新浪新闻 社会

老人怕花钱拖半年 医生主动增加手术难度省万元

映象网

关注

□记者房琳通讯员汤剑燕程婧文图

三门峡陕州区75岁的张大娘头痛病又犯了,越来越重。为了省钱,为了不给儿女添麻烦,张大娘忍了半年多。这一次,她实在是挺不住了。

来到三门峡市中心医院。一检查,情况糟糕。

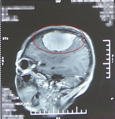
在她大脑硬膜与脑组织间有一个肿瘤,直径7厘米,足有成人拳头大!需要赶紧切除!

心焦的张大娘“没想到”,接下来发生的事情,让她感动得说不出话来。

当得知张大娘因为没钱治疗,才将病情一拖再拖后,三门峡市中心医院的医生决定为她节省治疗费用,但这也增加了手术的难度……

病发头疼得厉害,连胳膊和腿也不听使唤了

2月18日一大早,张大娘像往常一样在忙活着,突然,困扰她半年多的头疼病又犯了

……

张大娘这次头疼不但是一阵一阵的,且越来越重,持续了半天也不见好转,还晕得厉害,紧接着连自己的右胳膊和右腿也不听使唤了。

老伴见状也着急得不行,因为张大娘这头疼病已经持续了半年。“看来这次不到医院治疗实在是不行了。”

老两口一共养育了五个儿女,因为四个女儿眼下都已有了孙子,平日里都忙着照顾孙子们上学,而唯一的儿子,在水泥厂干的是出力活儿,辛苦得很。

为了不给子女添麻烦,老两口决定不将此事告诉他们。

就这样,两位70多岁的老人相伴坐着公交车,直奔三门峡市中心医院。

震惊 脑子里发现拳头大的肿瘤

到了医院后,经头颅CT和磁共振一系列相关检查,显示在张大娘的硬脑膜与脑组织间有一个7厘米的肿瘤,足有成人拳头大,已压迫到运动前区。难怪张大娘的右胳膊和右腿不听使唤了。

检查结果一出,把张大娘和老伴吓得不轻。

“真是怕啥啥来!”张大娘说。她告诉大河报记者,自己也算是个苦命人,好不容易把五个儿女拉扯大,各自成家,眼看老了该享清福了,几年前又得了青光眼,右眼目前已经失明,左眼虽然做手术保住了视力,但跟正常人比,还是不济。

张大娘的老伴,早年间干农活时伤了双手,导致两只手不能伸展,所以平时家里的活儿基本上都是张大娘一个人干。

头疼的毛病张大娘之所以一忍再忍,一拖再拖,据她讲,主要是怕花钱,而且自己也没有多少钱。

就这么一忍一拖,竟拖出个拳头大的脑瘤来!

动情见到老人想到自己的父母

2月18日上午11点,张大娘入住三门峡市中心医院脑病医院神经外科二病区。

“看到检查结果,我的心咯噔一下!”

神经外科二病区主任卢国奇说,这么大的脑瘤需要尽快切除!否则,随着肿瘤继续增大,张大娘不仅会持续头疼、头晕、肢体偏瘫,还会发展到意识不清、脑疝,甚至突然死亡……

可如果手术,张大娘的巨大脑瘤已从额叶左侧向中心扩张,侵犯到上矢状窦。而上矢状窦是大脑上方的一根大静脉,汇集了大脑回流的血液。如果手术切除肿瘤过程中伤及矢状窦,会引起颅内大出血,张大娘很可能下不了手术台。

手术难度大、风险高,这对神经外科医生来说是家常便饭,医生愿意冒险。可卢国奇心里纳闷:

“肿瘤体积如此之大,这病看来拖了很久了,怎么会是张大娘描述的头疼了半年?”

卢国奇拉住张大娘的手询问:“大娘,你头疼了半年怎么不来医院看呢?”张大娘搓着粗糙皲裂的手,怯怯地说:“怕花钱啊,家里本来就没啥钱,也不想麻烦儿女们,他们都忙。这次是不看不行了,才来了。”

“看着眼前这两个饱经风霜善良的老人,不由想到自己的父母双亲,心里一阵酸楚。”卢国奇低声对记者说,这样的病人、这样的老人,他见得太多了……

“当时我就想,想办法尽可能为老人省点手术费!”

