新浪新闻

新冠或能改变人类细胞基因组?专家解析其中原因与逻辑

一财网

关注

病毒影响细胞基因组实属正常,人类就是如此与病毒一起进化的。

近日,一篇于3月23日发表在《自然·微生物学》的论文由于认为“新冠病毒或能重组宿主的染色质结构”且称“感染后人体细胞的基因组结构可能会发生变化,这一变化此前从未在其他冠状病毒中发现”。这一结论引发业界关注。

该论文的撰写方、美国得克萨斯大学休斯顿健康科学中心科学家团队使用前沿方法,描述了感染新冠病毒后人类细胞内的染色质结构。

结论显示,新冠病毒会影响到宿主细胞的三维基因组和表观基因组。一方面,新冠病毒会使得正常细胞内许多原本结构良好的染色质会变形,例如一种名为a/B区的染色质结构的阴阳两部分会开始混合在一起;另一方面,新冠病毒也改变了染色质的化学修饰,这对基因表达和表型产生长期影响,且或与“长新冠”有关。

国内一位病毒学家告诉记者,很多病毒感染都会引起染色质结构的变化,但不同病毒感染所导致染色质结构变化的规律、机制有所不同。同理,染色质化学修饰的变化也是如此。但这些是否与“长新冠”有关现在还不能明确,这一研究是纯探索性的,与新冠感染及其临床意义还有很大一段距离。

新冠病毒对于人类细胞基因组的影响究竟意味着什么?“病毒影响细胞基因组实属正常,人类就是如此与病毒一起进化的。”上海交大医学院上海市免疫学研究所副所长李斌告诉第一财经,这类影响有正面也有负面,好在新冠RNA病毒不会整合到基因组中,这从长远来说,影响也会逐渐消失。

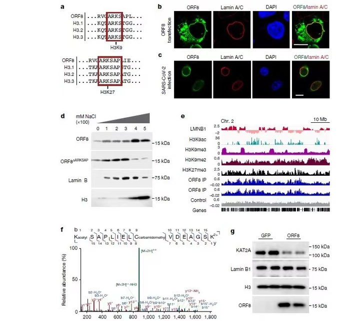
李斌称,并不只有新冠病毒会对细胞基因组产生影响,“此前《自然》杂志发表的来自宾夕法尼亚大学的研究认为,新冠病毒可以通过ORF8模拟人的组蛋白H3中ARKS,来扰乱表观遗传学翻译后修饰区域,从而抑制感染者免疫功能。”

中国科学院生物学博士李雷也表示,由于新冠病的入侵影响到三维基因组和和表观基因组,这会使得新冠病毒入侵后的干扰素反应基因被转录抑制,同时促炎基因的启动子被高度诱导,“也就是说,该病毒更容易产生感染。”

如何进一步解释染色质变形,以及改变其化学修饰?新加坡病毒学家陈广告诉记者,实际上人类细胞基因组是一直在变化中的,发烧、怀孕、生长、衰老等都会促使其发改变。

陈广还称,通俗来说,染色质本身就是柔性的,在有“外敌”倾入时(身体细胞)就会调动不同的资源,将染色质的不同位置解锁,以表达相应基因。

三维基因组和表观基因组将会如何变化?陈广说,DNA序列在细胞核里是二维结构,但在运动过程中,就会折叠而变成三维结构;也就是说,不论是感染与否,或者劳累一些、营养好一些,细胞基因组的三维结构不会保持形状不变,而是一直在变化中的。

而新冠病毒对于表观基因组的影响(包括破坏宿主细胞的表观遗传调控),陈广则表示,虽然这也并不意味着绝对不会遗传,但需要全面看待。第一,表观基因主要是对基因表达的影响,不是对基因本身的影响,对表型的影响也很小;第二,有许多因素其实都会影响到表观基因,例如来自益生菌、挨饿、锻炼等影响;第三,这可能是在新冠感染时期的影响,感染过了就又会恢复正常。

加载中...