新浪新闻

吞寄生虫,用腐蚀液体洗脸,吃砒霜,英国女性超重口的变美套路

新浪新闻

关注

为了变美,女人能有多疯狂?

生吞寄生虫减肥?

在孕期穿紧身胸衣保持身材?

甚至服用砒霜来获得苍白病态的美感?

这就是在维多利亚时期(1837-1901年)的英国,每天都上演的真实故事。

你或许无法想到的是,在那个女王都超重的时代,英国人却对肥胖女性有着十足的恶意。

维多利亚女王照片

当时,很多学者有意将肥胖和愚蠢、懒惰联系在一起,在小说和戏剧中,胖女人也总是担任被羞辱的角色。为了避免自己沦为被攻击的一员,大部分英国女性将减肥视为终身任务。

追求纤瘦的英国女性

在饮食上,她们尽量不吃主食和油类食品(突然get到英国菜难吃的原因了),更有甚者,开启了“只嚼不咽”的假吃模式。

除了在“吃”上讲究外,她们在“拉”方面也考虑周全。那时的女性,还没什么健身减肥的概念。她们单纯地认为,只要多拉几次屎,就能减掉体内多余的脂肪。

在这种理念的操纵下,泻药成了家家户户必备的减肥良药。而在当时包治百病的灌肠(将液体从肛门灌入结肠的医疗方法),也成了一种减肥妙招。

灌肠操作图

不少英国贵妇一周至少灌肠两次,甚至有人嫌弃灌肠用的清水配不上自己尊贵的屁股,考究地挑选了牛奶、蜂蜜、矿物油等豪华套餐。从某种原理上说,灌肠虽然可以促进排便,但频繁地滥用,很有可能会破坏肠道粘膜,引发感染。

以上这些方法,虽然很不健康,但和下面绦虫减肥法相比,简直小巫见大巫。

所谓的绦虫减肥法:就是通过生吞绦虫,让绦虫吸取体内的营养物质,来达到减轻体重的效果。

维多利亚时期的绦虫减肥药

这种方法看似神奇,却十分的凶险。首先,绦虫是寄生虫的一种类型,雌雄同体的它们,完全可以通过自身的繁殖能力,大量繁衍子孙后代。吞下一只绦虫,等于吞下一个庞大的绦虫家族。

想象一下,无数只绦虫在体内疯狂蠕动,仅仅是想想,就令人毛骨悚然。

绦虫照片

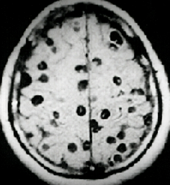
除此之外,绦虫在人体内随时能侵入皮肤和大脑,使人患上严重的皮肤疾病和精神病。但即便如此,减肥减到疯魔的英国女性,在了解到绦虫的危害后,依然以身犯险地尝试。

绦虫侵入大脑图

你以为减肥成功后,英国女人的身材革命就结束了吗?不,这些瘦得皮包骨头的女人,还需要将自己塞进窄小的紧身胸衣里,并用几十根丝带捆绑、固定。

艰难穿紧身胸衣的女性

在那时的英伦审美中,紧身胸衣的设计,可以打造出沙漏型的柔美曲线。但对于日夜穿戴胸衣的女性而言,这样的美却要付出惨重的代价。

紧身胸衣塑造的沙漏曲线

首先,紧身胸衣对身体的压迫感,就使她们无法剧烈运动,容易出现呼吸问题。那时的英国名媛,可能在晚宴上多跳几支舞,就会因呼吸不畅而昏迷。

而这些伤害已经算是比较轻微的了。我在著名学者克林格曼和吉布森的研究中发现,长期穿戴紧身胸衣的女性,有一定概率会出现骨骼变形和内脏移位,流产和不孕的风险也很大。

紧身胸衣造成的骨骼畸形和内脏移位

而令人毛骨悚然的是,那时的英国女性,几乎人人都穿紧身胸衣,甚至有不良商家为了多多敛财,向市场推出了儿童款孕妇款

除了对身材的严格把关外,英国女性在化妆和护肤上,也对自己相当狠辣。

为了使皮肤更显鲜嫩,她们用腐蚀性的氨水洗脸;

氨水实物图

为了让眼睛有水汪汪的质感,她们往眼球滴可能致盲的颠茄汁液;

颠茄实物图

为了拥有更白皙的肤色,明明是白种人的她们,还要一遍又一遍地往脸上涂有毒的白色铅漆。

涂抹铅漆的女性--出自电影《绝代艳后》

而铅本身是有毒的,长期涂抹铅漆,会使她们原本健康的皮肤变暗、长斑,还会引发神经衰弱、心脏衰竭等铅中毒症状。

即便如此,她们也不愿放弃立竿见影的铅漆,皮肤出了问题,她们就继续用铅漆掩盖,周而复始地重复这种恐怖的恶性循环。

除了外敷有毒物质外,英国女性还试过内服。在维多利亚时期,肺结核成了当时的流行疾病。爱美爱到极致的英国女人,竟然疯狂迷恋上了肺结核病人在濒死状态下的病态美感。为了获得这种不健康的美,她们定期服用有损肾脏的砷,还将有砒霜成分的药品作为小零食。

患肺结核前后的女子肖象

在英国女性的作死操作下,她们似乎满足了自己对美的虚荣心。在我查阅的资料中,当时的英国女性腰围平均在56 厘米左右,相当于是人均蚂蚁腰。而在同时期的油画作品中,我看到的英国女子,也多以白皙柔美的姿态展现于前。

姿态优雅的英国女性

与此同时,她们的寿命普遍不高,几乎没有人能活过60岁。排除环境和疾病原因外,造成这种结果的,或许和她们的变美骚操作有关。为了成为倾世红颜,爱美的英国女性付出了薄命的代价。

反观现在,依然有很多女生在审美内卷下,反复折腾自己的脸和身体。当然,我并没有干涉她们追求美的权利。

但我还是要提醒一下女孩们,审美是多元的,没有必要为了单一的标准伤害自己的健康。同时,我也希望你们考虑清楚,追求的美是为了取悦自己,还只是使身体成为装载美的容器。

加载中...