英国出现世界首只安装机械后腿的猫(组图)
国际在线
![]() |
世界上第一只拥有机械仿生后腿的“电子猫”奥斯卡
国际在线专稿:据《每日邮报》报道,一位英国医生将骨内义肢技术应用在一只因事故失去后腿的黑猫身上,使它成为世界上第一只拥有机械仿生后腿的“电子猫”。
半人半机械的超级“电子人”是科幻片中经常能看到的形象,如今这项前沿科技在一只可爱的黑猫身上成为现实。这只名叫奥斯卡的小猫9个月前在一次事故中失去两只后腿膝盖以下的部分,一直致力于用高科技帮助残疾动物的神经整形外科医生诺尔·菲茨帕特里克决定为它安装一对机械猫爪。
菲茨帕特里克医生利用英国伦敦大学开发的骨内义肢技术,把钛等金属材料制成的义肢伸入奥斯卡的后腿皮肤内与它的断肢处骨骼相连,另一端留在皮肤外以便安装机械猫爪,猫爪可在一定范围内活动,让奥斯卡能够像其它猫一样走路、跑跳甚至攀爬到高处。
奥斯卡成为世界上第一只被植入机械后腿的“电子猫”,当然,由于人造猫爪目前还不适用于户外运动,奥斯卡将不得不变成一只彻底的“宅猫”。
菲茨帕特里克医生称这项技术将可在未来用于帮助被截肢的残疾人,但是他强调自己并不是在动物身上做实验,而是在确定会给奥斯卡带来好处的情况下进行机械后腿安装手术的。
![]() |
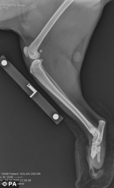
奥斯卡接受义肢安装手术前后腿的骨骼透视照片

