新浪新闻 社会

21岁男生突发心梗,竟被掏出10块血栓!医生:这种坏习惯真的要命!

新浪新闻

关注
听新闻

来源:今日女报

“年轻,没什么事”

这是很多年轻人

对待疾病的态度

但是现实不断给年轻人敲响警钟

近日,一个21岁的小伙突发心梗

成为了接诊医院最年轻的心梗患者

医生最初都不敢相信!

这是怎么回事呢?

身高175厘米、体重200斤

21岁小伙突发心肌梗死

成都中医药大学附属医院急诊科接诊了一位年轻的男性患者小蒲,他感觉心口闷痛,根据症状,接诊医生怀疑心梗的可能,立即启动胸痛中心预案流程,将小蒲送到急诊抢救室,检查结果不容乐观,心电图提示胸前导联T波高耸(心肌梗死超急性期改变),这意味着,小蒲极可能是冠心病中最危急的心肌梗死,也是心内科最危急、最要命的疾病之一。

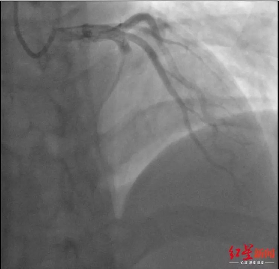
小蒲术前的冠脉造影显示 前降支血管严重堵塞

看到小蒲的第一份心电图,接诊医生也迟疑了一会,因为患者毕竟年轻啊,才21岁。

医生询问病史,小蒲说只是感觉胸闷,没有明显的疼痛感。看着病床上身高175厘米、体重达到100公斤的患者,接诊医生决定给小蒲做第二次心电图,这次基本能判断,小蒲确实是罹患心肌梗死,急需开通冠脉、恢复血流。“在跟家属交代病情的时候,家属也不相信,这么年轻,怎么可能就心梗了?”医生说。

1小时“掏出”10块血栓

其中一块把导管都堵了

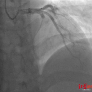
确定小蒲心肌梗死后,心血管科的介入团队随即做好了准备,小蒲被紧急推入了介入导管室。

大量的血栓造成堵塞,介入医生用导管反复抽吸血栓,“大大小小一共10块,最大的一块把导管都堵了,我们只能把导管全部退出来,重新再进一次,反复抽吸。

1个小时后,手术完成,小蒲的冠脉血流恢复情况良好。问诊中,医生了解到,小蒲虽然没有高血压、糖尿病、心梗家族病史,但偶尔会抽烟,身高175厘米、体重100公斤的小蒲经常熬夜打游戏,却不爱运动,同时,小蒲血脂指标超高,但此前一直都不知道。

心梗患者呈年轻化

3个月前,北京人民艺术剧院演员,话剧导演班赞,也因突发心梗去世,享年41岁。

心梗已不再是老年人的专属,患者的年龄呈年轻化趋势。

苏州大学附属第一医院心内科副主任医师钱晓东曾发过一条这样的朋友圈,在刚刚过去的周末,他们科室一共做了6台急性心梗手术,其中5个都不到40岁,都比较年轻。

好在,这几位患者送医都比较及时,已经被抢救回来。

有数据显示,我国每年猝死的人数超过50万!这其中既有老年人,也有青壮年,并且后者的比例还在不断上升。

猝死的原因并不复杂,天天熬夜、过度疲劳、久坐不动、饮食不良等等……但还是有很多人正在做。

身体发生这些变化要注意!

猝死无法治疗,只能预防!当身体出现下面这些信号的时候,说明你已经过于疲劳了,需要立刻休息调整,降低猝死的风险。

01

眼底充血

眼睛上分布着丰富的毛细血管,对于大脑缺血、缺氧或血压变化非常敏感,用脑过度、视觉疲劳时,可能会有酸胀、干涩、痒痛、眼底充血等情况。

如果有持续超过5分钟的眼前发黑、视物模糊、眩晕等症状,可能提示脑部出血,建议就医检查。

02

皮肤黯淡长斑

过度劳累、身体功能紊乱时,皮肤的新陈代谢能力也会随之变差。不仅会让皮肤加速老化,还容易使黑色素沉着,甚至长出老年斑。头皮也容易因为缺乏营养而干裂、瘙痒,头屑和掉发增多。

