、肋间隙出现明显凹陷),一定要尽早来医院,有可能出现生命危险;

④有重症的肺炎表现,呼吸急促、脸色发青、缺氧;

⑤注意观察精神状态,孩子服用退烧药退热之后能否睡觉、正常吃饭、玩游戏?如果孩子一直哭闹或懒散嗜睡,需要及时前往医院就诊;

⑥小朋友诉说某一部位固定疼痛,且长时间不能缓解;

⑦小朋友消化道症状日益加重,频繁呕吐,腹泻严重的需要及时就医。特别需要注意的是,3个月以下的婴儿是特殊人群,一旦出现发热,建议及时就诊。

感染后咳嗽最长可能持续8周

最近

不少朋友说

烧退了、疼痛也止了,就是不停咳嗽

这是怎么回事?

“这是咽部、气管在清理战场的表现。”郭永明说,奥密克戎毒株以上呼吸道感染为主,常出现继发气管、支气管炎症,从而引起咳嗽。同时,病毒导致呼吸道黏膜破坏,免疫细胞聚集此处“参与战斗”,完成任务后,通过咳嗽和咳痰将咽喉部、气管以及支气管分泌物排出体外,清理战场。

轻症患者退热后咳嗽可能会持续,一般发病两周内康复。“不过,只要气道炎症持续存在,感染后咳嗽最长可能持续8周。”郭永明表示。“咳嗽是人体的一种保护机制,感染后咳嗽是许多呼吸道病毒感染都会出现的情况,因此不必过于紧张。”郭永明强调,“转阴后咳嗽不止,建议多喝水、多休息、少说话,提高气道温湿度(用湿热不烫的毛巾敷脸上,吸蒸汽),促进痰液排出。”

感染新冠后胸口痛是心肌炎吗?哪些人群最要当心

福建省级机关医院

心脏康复中心的林建珍副主任医师

给了回答

“引起胸痛的原因很多,包括肺部炎症、气胸、急性心肌梗死、反流性食管炎等等,但新冠病毒感染期间出现的胸口疼,最可能的原因是呼吸肌肉损伤导致的。”福建省级机关医心脏康复中心的林建珍副主任医师解释说,主要是因为患者在新冠感染期间,部分患者反复出现明显咳嗽,导致呼吸肌肉牵拉损伤,表现在深呼吸时胸部固定部位有针刺样疼痛,呼吸停止疼痛也消失,这部分患者随着咳嗽缓解,胸口痛也会逐渐消退。

“出现胸口痛,以及胸闷、心悸等不适时担心出现心肌炎,这种心情是可以理解的,毕竟最近大家对网络听到一些人因为新冠病毒感染后出现心肌炎导致猝死的案例心有余悸。”林建珍说,心脏是人体的“发动机”,在人体免疫力下降时,病毒就会“大开杀戒”,直接攻击心脏时,可导致爆发性心肌炎,可能出现心力衰竭、心律失常甚至猝死风险,不可掉以轻心。他表示,感染新冠后出现胸闷、胸痛、心悸,或者气短、呼吸困难,以及头昏、极度乏力、恶心、食欲明显下降等症状,就应该引起重视,及时就医。

林建珍还提醒,但以儿童和40岁以下的成年人居多,35%的患者在10-30岁,男性略高于女性,这年龄段的人群平时活动量大,学业、工作的压力也较大,同时对自己的身体疏于关注,是重点关注人群。

加载中...