英媒:中国男子食用受污染生鱼片 全身感染绦虫
参考消息
参考消息网9月25日报道 英国媒体近日称一名中国寿司食客吃过受污染的生鱼片后全身感染绦虫。
据英国《每日邮报》网站9月24日报道,生鱼片被认为是寿司菜单中最昂贵——有些人认为也是最美味——的一部分。
但一位男子对生鱼片的嗜爱却差点令其丧命——生鱼片使他全身感染了绦虫。
这名中国男子去看医生时说自己胃痛、皮肤瘙痒。
可怕的是,扫描检查发现他食用了过量的生鱼片后全身感染了绦虫。
医生认为,部分未经烹饪的生鱼、生肉一定受到了污染。
这名男子已在广东省广州市第八人民医院接受救治。
研究表明,食用生鲜、未经烹饪的鱼类可以导致多种寄生虫感染。
食用广节裂头绦虫的幼虫会导致绦虫感染。这种寄生虫会存在于三文鱼等淡水鱼体内,但是酱浸、烟熏的鱼类也会传播病虫。
虽然随着卫生条件的改善,贫困地区感染病例的数量有所下降,但在更为发达的地区,病例数量则在增加。
一些医生发表在《加拿大家庭医生》杂志上的论文指出,其中最直接的原因就是寿司越来越流行。
这一研究的作者南希·克雷格写道:“广受欢迎的寿司和生鱼片都是发病因素。”
“但该病也涉及其他受欢迎的食品,如发源于波罗的海和斯堪的纳维亚地区的盐腌生鱼片或酱浸鱼片、意大利常见的生腌薄鱼片、生三文鱼和生拌鱼等。”
广州市第八人民医院院长医生尹炽标接受采访时说,如果食用受到绦虫虫卵污染、未经烹饪的食品最终会随成虫进入人类血管而导致囊虫病。
一旦囊虫进入大脑,这种感染可能会致命。
【延伸阅读】女孩脑中取出一条活的猪肉绦虫 手术取出还在动

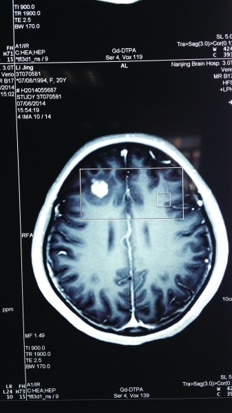
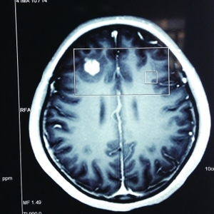
点击图片进入下一页
CT扫描显示,小静脑中高亮处疑是寄生虫。
来自淮安的20岁的女大学生小静(化名),因晕倒、抽搐等症状入院,起初都被当做癫痫治疗。南京脑科医院的专家,怀疑是寄生虫入脑,在手术当中,医生取出了一个3厘米长的白色虫子,放在托盘上的虫子还在动!据介绍,这是猪肉绦虫幼虫,怀疑小静是吃到了被污染的食物造成的感染。专家表示,预防寄生虫病,关键还是要注意饮食卫生和个人卫生,饭前便后要洗手;不食生的或半生的肉品,生熟砧板分开。
奇怪病症
女大学生癫痫,怀疑脑中有虫
小静的母亲清楚的记得孩子的几次病发时间。第一次是今年1月19日,在家过寒假的小静,帮助家里人装修房子时,突然晕倒在地,过了20多分钟才苏醒过来。家里人赶紧把她送到当地医院,医生怀疑是癫痫发作。
第二次病发是6月14日的夜里,在苏州上大学的小静,在睡梦中突然抽搐、口吐白沫,上铺的室友被抖动惊醒,慌忙拨打120。
当晚在急救车上,她连着抽搐了两次。在苏州的一家医院进行核磁共振等检查后,医生在她的脑部右侧额叶发现了一个病灶。医生怀疑是胶质瘤,说是只有开颅探查后才能确定。
家人将小静转到苏州另一家医院做检查,医生说,除了胶质瘤外,还有一种可能就是寄生虫。
今年8月3日,小静在家人的陪同下,来到南京脑科医院。刚走到医院门口,她又病发昏倒在地。
在南京脑科医院神经内科,医生首先考虑就是寄生虫,但究竟是什么虫,还是要取出来看一下。
揪出祸首
手术取出的白色虫子还在动
8月14日,小静被推进手术室,外科杨坤医生从她脑中取出一条乳白色的东西,长达3厘米。
“看着好像是条虫子,一开始我们还没法确认,”杨坤医生说,可是刚把它放到托盘上时,它突然蠕动了起来,把医生都吓了一跳,也恶心坏了。
“这是绦虫的囊虫,成虫能长到2到4米,但是主要寄生在肠道里,而囊虫可以随着血液在四处游走。”杨坤医生分析说,患者可能是一开始误食了猪肉中的猪肉绦虫虫卵,经消化道进入肠壁再进入肠系膜静脉,最后经血液循环将虫卵送到大脑,引起一系列的症状。这种疾病也叫“脑囊虫病”,患病如不及时治疗,脑组织及大脑中枢则易受损,进而引起头疼、无力、肢体运动障碍症状,严重的会引发癫痫,视物不清甚至死亡。