03

大脑反应迟钝

大脑是最需要充足睡眠的器官之一,只有在睡眠时,大脑间质细胞才会露出空隙,方便脑脊液冲走废弃物,而长时间缺乏睡眠会让大脑反应迟钝。

国外曾有实验表明,人们3天不睡觉,大脑就会失去一定的协调能力;5天不睡觉会产生幻觉,对外界的感知力大幅降低,无法正常活动。

04

关节酸痛僵硬

神经中枢调节着人体的肌肉和关节活动,当它处于放松状态时,肌肉和关节才能得到更好的休息和恢复。如果神经中枢因为过度兴奋而疲劳,人就会出现行走不稳、四肢麻木、全身乏力等问题。

另外,长期保持同一个姿势,关节会退化、韧带会松弛、肌肉会痉挛,也是一种过度疲惫的情况,将大大增加关节炎、滑膜炎、椎间盘突出的发病率。

05

食量骤增或骤减

一开始,疲劳会让人经常有饥饿感,容易因此暴饮暴食,反而加重消化系统的负担。当过度疲劳严重影响到身体代谢功能时,又容易让人感觉迟钝,导致食欲严重下降、营养不良。

建议大家在疲劳时先补充少部分营养,等休息好了再恢复正常食量。

06

呼吸短促不顺畅

疲劳会对心肺功能带来不利影响,从而降低全身的血氧循环效率。所以身体疲惫、衰弱的人常常会感觉胸闷气短,稍微运动就喘不上气,如果猛然进行剧烈运动,可能导致猝死。

07

心律失常

当疲劳状态已经引发了心律失常,说明情况十分危险,随时都有可能突发猝死、心力衰竭或脑出血。特别是有心脑血管疾病的患者,即使病症轻微,也不能排除因疲劳而骤然发作的可能。

防心梗,这些症状一定要警惕!

心梗,有3次报警,12个意想不到的预兆!

第一次报警:无声的报警

如果生活不够健康,就容易离冠状动脉粥样硬化越来越近,离冠心病越来越近。

这是第一次报警,但这次报警,不是那么声势浩大,而是潜移默化的在报警:长期抽烟酗酒,久坐不运动,肥胖,不健康饮食,熬夜压力大。如果这些习惯越多,那么说明得冠心病的风险越高,所以一定要尽快改掉不良生活习惯。如果父母在55岁之前得过心肌梗死或放过支架打过桥,也需要注意养成健康的生活方式。

上述这些人都应定期查查血压、血糖、血脂,如果发现三高一定积极正规控制,并长期监测。

所以有家族史、高危因素、三高等,是心梗第一次报警,这次报警很友善,不会造成很大伤害,只要足够重视,就不会发生心梗。但如果若无其事,心血管狭窄就可能进一步加重,甚至发展为冠心病,甚至发展为心肌梗死。

第二次报警:明知三高不控制

有很多人明知有高血压、糖尿病、高血脂,但是却从不在意。殊不知,三高会导致血管垃圾加速增加,进而导致心血管狭窄,引起冠心病。

或者已经确诊了冠心病,却不管不顾,最终会导致冠心病加重,甚至形成血栓,引起冠心病。

所以,要主动的测量血压、血糖、血脂;三高不控制就是心梗早期的报警;冠心病不正规治疗,就是心梗在报警。

第三次报警:反复发作心绞痛

心肌梗死最典型的症状就是心绞痛,每一次心绞痛都可能是心肌梗死最后一次报警!但为什么还是有很多人,错过了一次次报警,最终导致心肌梗死发生,甚至导致有人死亡呢?

原因可能在于,有些心梗症状,被患者忽视了。就好比上面的患者,最近心脏报警了好多次,可是他一直以为是后背疼痛,根本不觉得是心脏病,于是就没有去医院看病。

事实上,心绞痛并不仅仅是心前区疼痛,有一些心梗预兆,完全意想不到,但是却能要命!记住!这12个意想不到的心梗预兆!

