年过五十,第一次胃肠镜体验,竟意外查出胃早癌
上游新闻
因为妻子胃有点不舒服,张先生(化名)陪同来院做检查。由于年过五十,却从没做过胃镜,他萌生了体验一次的想法,这一查,竟意外发现早期胃癌!
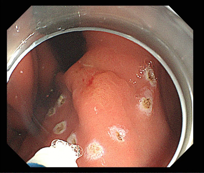
胃镜清晰视角下,张先生胃黏膜呈萎缩性胃炎表现,探查到胃角处时,有一小块黏膜发红
▲普通胃镜下观察病灶
内镜中心医生立即提高了警惕,结合染色、放大等精查胃镜技术仔细观察,初步考虑不排除早期胃癌可能性,随后取下局部组织,送病理活检。
▲精查胃镜下观察病灶
“就怕是癌,是癌就恼火了!”等病理结果的几天,张先生承受着巨大的心理压力。
不出所料,病理报告提示:低级别上皮内瘤变。消化内科主任凌贤龙教授团队结合诊疗经验判断,高度怀疑早期胃癌可能。
通过详细咨询凌贤龙教授,了解到胃癌发生、发展病程漫长:正常胃粘膜-浅表性胃炎-萎缩性胃炎-肠化生-异型增生-胃癌,约需要5-15年。早期胃癌只要及时发现并治疗,预后效果好,张先生心里这才踏实了。
超微创ESD手术,不开刀完整剥离病变
针对早期胃癌治疗,消化内科开展特色诊疗-内镜下粘膜剥离术(ESD)。
手术中,内镜中心医师在透明帽辅助下,电凝标记胃早癌位置,通过向粘膜层注射亚甲蓝和生理盐水,胃早癌组织像“水泡”一样高高鼓起,随后精细、完整地剥离胃早癌组织,最后通过止血钳电凝止血,手术顺利完成。
▲电凝标记
▲注射剥离
▲完整剥离
▲标本固定
完整标本活检证实,张先生的胃角病变为高级别上皮内瘤变。术后,张先生即可自行下床行走,3-5天后,进食逐步恢复。
“不幸中的万幸!再拖一两年,等胃有症状再就医,很可能就不是这个结果了。”张先生及其家人感慨。
▲复查时已完全愈合的手术创面
亲身经历后,张先生会经常跟亲朋好友分享胃肠镜的重要性,不少人因此去做了检查。
凌贤龙教授提醒大家:超过40岁,必须做一次胃肠镜检查!早筛查早发现早治疗,避免后期开刀和化疗,大大降低治疗费用,生活质量能得到充分保证,真正从各个方面做到“发现一例早癌,挽救一条生命,幸福一个家庭”。(文/周佳; 图/於常吉·消化内科)
科室简介》》》
重庆北部宽仁医院消化内科由凌贤龙教授牵头组建,医疗团队主要由原第三军医大学新桥医院、西南医院、大坪医院等大型教学医院主任医师、教授、高年资主治医师、护士长组成。
消化内科以消化道肿瘤早期诊疗、消化内科急危重症救治和肝脏疾病诊疗为重点发展方向,为广大消化道和肝脏疾病患者提供优质医疗服务。