新浪新闻 社会

男子左手腕被电锯切断 8小时40分钟断腕“重生”

扬子晚报

关注

原标题:8小时40分钟,断腕“重生”

65岁的打工者王某,遭遇了一场“电锯惊魂”!因为操作失误,他的左手腕被电锯生生切断,腕掌关节离断部分达90%以上。“断腕之痛”已非常人所能忍受,如果再不及时救治,王某还将永远痛失左手。11月5日,记者获悉,王某在被紧急送至镇江江大附院急诊科后,手外科团队连续奋战了近9小时,终于逆转局面,让断腕“重生”!

救治断腕

10月31日下午,断腕之后,鲜血直流,钻心的疼痛让王某痛苦不堪。救护车到达后,简单包扎了伤口,迅速将其送至医院救治。

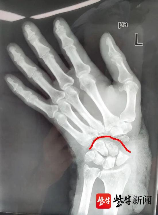
“患者到达急诊后,我们冲洗、固定、包扎伤口后,赶紧为他做了X光片检查,检查结果显示其腕掌关节90%以上离断,伤势非常严重。”江大附院急诊科手外科副主任医师尹其翔告诉记者,肢体离断后最佳抢救时间是6~8小时内,越早救治成功率越高,而电锯伤是高能量损伤,再植手术难度大、风险也高。

在快速完成各种检查后,手外科团队立即将王某送入手术室,尹其翔副主任医师、苗振军主治医师为王某实施断腕再植手术。

下午4点55分,手术正式开始。尹其翔介绍,断腕再植的手术难度主要在于吻合量大,需要将断离的骨关节、神经、动静脉、肌腱等一一进行匹配和重建,对医生技术和耐力都是一个考验。其手术步骤如下:

一通过克氏针稳定腕关节,二修补肌腱,三吻合血管,四吻合神经,五修复软组织,六外固定支架,固定腕关节。

“肌腱、神经和血管的吻合是个精细活儿,平均吻合一根肌腱、神经大概需要20分钟,血管则耗时更久,大约需要40分钟左右。”尹其翔说,虽然很耗时,但也要医生分秒必争,因为离断肢体长时间缺血,可能导致组织坏死。这次断腕再植术中,医生共吻合肌腱17根,神经3根,血管2根。

记者了解到,手术从当天下午4点多开始,一直持续11月1日凌晨1点35分,全程共计8小时40分钟。这对医护人员的体力、技术,绝对是一次考验。

“手术结束后,我们几个人也都累瘫了!白天上了一整天的班,接着又做了这么长时间的手术,着实有些吃不消。”尹其翔说,“不过虽然过程很辛苦,但看到患者有希望保住左手,我们还是倍感欣慰!”

手术之后,王某还要面临着血管痉挛、血栓形成、继发感染等重重考验,必须接受24小时密切监测。而从目前来看,他的左手血运良好,已能轻微活动。

“手功能的恢复是个漫长的过程,后期还需要坚持进行功能锻炼,才能逐渐恢复手部功能”,尹其翔说。

发稿前,记者进一步了解到,江大附院急诊手外科团队自成立以来,24小时全天候待命,每年处置手足创伤达380多例,在断肢再植领域积累了丰富的临床经验。

结合这一病例,医生再度提醒,生活中如果发生类似意外事件时,一定要低温干燥保存断肢断手,千万不可泡水,打湿;此外,伤口可以用纱布加压包扎止血,并在最短的时间内将伤员送至医院。

来源|通讯员 孙卉 羊城  扬子晚报/紫牛新闻记者 万凌云

责任编辑:武晓东 SN241

加载中...