新浪新闻 社会

种牙热点:为何超过1/3的人种牙前需要先植骨?

广州日报

关注

《健康100FUN》是本土首档邀请医学界权威人士解答市民问题的健康服务类节目。时下,种植牙成为不少中老年人的热议话题。为此,栏目特意邀请专注德国种植牙的权威种牙机构柏德口腔,共同推出“100分种牙行动”,邀约医生、患者及学术专家等相关人士,多角度解读口腔健康相关知识。不管你对种植牙有任何疑问,均可拨打100分种牙行动咨询热线(020)87510589进行了解。

文/席勒

种牙前是否需要植骨? 骨量充足程度来决定!

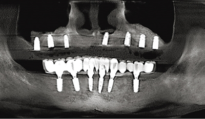
随着种植牙的普及,很多带了十几年假牙的公公婆婆也到口腔机构咨询种牙事宜,却被要求先植骨。明明只想种牙,为什么要“强加”植骨手术呢?我们咨询了柏德口腔海珠院区的兰海龙院长。兰院长解释,并非所有种牙手术都需先植骨,但部分患者缺牙时间久,缺牙处的牙槽骨由于缺乏生理性刺激,出现不同程度的萎缩,甚至高度缺损。如果在过薄的牙槽骨上强行种植,容易导致种植牙失败。因此,一般需要采取先植骨后种牙的方法,使得牙槽骨骨量增加,满足种植牙所需的口腔基础,而后才进行种植牙手术。植骨来源多为人工骨粉,优点有两个:一来人工骨粉较自体骨更容易获取,二来人工骨粉与人体相容性高,很少出现排斥现象,非常安全。

植骨种牙同时做 缩短治疗周期 牙齿更牢固

吴伯使用活动假牙快20年了,但最近经常牙龈肿痛,好不容易戴上去的假牙,没吃两口饭又松脱了。听说种植牙稳固有力,吴伯便萌生了种牙的想法。经检查,吴伯牙床条件已不再适合佩戴假牙,且牙槽骨已经严重萎缩。假牙用不了,种牙难度大,正愁怎么办的吴伯来到了柏德口腔。

兰院长给出的种牙方案是,在植骨同时植入5颗种植体,支撑半口牙桥完成修复。这样设计能使骨生长与骨愈合同步进行,不但有效缩短治疗周期,还能让种植体与牙槽骨的结合更为牢固。仅用了3个月,吴伯就重新拥有了一口新牙:“现在吃饭就像用自己的牙齿一样舒适,植骨也值得!”

现在不少缺牙患者都希望通过简单的咨询了解如何做种植牙。但兰院长表示,每一位患者的缺牙情况、口腔健康和身体状况都不尽相同,不能一概而论。建议有种牙需要的患者及早致电预约口腔检查,以防错失种牙良机。

100分种牙行动热线:(020)87510589

100分种牙行动优惠内容:

1. 免费CBCT牙槽骨量检测及专家订制种牙方案;

2. 种牙3颗及以下全线五折;

3. 种牙4颗及以上低至四折;

4. 全口种牙直降6万元。

100分种牙行动送健康 千名市民打爆热线抢优惠

广州电视台新闻频道《健康100FUN》联合柏德口腔推出“100分种牙行动”系列活动,不但在节目中邀请柏德口腔种植专家普及种牙小百科,更在本月底邀请口腔种植专家举办专题活动,和市民面对面交流种植牙小窍门,有种牙需要的朋友不要错过了。即日起,成功致电100分种牙热线即可享受多项种牙优惠政策,现已有近千名市民获得优惠,成功种牙。

专题

加载中...