新浪新闻 国内

男子流感现“白肺” 流感不是简单发几天烧吃几颗药

新浪新闻

关注
听新闻

来源:潮新闻

今日,徐熙媛(大S)在日本旅游期间因流感并发肺炎不幸离世相关内容冲上热搜。

广大网民扼腕痛惜的同时,也有很多人提出了这样一个问题:现在身边得流感的人这么多,难道这个病真的会要命吗?

面对来势汹汹的流感,首先要问自己:我们的健康防线,是否足够坚固?杭师大附属医院呼吸与危重症医学科主任吕群主任医师表示,流感并不是像很多老百姓认知中那样“发两天烧吃几颗药就好了”,它的面貌并非总是温和的

有时,它会对我们的健康造成更为严重的威胁。重症流感,往往伴随着剧烈咳嗽、高烧不退、呼吸困难、多器官功能衰竭等严重症状,甚至可能危及生命。

男子重症流感肺部变白

刘先生(化名),是个平日里身体硬朗的上班族,就在这个流感季节里,不幸中招,成为重症流感患者中的一员。

刘先生起初只是感觉有些轻微的咳嗽咳痰,以为只是普通的感冒,并没有太在意。

他到社区医院就诊,配了一些常规感冒药服用后仍然感觉头晕无力,咳嗽咳痰好像也比之前加重了。

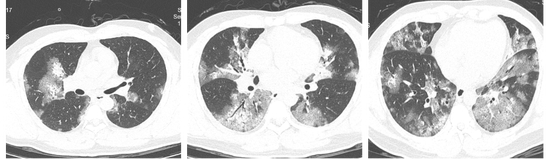
短短几天后刘先生就病倒了,不仅咳嗽咳痰症状没好,还出现了气急的情况,虚弱地来到了杭师大附属医院呼吸与危重症医学科门诊就诊,接诊医生详细询问病史后,让刘先生完善了流感核酸的检测以及胸部CT检查。

结果显示,刘先生感染了甲型流感,但他的胸部CT让接诊医生意识到不仅仅是普通的流感这么简单。

刘先生的两肺都有非常严重的磨玻璃样渗出,也就是平时所说的“白肺”。

结合病史,接诊医生考虑刘先生得了重症流感,在汇报吕群后,赶紧把刘先生收入院治疗。

吕群分析,以往高致病性禽流感、新冠病毒感染等病毒性肺炎,在病情严重时都有可能引发“白肺”现象。但是像刘先生这样因甲流感染而导致的重症流感病例,并进展到出现显著肺部病变乃至“白肺”的程度,相对而言还是较为少见的。

刘先生的氧饱和度下降至85%,应给予吸氧辅以抗病毒、激素冲击、免疫球蛋白等治疗。

在医护人员的努力下,刘先生的病情逐渐稳定,高烧逐渐消退,胸闷气急的症状也得到了缓解。再次复查胸部CT,两肺的炎性渗出都有不同程度的吸收。经过这次大病,刘先生感觉重获新生。

吕群表示,重症流感患者常因免疫系统受损,易并发细菌(如肺炎链球菌、金黄色葡萄球菌等)和真菌感染(如曲霉菌、念珠菌等),这些感染可能引发进一步的肺炎、败血症等严重并发症。出院后的康复治疗、营养支持以及预防感染等方面也需要高度重视和科学管理。

如何预防流感

1、接种流感疫苗。接种疫苗是预防流感最有效的手段和最具成本效益的方法。推荐高危人群(孕妇、6个月至5岁的儿童、老年人和患有基础疾病的人),卫生保健工作者和护理人员在每年秋季接种一次流感疫苗。

2、预防性使用抗病毒药物。流感流行季节,以下人群暴露后可考虑使用奥司他韦或玛巴洛沙韦预防流感:

未接种或接种流感疫苗后未获得稳定免疫力(接种后2周内)的重症高危人群以及与重症高危人群有密切接触的卫生保健人员或医护人员;接种疫苗后难以获得有效免疫力的严重免疫缺陷人群;对于极高危人群(例如器官移植患者),可考虑在流感暴发季节使用奥司他韦进行暴露前预防。

3、勤洗手。WHO指出,在流感盛行期间,应该经常洗手;使用肥皂和水洗手,洗后彻底干燥双手;如果没有肥皂和水,可使用含酒精的擦手产品。

4、增强免疫力。均衡饮食:摄入足够的蛋白质、维生素和矿物质,多吃新鲜的蔬菜和水果;适量运动:如每周进行至少150分钟的中等强度有氧运动,以增强身体素质;充足睡眠:保证充足的睡眠,让身体得到充分休息,有助于增强免疫力。

5、远离传染源。避免前往人员密集场所:在流感高发期,尽量减少前往商场、电影院等人员密集场所的次数。保持社交距离:如果周围有流感患者,应保持一定的社交距离,减少接触机会。

6、佩戴口罩。日常防护流感病毒选择一次性外科口罩即可。N95口罩由于其高过滤效率,密封性较强,老人及呼吸系统不好的人使用可能会引起不适,应慎重选择。而KN95口罩适用于一般人群的日常防护,但长期佩戴可能导致皮肤过敏或不透气引起的不适,因此应避免过度依赖。

正逢春运期间,市民还应该注意哪些事项?

1、注意个人卫生。咳嗽或打喷嚏时,用纸巾或肘部遮挡口鼻,防止病毒传播。避免用手触摸眼睛、鼻子和嘴巴。在触摸公共设施后、进食前后及如厕后,应及时使用肥皂和流动水彻底清洁双手。

2、合理规划行程。尽量避开出行高峰时段,减少在人群密集场所的停留时间。如有发热、咳嗽、咽痛等呼吸道感染症状,建议尽可能居家休息,推迟出行。

吕群表示,甲型流感引起的重症肺炎并不是比较常见的情况,但是在具有基础疾病的人群(如心肺疾病患者、孕妇、婴幼儿、老年人或免疫缺陷者)中,甲型流感肺炎更容易发展为重症。

此外,流感病毒的致病性因其亚型的不同而有所差异,其中某些亚型(如H1、H5、H7)具有较高的致病性。

虽然甲型流感重症肺炎的发生率相对较低,但在特定人群中且应对不当的情况下,病情可能会非常严重。

对于这些高危人群,接种流感疫苗和及时就医是非常重要的。流感虽然来势汹汹,但只要用科学的方法武装自己,就能共筑起一道坚不可摧的健康长城。

加载中...