新浪新闻 社会

11岁和13岁少年反复流鼻血 一查竟然是鼻子里长肿瘤

浙江新闻客户端

关注

原标题:11岁和13岁少年反复流鼻血 一查竟然是鼻子里长肿瘤

流鼻血

相信不少人都经历过

小时候如果鼻子出血了

父老乡亲就会使出“十八般武艺”

仰头(错误)→塞纸→举手→敷毛巾

来给我们止血

血止住了

出血的原因却往往不了了之

鼻出血这件事到底有多严重?

有可能是肿瘤找上门!

这不,11岁的湖州男孩浩浩(化名)

和13岁绍兴男孩明明(化名)

就双双中招了!

浙江大学医学院附属第一医院耳鼻喉科专家强调:

冬季天干物燥,鼻黏膜分外脆弱

但对于反复鼻塞、鼻出血,万万不能掉以轻心!

“医生,当时我儿子鼻子出了好多血,用毛巾按住鼻子、用面巾纸塞住鼻孔,血止都止不住,还是出血,血从鼻子里流入喉咙,在地上呕出一大滩血,吓死人了。。。。。。”最近,张先生带着他11岁的儿子浩浩,焦急地在浙大一院耳鼻喉科副主任陈海红主任医师的门诊述说病情,此前他们已经辗转了两家医院,但浩浩流鼻血的毛病却依然查不出个所以然。

反复鼻塞、流鼻血,一查竟长了个瘤

据张先生回忆,浩浩从2019年初就开始出现持续性的右侧鼻塞、流脓涕,由于夫妻俩在杭州上班,儿子则留在老家由父母照顾,平时对他关注也不多,他们一直以为浩浩只是单纯的感冒,并没将他这些情况放在心上。

2019年暑假期间,他们发现浩浩在晚上睡觉时,鼻塞得厉害,甚至还打呼噜、只能张口呼吸,似乎憋得喘不过气,夫妻俩才带着浩浩到当地医院就诊。经过鼻部CT等一系列检查,浩浩被诊断为“鼻窦炎”,接受了口服头孢、中成药、喷鼻药物治疗后,他鼻塞及流涕稍稍缓解,但右侧鼻塞的情况持续存在,没有很明显的改善。

最近4个月,浩浩右侧鼻腔开始时不时出血,虽然出血量不多,但鲜血还是让张先生夫妻俩警惕起来,他们带着浩浩来到省内某三甲医院就诊,鼻咽侧位及鼻窦CT提示浩浩“鼻咽部占位、鼻窦炎”,就在住院期间,浩浩出现了文章开头呕血的一幕,血色素由115g/L降至95g/L,出血量400ml,由于该院一直无法明确诊断,不能进行对症治疗,浩浩被紧急转诊至浙大一院之江院区的耳鼻喉科。

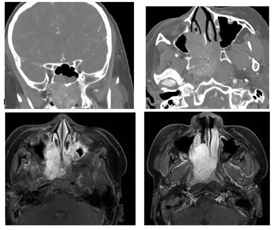
耳鼻咽喉科副主任陈海红主任医师接诊浩浩后,发现他右侧鼻腔里有暗红色光滑肿物,与张先生交流过后,为浩浩进行鼻窦CT+三维重建、鼻咽部增强磁共振MR检查后,浩浩被诊断为“鼻咽纤维血管瘤”,瘤体约有稍稍压瘪的乒乓球大小(5.2*3.0cm),占据鼻腔后端、鼻咽部,突入蝶窦、翼腭窝。“这颗肿瘤紧贴颌内动脉,血供丰富、触之极易大出血,有很大的手术风险。” 陈海红主任医师介绍,小孩子的皮肤稚嫩、鼻粘膜糜烂后, 往往被认为是鼻窦炎而漏诊,必须结合鼻内镜检查、结合鼻窦CT和鼻部MR才能精准判断,经科室大讨论后,团队决定对浩浩先栓塞以减少肿瘤血供,而后开展手术。

