法国一男竟是"无脑人" 智力正常干政府公务员
扬子晚报
[扬子晚报网消息]
![]() |
![]() |
![]() |
![]() |
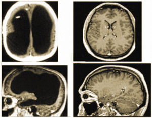
法国医生日前在为一名44岁法国男子的脑部做CT和核磁共振扫描后惊讶地发现,其脑室里充满了脑脊液,原本正常的脑组织由于受挤压薄得像一片纸。令人吃惊的是,这位“几乎没有大脑”的患者智商竟有75,不仅像正常人一样娶妻生子,甚至还干着政府公务员的差事。7月19日,英国著名医学权威杂志《柳叶刀》率先刊登了这起罕见病例之后,国际医学界为之震惊!
脑组织“几乎不存在”
据报道,这名法国男子现年44岁,是名政府公务员。不久前,他因为左脚软弱无力,来到马赛市的地中海大学求医。
医生在为其进行脑部CT和核磁共振扫描后,惊讶地发现,患者的脑室几乎占满颅脑内部空间,而真正的大脑组织则由于受到脑脊液的严重挤压,薄得只剩一张纸片的厚度。
通常而言,作为大脑组织间腔隙的脑室体积很小,内含对大脑具有缓冲保护作用的脑脊髓液。
然而,该男子的脑室却已经因为积满液体而“大规模扩大”,导致实际的脑部组织所剩无几。主治医师莱昂内尔·弗利叶指出:“患者大脑的灰质与白质被完全挤压至颅内两侧,照片画面很不寻常……他的大脑几乎不存在。”
娶妻生子上班一切正常
医生调阅该男子的病史后发现,他在6个月大时曾因为罹患水脑症(俗称脑水肿)导致脑脊液分泌过多,被迫接受脑手术。医生当时曾将一根导流管植入其颅脑里,以便将过多的脑脊液排出。该导流管在患者14岁时被取出。也许正是由于这个原因,患者的颅脑内从此开始大量堆积脑脊液。
令人匪夷所思的是,虽然颅脑内充满大量液体,大脑组织被挤得只剩一点点,可是这名44岁男子的正常生活似乎并未受到影响。
事实上,他早已结婚,是两个孩子的爸爸,现在是法国政府的一名公务员。脑力测试结果显示,该男子的智商为75,语言智商84,操作智商70。虽然比一般人的85到100,他的得分略低,可是远不至于被列为智力迟钝或残疾,其个人发展或社交能力似乎也未受影响。
脑组织与脑积水和谐共处
弗利叶医生指出:“这个案例足以说明,脑组织可塑性非常大,在适当情况下,能够自动适应出生前或出生后的脑损伤。”
来自美国马里兰州的小儿脑部缺损科医生马克斯·明克表示:“令我感到非常惊讶的是,该患者的脑组织是如何做到与我们一般认为不可能相容的事物(脑积水)和谐共处的。也许经过数十年的缓慢变化,其大脑里的其他部分已经替代那些本应该存在的脑组织,并正常地发挥功能。”
天 天



