美国8岁“美人鱼”女孩 双腿天生粘合最爱学芭蕾
中国日报网
![]() |
X光片拍出夏伊洛的双腿长在一起 就像美人鱼(左)8岁的夏伊洛
![]() |
X光片拍出夏伊洛的双腿长在一起
![]() |
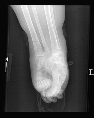
这是夏伊洛4岁时拍摄的X光片
![]() |
5岁时的夏伊洛
中国日报网环球在线消息:还记得安徒生童话中那个小美人鱼吗?为了爱情,这个“海的女儿”以声音为代价换来了修长的双腿。在现实中,竟然有如同“美人鱼”一样的女孩!美国缅因州的夏伊洛?皮平因先天性疾病而生来双腿粘合在一起,而且多个器官缺失。年仅8岁,她已接受过150多次手术;无法走路,她却热衷舞蹈;身患奇症,她却比任何人都乐观坚强。
***器官残缺 双腿合二为一
据美国广播公司报道,夏伊洛患的这种罕见疾病被称为“美人鱼综合征”。关于其病因至今仍是个谜,但医学专家认为可能和遗传基因有关。患者由于血液循环系统在子宫中没有正常发育,从而导致她们的肾脏和其他器官也没有发育完整。
对夏伊洛来说,真正的危险不在于她表面看来粘合在一起的双腿,而是缺失的器官——膀胱、子宫、大肠、大部分肾脏等。肾脏专家马修·汉德说:“由于缺少阴道穹窿(vaginal vault)和直肠,尿液就无法排出体外。大部分患者都会因此而死。”
不过,夏伊洛却打破了医生的死亡预言,依靠体内仅有的一小块肾奇迹般地活了下来。父亲莱斯利和母亲艾尔玛决定为女儿的生命做出努力,并把她带到了缅因州医疗中心的芭芭拉?布什儿童医院接受诊治。他们的愿望也很简单,就是希望尽量延长夏伊洛的生命,让她能有更多的时光与家人在一起,当她离开人世时,至少有爱她的人陪伴在身边。
***不愿“分腿” 手术150多次
从此,夏伊洛踏上了她的求生之路,接受大大小小的手术多达150多次,包括重建内脏器官和两次肾脏移植手术,一次是在她两岁时,一次是在去年8月。夏伊洛说起自己的“手术史”时一副风轻云淡的口吻:“我两岁时做了第一次肾移植。”
夏伊洛惊人的生存意志让所有为她看过病的医生都感到震惊。现在,她接受“分腿”手术的条件已经具备了,不过医生希望与肾移植手术相隔的时间再长一些。而夏伊洛的想法却出乎很多人的意料,因为她对自己现在的样子很满意。
夏伊洛说:“马特医生问我,我是否愿意让自己的双腿分开,我说我不想。”母亲艾尔玛承认说:“夏伊洛一点也不想拥有两条腿,她总是说:‘我现在很好。’”
***最爱舞蹈 成为孩子楷模
事实上,尽管夏伊洛无法靠双腿行走,但她最热爱的活动之一却是舞蹈。她不仅参加了芭蕾舞班,并且还参与了一场舞蹈演出的预演活动,夏伊洛的“舞蹈”就是坐在舞台上,不停地摇摆身体。不过,她最后还是因身体原因缺席了正式演出。夏伊洛还学会了坐着滑板车在地板上滑行和打保龄球。
夏伊洛的勇敢坚强也让她成了缅因州的“名人”,尽管她无法直立走路,但她却爱跟朋友一起玩耍。夏伊洛的堂姐萨曼莎·米歇尔说:“所有的孩子都喜欢她,她就像是孩子们的行为榜样一样。”而就像许多孩子都把一个自己喜欢的老师当作崇拜的对象一样,夏伊洛也有一个“偶像”,不过那是她的一名主治医生,她称他为“性感医生”。
43岁的父亲莱斯利说:“她拥有全世界最充分的理由感到痛苦和不幸,但相反的是,她却非常乐观和快乐……当我妻子还在怀孕时,我们就得知胎儿患有‘美人鱼综合征’,我们曾担心自己无法爱她,可当她降临人世后,她拥有世上最大最黑的眼睛,我记得妻子曾说:‘她真漂亮。’我相信,夏伊洛选择了我们,我们也选择了她,她赐给我们的比我们送给她的要多得多。”
夏伊洛的母亲艾尔玛在一家保险公司工作,而父亲莱斯利则在家全职照顾“小美人鱼”。莱斯利还经常扮小丑逗女儿开心。夏伊洛说:“他们是我的父母,我非常爱他们。”
***全球罕见 “美人鱼”仅三个
全球已知的“美人鱼综合症”的幸存者只有三人,另外两个分别是19岁的佛罗里达州坦帕市女孩蒂芬妮?约克斯和3岁秘鲁女童米拉格罗斯·塞伦。2005年,当时仅9个月的塞伦就接受了“分腿”手术。手术很成功,医生将继续为她进行内脏器官的再造和移植。
19岁的蒂芬妮也是在很小的时候就“分腿”成功,甚至学会了走路。不过,她在9岁时候的一次跌倒令她伤到了膝盖,因此不得不靠轮椅代步。她生来也只有部分肾脏,但在两年前已经衰竭,现在她正等待接受移植手术。
在美国广播公司的安排下,夏伊洛和蒂芬妮这两个幸存的“美人鱼”有了一次非常难得的见面机会。夏伊洛最关心的是“分腿”手术的问题,她问蒂芬妮:“(分腿后)生活会变得容易些吗?”“是的,你可能觉得恐怖,但我把它看成实现目标必须要做的事,” 蒂芬妮说。
而蒂芬妮则对肾移植手术有些担忧,她问夏伊洛:“真得很疼吗?你还记得吗?”夏伊洛说,当时妈妈的鼓励和安慰让她摆脱了手术前恐惧。“然后我就动了手术,我挺过来了。其实也就这样而已。”
由于来到缅因州的蒂芬妮生平第一次见到雪,两个女孩还在旅馆外面打了一场雪仗,不过,蒂芬妮只在缅因州呆了一天就又返回佛罗里达州了,因为她必须接受透析治疗。虽然蒂芬妮重病缠身,但她仍然坚持在家学习,并希望自己接受肾脏移植手术后,将来能够成为一名合格的儿童重病特别护理护士。
(康娟)



