新浪新闻 社会

女子膀胱长出铅球大结石:一直以为是骨头(图)

新疆晨报

关注

新疆晨报消息,近日,新疆阿克苏地区第一人民医院收治了一位结石患者。医生从患者隆女士的膀胱里取出来的结石,直径约10厘米,760克重,差不多赶上一个铅球大小,如此罕见的一个巨大结石,几乎撑满了隆女士的整个膀胱。

“肚子有个地方摸上去硬梆梆的,一直以为那硬梆梆的东西是一块骨头呢,从来没想到它是结石。这下结石取出来,整个人也舒畅了。”隆女士说。

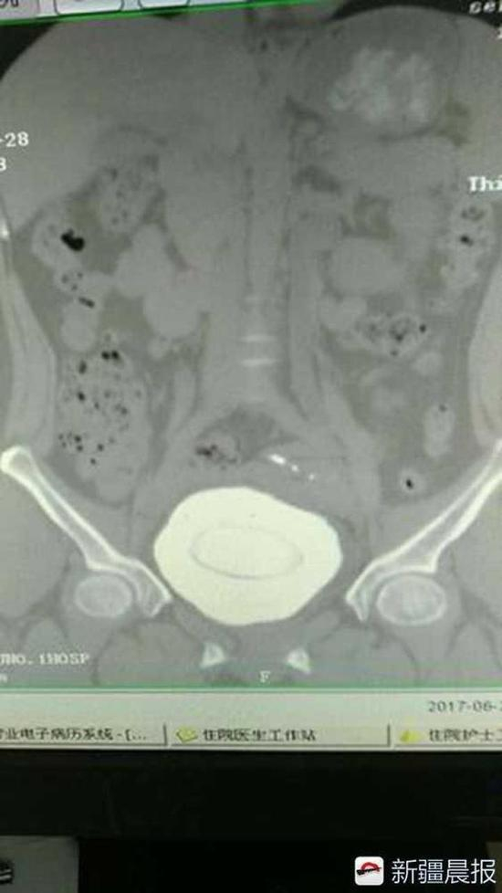
据阿克苏地区第一人民医院泌尿科主治医师刘峰介绍,当时患者隆女士来到医院拍片,腹部CT影像显示,结石占满膀胱,而且结石还有分层,像年轮一样。实际上,隆女士小时候就有结石了,但当时她一直没往这方面想,每次肚子疼时就吃点消炎药。

一些结石患者往往伴有尿道炎感染,成人以后,隆女士一直当尿道炎感染治疗自己的病,直到最近开始尿血,而且差不多每半小时到1小时就小便,一天24小时不停小便,实在病得不行了,隆女士才来到医院检查。

这是阿克苏地区第一人民医院有史以来取出的最大一个结石,而且这么大的结石在全疆也是及其罕见。

加载中...