1。双耳突聋

心绞痛患者,有很多都会出现听力下降,有的双耳嗡嗡响,术后马上症状消失。有一个中年男性患者,平时身体还不错,就是比较劳累,应酬也多。有一次突然发现双耳听不见了。到医院的耳鼻喉科检查。先给右耳做了手术,但是术后右耳完全失聪。左耳不敢再做,残存着一点听力。过了一段时间单位体检,发现了心脏的冠脉堵塞。治疗之后,没想到他的左耳听力恢复了。

2。脐周疼痛

对于心梗的高危人群,如果出现脐周疼痛,要高度怀疑心梗前兆。

一个初冬,老高一早出门遛弯,回来之后就开始肚子疼。开始以为是闹肚子,到洗手间蹲了很久,也没什么成果。疼痛越来越强烈,而且疼的地方很怪,是肚脐周围。老高实在扛不住了,打120到了附近医院的急诊。急诊一看老高的年龄,50上下,肚子疼,加上天气寒冷,体温不高,高度怀疑心绞痛。很快给他做了心电图,果然显示急性下壁心梗。做了血栓抽吸之后,就在手术台上,老高的脐周疼痛消失了。

3。脚底疼痛

一个山东的老人,急性心梗发作,做了支架手术,开通了血管。医生问他,现在心脏舒服了,还有什么以前有的症状,现在没有了?老人想了半天,表示自己之前走路老是脚底疼,走不到两根电线杆的距离,脚底就像踩了钉子一样,扎得生疼。现在没有了。

这种症状虽然不多见,但并不是个例,很多患者都反映会出现脚底针刺一样的疼痛。

4。睁不开眼

一位石家庄中年男性患者,8年睁不开眼睛,四处求医。后来医生为他检查评估之后,发现是心衰。造影检查,心脏上的一根重要血管,前降支,堵了99%。马上手术通开。术后神奇的是,病人的眼睛睁开了。

虽然目前无法考证心脏缺血和眼睛之间的关系,但如果眼睛突然看不清了,甚至睁不开了,也要关注一下心脏。

5。左腿酸麻胀疼

左腿酸胀,对于高危人群,也要警惕心梗。一位山东女性患者,术前几个月,她的左腿一直酸麻胀疼。直到体检发现心血管堵塞,做了手术,术后患者的腿居然不疼了。

6。胸口被胶带缠绕

胸口感觉被胶带缠绕,或有一种被束缚感,要当心是心梗的预兆。一个房地产老板,总觉得胸口像是缠了一圈透明胶带。说不上来的束缚感,一直查不出问题。找到张健医生之后,确定他是心肌缺血,针对心血管做进一步检查,果然是心血管堵塞。而在治疗之后,奇怪的症状也消失了。

7。牙痛

牙痛,尤其是高危人群,先要排除心肌缺血的问题,尤其是牙痛的部位确实存在牙病,特别容易误诊漏诊。有一个长春的患者,经常发作性左下颌牙痛。在口腔科查过多次没有问题。后来诊断心肌缺血。做了手术打通了血管,牙痛也随之消失了。

8。头晕

头晕是很多疾病中都能见到的症状,也可能是心梗的征兆。曾有一位内蒙的患者,头晕多年。颅内造影,CT,磁共振等等各种检查,都没有发现问题。后来做了冠脉的介入治疗。没想到术后头晕症状很快缓解并消失。

9。肩胛骨疼

一个女性患者,总说她的肩胛骨好像漏风一样,丝丝地疼痛。开始以为是类风湿,但是机缘巧合检查了心血管,发现是心血管的问题。经过治疗之后,肩胛骨也不疼了。因此,高危人群伴有肩胛骨疼痛的要注意,这可能是心梗的征兆。

10。左上肢无力

北京的孙先生总感觉左上肢无力,并伴有酸麻胀痛的感觉,活动按摩没有任何效果。后来经过检查,基本确定他的左侧上肢酸麻胀痛,就是心肌缺血的表现。在狭窄处做了一枚支架后,左上肢无力的症状马上消失了。

左上肢无力的情况并不是个例,很多患者表现就是左侧肩胛骨和左上肢的难受,酸胀,有的使不上力气,检查发现是心肌缺血。通过药物或者手术改善之后,症状很快消失。

11。突然变懒,乏力

这个症状在高龄老人当中比较常见。而且没有其它心梗症状与不适,唯一的感觉就是乏力,嗜睡,不想动,这时就要高度警惕心肌缺血问题。

12。头疼

高危人群伴有头疼的,也要注意可能是心梗的征兆。山东一位老年女性后脑勺疼,活动走路就会头疼。围绕头疼和血压做了很多检查治疗,没有发现问题。后检查心血管,发现右冠出现严重狭窄而且钙化。处理之后,头痛消失了。走远走急走快,头也不疼了。

再次提醒大家:对于心梗,不能只关注是否心疼、胸闷。记住这些,我们就能在巨大危机来临之前,识别早期信号,及早采取措施,避免日后生命和财产的巨大损失。

加载中...