成功手术5个半小时,是疲惫更是欣慰

2月21日9:20:术前准备就绪,张大娘被推进手术室……

卢国奇主刀,樊旭辉博士担任助手。

他俩发现,张大娘的脑瘤起源于硬脑膜,侵犯了颅骨内板,侵犯面积大,血供丰富。

两人配合默契,切除脑瘤的同时保护上矢状窦,保护静脉回流。

由于肿瘤侵犯硬脑膜面积大,切除后硬脑膜缺损大,还要进行硬脑膜成型术,就是用生物材料补片代替和修补缺损的硬脑膜。

为给张大娘省钱,卢国奇决定用张大娘自体的颞肌筋膜为她修补硬脑膜,而不用昂贵的生物材料补片。这样做,虽然给手术团队增加了难度,但能为经济拮据的张大娘省下1万多块,手术效果也不受影响,卢国奇“心里别提多高兴了”。

据卢国奇的同事介绍,卢大夫平时给别人看病时,经常这么做,能省的钱都尽量帮病人省下。

经过奋战,巨大脑瘤成功切除,考虑到肿瘤细胞源发于硬脑膜,还侵犯到颅骨内板,为防止肿瘤细胞残存在颅骨内板,形成新的病灶,卢国奇又用磨钻磨除了一部分颅骨内板,以绝后患。

置引流管、回纳骨瓣、钛钉固定颅骨、缝合、包扎……

手术历经5个半小时,14点50分告捷!

卢国奇和同事们一身疲惫,却相视一笑。

瘦弱的张大娘在神经外科二病区医护人员的精心照料下扛过了感染关,也没有出现术后颅内血肿等严重并发症,一点点在恢复着。

手术成功至今,一个月的时间,张大娘因手术剃光的头发也已经长了出来,伤口也拆了线,结了痂。

卢国奇扶着张大娘的肩膀说:“大娘,你看现在你右胳膊也能抬高了,恢复得很好,放心吧……”

“哎哎哎……”张大娘的老伴见到卢国奇很是激动,嘴角都在不住地抖动,不善言辞的他将手术前的紧张和煎熬、手术成功后的感慨和庆幸都化作了一声声感叹……

温馨贴士:

头疼这些事儿,千万别小视

卢国奇说,近年来,由于天气变化大、工作压力大、生活不规律等原因,头痛疾病的发作日益严重,给人们生活带来极大困扰。

在头痛患者中大约一半多是偏头痛,其特征是发作性、多为偏侧、中重度、搏动样头痛,伴有恶心、呕吐的症状。除头痛本身外,偏头痛还可能进一步导致其他损害。

此外,长时间的精神紧张、用脑过度、伏案工作时间过长,或者焦虑不安、过度疲劳等还可引起紧张性头痛。其特征是头痛多为整个头部的疼痛,头顶像被重物压迫,有束带紧勒等感觉,有时,疼痛可波及颈部和肩部。

卢国奇提醒说,如果病人平时遇到头疼等症状,一定要及时到正规医院做检查,切莫一拖再拖,造成“省了小钱,花了大钱”。

此外,平时还应该注意饮食,多吃绿色食品,养成良好的生活习惯,不抽烟,不喝酒,摒弃负面的情绪,合理缓解压力,加强身体锻炼,早睡早起。

医生感言:

“当时看到张大娘,得知她是农村的,因为怕花钱、没钱治病,将病情一拖再拖,我的心里一阵酸痛。”卢国奇说,自己从小也是在农村长大的,那时候家里条件不好,父母再苦再难,都坚持把孩子拉扯大。

卢国奇说,如今,许多老人和张大娘一样,哪怕自己忍受病痛折磨,也不愿给儿女添一点麻烦。

真是可怜天下父母心!

“作为一名医生,只有尽全力救治,只有用高超的医术和真诚的耐心为老人省钱,才能尽到一个医者的责任,才能尽到一个儿女的孝心。”

来源:大河网-大河报

加载中...