面肌痉挛难忍受,微血管减压术来根治:綦江区人民医院成功开展綦江区首例微血管减压术
上游新闻
俗话说:“左眼跳财,右眼跳灾。”这实际上是面肌痉挛的初期症状。近日,重庆市綦江区人民医院神经外科团队为患有8年面肌痉挛的患者陈女士成功地实施了微血管减压术,目前,陈女士面部抽搐完全消失并顺利出院。
面肌痉挛(Hemifacial Spasm,HFS),又称面肌抽搐,是一种单神经病,主要指面部肌肉不自主的抽动。由于初期症状不明显,一般不会引起人们的重视,但经过一段时间的发展后,就会成为面肌痉挛,连动到嘴角,甚至连带颈部抽搐。它不仅使得患者面部不对称,影响美观,还会严重妨碍正常交流,造成抑郁,最严重的会造成面瘫和听力下降,为患者生活带来极大的不便。
患者陈女士,55岁,左侧面部抽搐8年,诊断面肌痉挛。8年来,面肌痉挛严重影响了陈女士的生活。其先后就诊于重庆市多家医院,予口服“卡马西平、面针针刺、肉毒素注射”等多种治疗后均无好转,于不久前求助于綦江区人民医院神经外科团队。通过麻醉科及神经外科团队的精诚协作,为陈女士成功地实施了微血管减压术,术后陈女士面部抽搐已完全消失,于近日顺利出院。陈女士对于神经外科团队给予了充分肯定,出院时赠送全体医护人员一面锦旗以表达感谢之情。
▲患者及家属赠送锦旗
据神经外科主任李栋良介绍,微血管减压术是医学界公认的根治面肌痉挛的方法,该手术技术成熟,风险较小,效果很好且立竿见影。简单地说,通过锁孔微创手术寻找到压迫面神经的责任血管,分离责任血管,插入一块垫片,从而实现对压迫神经的减压。该手术不仅可以根治面肌痉挛,也是治疗三叉神经痛的优先推荐方法。其优点在于,可在解除局部血管压迫的同时,保留三叉神经感觉传导的完好,也不会出现面部感觉的丧失。
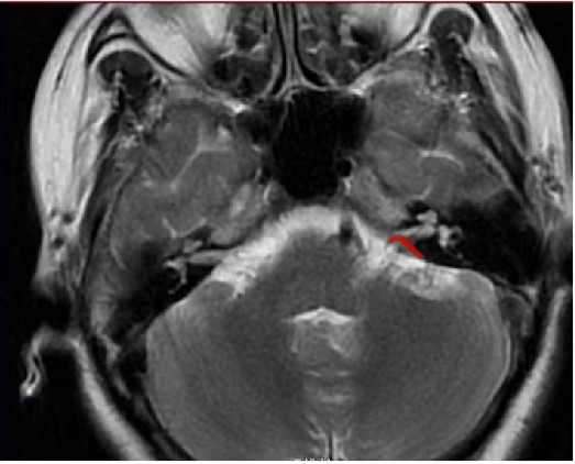
▲影像学检查(图片中标红部位为责任血管位置)
同时李栋良提醒广大患者:“特发性面肌痉挛一旦确诊,微血管减压术是首选治疗方法。通常药物治疗无效,局部注射肉毒素容易复发且可能造成不可逆的面瘫。”(文/徐晓月;图/綦江区人民医院)
》》》科室简介
綦江区人民医院神经外科是一个团结、和谐、创新管理、与时俱进的高效医疗团队。是渝南黔北区域内规模较大、技术领先的神经外科专科,处于区域领先水平,是重庆市区域重点学科建设单位,长江上游神经外科专科联盟成员单位、西部地区小儿外科联盟成员单位、国家临床药物试验基地(神经外科专业)、国家脑防委防治卒中中心核心科室。