而绦虫寄生在肠的临床症状一般比较轻微,少数患者有上腹或全腹隐痛、消化不良、腹泻、体重减轻等症状。少数穿破肠壁或引起肠梗阻。
手术很成功,小静再也没有发作过,明天就准备出院了。
新闻加点料
防病警示:吃东西最好煮熟煮透
医生推测,小静可能是吃了没有煮熟的猪肉,也可能误食被带有猪肉绦虫粪便污染的蔬菜导致生病。
专家表示,寄生虫在江苏地区不是很多见,这和地域的饮食习惯有关。预防寄生虫病的关键是改变不良的饮食习惯,注意饮食卫生和个人卫生,饭前便后要洗手;不食生的或半生的肉品,生熟砧板分开;不吃生或半生的淡水鱼虾蟹;不用生鱼虾喂猫、犬、猪等。多数寄生虫可以通过长时间高温蒸煮杀灭,但低温冷冻对多数寄生虫(尤其是虫卵)没有杀灭作用。
这些食源性寄生虫也很可怕
1颚口线虫
——来自黄鳝
显微镜下,不管家养还是野生黄鳝,都有颚口线虫。颚口线虫的幼虫会像无头苍蝇在人体内乱窜。进入眼睛可致失明,进大脑可能致命。
2管圆线虫
——来自福寿螺
2006年,北京有23人因食用不卫生的福寿螺患上脑膜炎,他们都曾食用“麻辣福寿螺”或“凉拌螺肉”这两道菜。福寿螺带有多种寄生虫,一只福寿螺中就多达3000条至6000条。
3肝吸虫
——来自生鱼片
主要寄生于人或哺乳动物的胆管内。流行的关键因素是当地人群是否有生吃或半生吃鱼肉的习惯。
4肺吸虫
——来自虾蟹
肺吸虫病常因生食虾蟹感染,在喜食醉虾醉蟹的区域比较多见。感染肺吸虫后,虫体可以进入到身体各器官。(2014-08-23 13:35:00)
【延伸阅读】香港一女子被蚊虫叮咬感染日本脑炎
袁铭志指出,元朗很多地方都是近郊,加上有不少猪场,发生日本脑炎的风险是存在的。来源:香港《文汇报》
中新网7月22日电据香港《文汇报》报道,香港卫生署卫生防护中心21日公布今年第二宗日本脑炎本地确诊个案,患者为一名35岁女子,居住于元朗大树下东路菁雅苑。该女子目前在屯门医院留医,情况稳定。卫生署表示,患者最近没有外游,但曾经被蚊叮,居所附近亦有4个猪场。
香港卫生署卫生防护中心社会医学顾问医生(传染病)张竹君表示,患者于本月4日起开始发烧、头痛及呕吐,曾向私家医生求医,发病前两星期没有外游。她于本月14日入住屯门医院,3日后再次发烧,昨确诊患上日本脑炎。张竹君指出,患者目前已退烧,情况稳定,她曾经被蚊叮,居所附近亦有4个猪场,增加患病风险。
张竹君又称,当局昨已派人到患者住所附近进行家访及举行健康讲座,亦会为有需要的居民抽血检验是否有隐性感染。另外,香港食物环境卫生署防治虫鼠主任主管袁铭志称,昨日已实时于菁雅苑附近进行灭蚊防控工作,亦会尽快召开跨部门地区性的控蚊小组会议,希望各有关部门一同控制该区的蚊患。
被问及是否难以控制感染个案,袁铭志指元朗的范围相当大,上一宗个案发生于天水围近北,而是次则发生于元朗市近南,两地相隔颇远。而且,元朗很多地方都是近郊,加上有不少猪场,难免有较多地方滋生三带喙库蚊。在各种因素下,袁铭志认为元朗区发生日本脑炎的风险是存在的。
袁铭志称,就上次的确诊个案,当局已于该患者住所的方圆两公里加强进行控蚊工作,然而元朗有很多乡郊地方及大面积的水体,适合三带喙库蚊滋生。而这次患者的居所附近同样有不少相似的地方,所以当局已实时加强在该地区进行灭蚊工作。同时,当局亦会留意其他地方是否同样适合蚊虫滋生,如有发现便会实时采取控蚊工作。
这次确诊个案为本年的第二宗,上月中一名26岁、居于天水围天恒鸷的女子亦确诊感染日本脑炎。日本脑炎是由日本脑炎病毒引起,主要经由三带喙库蚊、白雪库蚊及棕头库蚊传播。大部分患者病征轻微或没有显著的病征,但病情严重的患者会出现头痛、发高烧、神志不清、震颤,甚至昏迷等症状,其死亡率超过5%。
