美媒:疫情“信息过载”令美国年轻人焦虑
北京日报
原标题:美媒:疫情“信息过载”令美国年轻人焦虑
美媒称,新冠病毒热词充斥了社交媒体。美国《洛杉矶时报》网站2月5日的报道阐述了年轻人焦虑的原因。
报道称,关于新型冠状病毒在世界各地蔓延的消息多到让人躲都躲不开——包括大规模隔离、致死人数的实时更新,以及对病毒的溯源等等。
联邦官员说,在美国感染新型冠状病毒的风险仍然很低,但不管怎样,恐惧情绪一直在迅速增加,尤其是在美国年轻人当中。
专家们说,这很可能是年轻一代第一次听到人们讨论全球范围的流行病——正如本世纪头十年暴发“非典”和H1N1流感时的讨论一样。因此年轻人对它尤其敏感。
但更重要的是,专家们说,在社交媒体平台和互联网上不断接触到有关冠状病毒的信息很可能会引发焦虑,因为共享的信息数量巨大,而有些甚至不属实。
在推特网站、Instagram网站以及新闻网站上,频繁提及新冠病毒并更新关于它的消息,会让人觉得这种病毒比实际上更具威胁性,尤其在这个倾向于支持末日预言更甚于审慎声音的网络生态环境下。
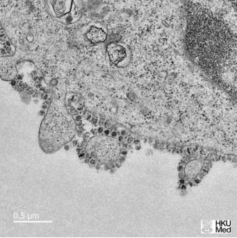
▲香港大学电子显微镜图像显示了在细胞中生长的新型冠状病毒。
加利福尼亚大学里弗赛德分校流行病学家布兰登·布朗说,就连冠状病毒相关热词和笑话的传播也可能成为另一种提醒,让人们想起潜在的威胁。
布朗说:“我们花很多时间在屏幕上,如果我们持续看到‘冠状病毒、冠状病毒、冠状病毒’,我们每次都会关注它。目前似乎有很多歇斯底里的情绪。”
在南加州,中学生和大学生发起了取消上课直到疫情消退的运动。截至今日(2月5日),要求在阿尔汉布拉联合学区取消上课的请愿书已经获得了超过1.4万个签名。
学校工作人员一直强调,没有理由感到恐慌。本周晚些时候,护士将到每个教室去宣讲,讨论如何预防感染,并设法消除人们对这种病毒的恐惧。
肯塔基大学健康传播学副教授黛安娜·弗朗西斯说,年轻人尤其容易焦虑,因为他们接收关于冠状病毒的信息的渠道非常多,可以查找TikTok短视频和Instagram视频,可以从朋友和家人那里获得最新消息,也可以从新闻标题中获取信息。
报道认为,世界卫生组织及美国疾病控制和预防中心等拥有高水平专业知识的可靠机构,并不是年轻人通常获取信息的渠道。
弗朗西斯说:“一次性看到海量信息,以及信息的复杂性,是他们焦虑的原因。他们很难分辨什么是真的,什么是假的,正因为如此,才引起了焦虑、恐惧和担忧。”
报道称,互联网一般喜欢夸张或极端化情境。本意不拿疫情当回事的关于冠状病毒的笑话通常都带有暗黑底色。
弗朗西斯说,智能手机给青少年提供了比以往更多的信息,让他们意识到最近暴发的疫情,而10年前不太可能如此。但是,滚动浏览新闻标题或推文并不会提供必要的背景。她说,美国人感染冠状病毒的风险仍然很低。
弗朗西斯表示:“更多的人将知道冠状病毒的名字,主要是因为这个名字通过话题标签、推文等传播。但它到底是什么?如何传播?……年轻人更可能只知道这个名字,掌握这些信息的可能性更小。”
南加州大学医学教育讲师萨拉·穆贾拉德说,任何人都能在互联网上分享东西,这让过去在信息被广泛传播前对其进行审查的“看门人”消失了,使得没有专业知识的其他人能够用阴谋论或其他虚假信息填补这些空白。