11月8日,由放射科彭志毅主任医师团队给浩浩在局部麻醉下进行右颈外动脉造影+栓塞术。次日,由陈海红主任医师主刀,在鼻内镜下应用等离子刀阻断肿瘤滋养动脉,在不到2小时的时间呢完整切除整个肿物,手术中出血极少,经病理检查,结果符合鼻腔血管纤维瘤。还好这种肿瘤是良性的,手术后的浩浩恢复良好,再也没有鼻塞、流鼻血,夜里睡觉也不憋气了,术后第4天,张先生就带着浩浩平安出院。

这种瘤,尤其偏爱青春期男少年

无独有偶,今年13岁的绍兴上虞男孩明明,也遭遇了和浩浩相似的情况,一直鼻塞、反复鼻出血。在绍兴当地医院治疗效果不佳后,他被转诊至浙大一院耳鼻喉科。经过详细检查,明明同样遭遇“鼻咽纤维血管瘤”,肿瘤破坏了他的颅底骨质。这时,明明的双侧鼻腔、鼻道已经被肿瘤充满,他只能够靠嘴来大口呼吸。

11月14日,由陈海红主任医师主刀,程可佳副主任医师协助,通过鼻内镜下行鼻-颅底鼻咽纤维血管瘤切除术,顺利切除了明明的巨大肿瘤。

陈海红主任医师介绍,鼻咽血管纤维瘤是鼻咽部常见的良性肿瘤之一,毗邻颅底和眼眶等重要组织结构。“虽然是良性,但它却是一种局部侵袭性肿瘤,对周围组织甚至骨骼具有破坏性和侵袭性。”她介绍,鼻咽血管纤维瘤可以压迫吸收骨质,能侵入眼眶、鼻窦等,更甚者还能深入颅内,由于瘤体由血管组成,所以容易发生大出血,引起严重后果,甚至危及生命。这种病,目前发生机制尚不明确,发病可能与激素水平及遗传因素相关。它常发生于10-25岁的青年男性,故又名“男性青春期出血性鼻咽血管纤维瘤”(JNA)。

它的主要症状有:

1。鼻塞:单侧或双侧鼻塞,进行性鼻塞,可伴流浓涕,鼻音,打鼾等。

2。出血:阵发性鼻腔或口腔出血,出血量可多可少。

3。其他症状:肿瘤侵入翼腭窝、上颌窦后壁、颞下窝、眼眶和压迫咽鼓管咽口可引起面颊部隆起、耳鸣、耳闭、听力下降、干眼症、眼球外突、运动受限、视力减退和视野受损,外鼻畸形,头痛及脑神经瘫痪等症状。

鼻出血,还有可能是这些疾病

“这种病,比较容易漏诊、误诊!”陈海红主任医师介绍,鼻咽纤维血管瘤在头颈部肿瘤中不足0.5%,在耳鼻咽喉科住院患者中占1/16000。

家长和广大年轻小伙子,对于单侧或双侧进行性鼻塞,阵发性鼻腔或口腔大出血应特别警惕,高度怀疑是“男性青春期出血性鼻咽血管纤维瘤”。肿瘤一旦增大,紧邻或者破坏颅底重要结构,将大大增加手术的难度和风险,所以早发现,早诊断至关重要。

此外,流鼻血还可能与鼻炎、外伤、鼻中隔偏曲、各类肿瘤、高血压、老慢支、肺气肿、血液病、肝病、肾病有关。那么一旦流鼻血,应该怎么做?又有哪些注意事项?

1。保持冷静,尽量不要头向后仰,这样不能止血,只会让血流入喉咙,很容易刺激气管导致窒息;流鼻血时举手止血,这种说法没有任何科学依据!

2。全身放松,鼻出血量较少时坐下,用手指压住出血侧鼻翼5-10分钟止血,用口进行呼吸。

3。用浸有冷水或冰水的毛巾敷在前额、鼻根、颈部等部位,收缩血管,减少流血。

4。上述方法没能止住出血时,应该尽快到医院就诊,寻求治疔。

浙大一院专家门诊安排

来源:浙大一院

加载中...