为预防蚊叮虫咬,市民应在进行户外活动时穿宽松浅色的长袖衫裤,并于外露的皮肤及衣服上涂上驱蚊剂。另外,市民亦应于出外旅游时做足预防措施,例如注射防疫针,亦应该避免长时间停留在树木丛生的地方。(2014-07-22 11:15:08)
【延伸阅读】香港一对男女巴厘岛旅游被蚊虫叮 感染登革热
中新网6月21日电 据香港《明报》网站消息,香港一对男女日前到印度尼西亚巴厘岛旅游,其间曾被蚊叮,回香港后发烧住院,证实感染登革热,目前情况稳定。
该两名病人分别是一名24岁女子及一名31岁男子。两人自6月12日起发烧,女病人在18日入住屯门医院接受治疗,男病人则于同日入住玛嘉烈医院。两人现正留院,情况稳定。
他们的血液样本对登革热抗原体呈阳性反应。
初步调查显示,两名病人于本月2日至9日同到印度尼西亚巴厘岛旅游,其间曾被蚊叮。
香港卫生署卫生防护中心仍在继续调查这两宗从外地传入的相关登革热个案,并呼吁外游市民,特别是到登革热流行地区旅游时,应采取适当预防措施。
截至今日,卫生防护中心今年共接获36宗登革热确诊个案,全部均为外地传入个案。去年全年则有53宗外地传入登革热确诊个案,并没有本地个案。
【延伸阅读】 日本国内首次确认蜱虫感染致死病例

(资料图片)
新华网东京1月31日电(记者 蓝建中)原题:日本国内首现蜱虫致死病例
日本厚生劳动省30日宣布,经调查,去年秋天山口县一名成年人系因感染蜱虫传播的发热伴血小板减少综合征而死亡。这是日本首次确认国内有这种感染症存在。
日本国立感染症研究所证实,这名患者没有到过海外,被认为在日本国内感染,不过没有发现患者身上有明显的被蜱虫叮咬痕迹。患者入院时发热、呕吐、食欲降低、头疼,还出现了手脚乏力、血尿和黑便等症状,最终死亡。血液检查显示,患者白细胞和血小板数目大幅减少。
厚生劳动省30日向各都道府县发出指示,要求医疗机构一旦发现疑似患者,要提供相关信息,同时呼吁,为防止感染,在野外活动时要穿长袖衣服,避免被蜱虫叮咬,一旦被叮咬,要尽快就医。
发热伴血小板减少综合征致死率在10%至30%之间,目前尚无有效的疫苗和治疗方法。除被蜱虫叮咬外,接触患者的血液和体液也可能被感染。
中国最早在2009年左右报告有人因被蜱虫叮咬而罹患这一疾病,之后从长角血蜱和微小牛蜱体内发现了引发疾病的病毒。在日本国内,这两种蜱虫广泛分布在青森以南的山林原野中。(2013-01-31 10:01:01)
【延伸阅读】美国爆发数百例寄生虫感染 致病元凶仍不明(图)
据报道,此次美国大规模寄生虫病的感染源可能是环孢子虫。
中新网7月30日电 据美国媒体30日报道,近一个多月来,美国多个州发生寄生虫感染,超过300人感染,数十人入院,但目前美国食品卫生专家仍未发现此次寄生虫病的致病元凶。
据报道,这种寄生虫一个多月来已经在15州造成353人生病,联邦和各州食品卫生专家至今没有找到致病元凶。美国国家广播公司(NBC)称,调查人员已经将感染源集中到环孢子虫(cyclospora)身上。
爱荷华州流行病专家昆里斯克说,这种寄生虫会导致长期腹泻和其它病症,目前已经在五种蔬菜上找到它。但是她和联邦疾病防治中心(CDC)及食品医药局官员都没有说何种蔬菜引起这次疾病爆发。
昆里斯克说,他不能确定是哪一种蔬菜引起疾病爆发。负责调查的爱荷华州政府相关人士同样表示,不了解涉嫌引起寄生虫病蔬菜的清单。
食品安全专家批评称,医疗界没有尽快找到发病根源。明尼苏达大学传染病研究中心主任奥斯特霍姆(Osterholm)说,我们应当尽快知道结果,因为可能出现第二波寄生虫感染。
(原标题:英媒:中国男子食用受污染生鱼片 全身感染绦虫)