新浪新闻 国内

Nature 发文!山大陈丽团队合作揭示下丘脑中枢对肝脏糖代谢昼夜节律调节机制

山东大学

关注

原标题:Nature 发文!山大陈丽团队合作揭示下丘脑中枢对肝脏糖代谢昼夜节律调节机制

来源:山东大学

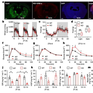
3月24日,山东大学齐鲁医院陈丽教授团队与美国贝勒医学院孙正教授团队通力合作在Nature主刊在线发表了题为"REV-ERB in GABAergic neurons controls diurnal hepatic insulin sensitivity" 的研究论文,报道下丘脑视交叉上核(SCN)区GABA神经元的REV-ERB基因控制胰岛素抑制肝脏糖异生的昼夜节律,阐释了临床黎明现象的分子机制。

陈丽教授团队侯新国教授为共同第一作者,刘福强副主任医师及宋佳、王靖等研究生为共同作者,共同第一作者还包括孙正教授团队的丁国莲博士、李欣博士、周文骏博士。陈丽教授与孙正教授是该文共同通讯作者。

胰岛素敏感性的昼夜节律如何调控?“黎明现象”从分子机制角度又该如何解释?下面姗姗带你一起揭开血糖昼夜节律的奥秘~

黎明现象是指糖尿病患者在夜间或白天大部分时间内血糖控制尚可且平稳,但在黎明时分尤其是早餐后呈现高血糖。这种现象普遍且重要,是糖尿病管理中的一个关键,也是我们深入理解血糖代谢异常的重要切入点,既往被认为与肝脏葡萄糖代谢和内分泌激素的节律分泌关系密切,但其背后的机制一直未被阐明。陈丽教授与孙正教授团队从临床现象出发,结合之前在表观遗传学的研究基础,将研究重点放到了中枢生物钟对外周肝脏胰岛素敏感性的调节上,精心设计了从临床到基础结合的完备的研究方案,进行了数年艰苦的研究探索。

研究团队聚焦的REV-ERB-αREV-ERB-β是核受体家族成员,也是分子生物钟中的药物靶点,其表达富集于下丘脑SCN区GABA神经元(SCNGABA)。REV-ERB表达呈现显著的昼夜节律并在觉醒前达到高峰。而SCNGABA特异性敲除REV-ERB-α和REV-ERB-β的KO小鼠只在觉醒时表现出最显著的糖耐量受损。KO小鼠的SCNGABA神经元放电活动与糖耐量改变的时间节律一致,特异性的抑制SCNGABA神经元,可改善觉醒时的糖耐量受损。当外源REV-ERB的节律与WT小鼠正常内源REV-ERB同相位时,可改善KO小鼠觉醒时的糖代谢表型,而非同相位表达则不能改善糖代谢表型,从而证明了节律表达的重要性。

研究团队利用连续动态血糖监测技术对2型糖尿病患者黎明现象进行判断分组,在不同时间点采集患者外周血,检测外周血淋巴细胞中多个生物钟相关基因的动态表达,并监测血清胰岛素、褪黑素、生长激素、皮质醇等多个激素水平的动态变化,并应用心肺耦合-多导睡眠记录系统及运动监测,发现在睡眠状况无明显差异的情况下,有黎明现象的患者与无黎明现象的患者相比,其REV-ERB-α和REV-ERB-β的表达节律存在显著差异

该研究将临床科研与基础研究有机结合起来,首次将下丘脑中枢对外周糖代谢的调节精准定位到了视上核GABA神经元,发现并系统论证了生物钟相关基因表达在该调节中的作用与机制,对于我们深入了解中枢神经系统对外周糖代谢的时空调控具有重要意义,对于进一步优化临床血糖控制策略有着重要的现实意义。

山东大学齐鲁医院内分泌专业是国家临床重点专科建设单位,中华医学会糖尿病分会副主委单位。陈丽教授带领团队长期聚焦糖尿病等代谢性疾病的病理生理机制及干细胞干预研究,近年来取得系列重要成果,在Frontiers in Immunology、Metabolism、Stem Cell Research & Therapy、Nature Neuroscience、Diabetes等杂志发表。该项工作得到了国家自然科学基金、国家重点研发计划等项目的支持。

文章链接:

https://www.nature.com/articles/s41586-021-03358-w

素材来源 | 齐鲁医院 融媒体中心

文 | 侯新国 刘继东 高丹璎

封面 | 支婧薇

编辑 | 陈一诺

责任编辑 | 苗立群 耿嘉泽

加载中...