打工男子胸部意外“中弹”危及生命
齐鲁晚报
2000吨级锻压机在工作时蹦出的金属碎片的威力有 多大?堪比高速飞行的子弹!如果这枚“子弹”击中身 体,进入肺部,距离肺上叶血管只有1毫米的距离,一旦 它移位割伤血管,这一切所带来的危险有多大?轻则造成肺内出血,重则或能危及生命!
近日,在烟台打工的小李就遭遇了这样的惊魂一幕 ,幸好被及时送到烟台山医院,心胸外科专家紧急实施 手术,这才得以化险为夷。
锻压工作时突然“中弹”
事发当天,小李像往常一样在2000吨级锻压机前锻 压钢铁组件,突然间,他感觉胸前一阵痛疼,便不由自 主地蹲在了地上。幸好被工友及时发现,送到了烟台山 医院。“当时患者胸前的衣服被鲜血染红了一片,揭开 衣服,右侧胸前有一个0.5厘米左右的口子。”烟台山医 院心胸外科副主任医师姜文升告诉记者。
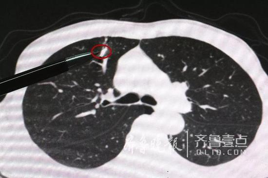
拍完片,做完CT检查以后,接诊的烟台山医院心胸 外科主任医师杨军发现:患者右肺上叶有一个长约1.5厘 米的异物,胸腔内出现了积血、积气。他结合患者的工 作情况断定患者是被锻压产生的金属碎片击伤。
“子弹”距肺上叶血管仅1毫米
“2000吨级锻压机锻压时产生的金属碎片,速度快 、威力大,好比是从枪膛里射出的子弹!”姜文升副主 任医师称,这颗“子弹”穿透了患者的胸部,裂伤肺部 ,并留在了肺内。“最险的是,这枚‘子弹’离肺上叶 血管只有1毫米的距离。如果‘子弹’移位割伤血管,可 以造成患者肺内出血;假如‘子弹’体积相对较小,它 还可能进入血管,随着血液循环而在体内游走,造成不 可预计的损伤,甚至危及生命!”姜文升副主任医师告 诉记者,如果异物击中的位置再偏一点儿,患者的肺组 织再薄一些,它可能伤及主动脉,这样就需要进行开胸 手术;如果异物击穿的是左肺,那么伤及心脏的可能性 会大一些,“所以说,患者的遭遇看似并不复杂,实则 有着诸多的不确定性,可谓危机重重!”
“子弹”幸未移位 微创手术及时取出
凶险随时可至!姜文升副主任医师迅速组织科室人 员,联合手术室、麻醉科准备这台急诊手术,并紧急拟 定手术方案:如果异物没有移位,就在胸腔镜下开展微 创手术,将异物取出;如果异物移位,就需要在术中借 助X线指引进行手术,并做好开胸手术的准备。
“我们在患者胸壁上切开小口,进入胸腔镜进行探查 ,我们发现患者体内的异物并没有移位。对于患者而言 ,这算是不幸中的万幸。”姜文升副主任医师经小切口 进入切割缝合器,切除患者裂伤的肺组织并将金属异物 一并全整取出,整个过程不到10分钟,“取出的异物长 约1.5厘米,宽约0.5厘米,而且较为锋利。”1小时过后 ,患者安全返回病房,目前正在康复中。

“这样的意外伤害在平日里并非罕见,近3年来,我 们科接诊过五六例类似的病例。”姜文升副主任医师提 醒大家,今后在从事类似的工作时,一定要做好必要的 职业防护。一旦受伤,要及时到医院就诊,受伤后还要 避免大幅度的活动,以免发生异物移位或引起其他损伤 。
齐鲁晚报 齐鲁壹点 记者 曲彦霖 通讯员 张国杰