新浪新闻

男子断掌超24小时成功再植 专家提醒:离断肢体需干燥冷藏保存

中国新闻网

关注

原标题:男子断掌超24小时成功再植 专家提醒:离断肢体需干燥冷藏保存

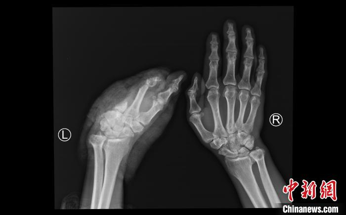
中新网成都8月26日电 (记者 王鹏)记者26日从四川省人民医院获悉,该医院骨科团队近日完成一例超高难度断掌再植手术——患者手掌因车祸离断超24小时,最终断掌被成功再植。目前经过术后两周的康复,患者准备出院。

该患者为55岁男性,西藏昌都人。8月9日下午,患者因车祸伤导致左手掌完全离断,因当地医院无再植医疗条件,经过初步处理后,采用疫苗冷链箱保存离断肢体,搭乘飞机于8月10日下午到四川省人民医院骨科急诊入院。

“一般断肢再植的最佳时机是伤后6-8小时,而该患者来院时离断肢体缺血时间已经超过24小时,且车祸伤导致的残端不规则,再植手术难度大,术后出现并发症的风险高。”四川省人民医院骨科主治医师肖成伟说,经科内讨论后,医护团队决定冒着风险,做一次尝试性再植,给患者一次机会。

经过积极的术前准备,在麻醉手术中心等相关科室的支持下,肖成伟团队很快开始了急诊再植手术。经过显微镜下长达6个半小时的奋战,一共吻合重建了3根动脉,6根静脉,5根神经,14根肌腱。8月11日凌晨2点,患者离断肢体恢复供血,再植手术获得初步成功。

术后一周后,再植肢体安全度过了术后发生血管危象的可能。目前再植肢体完全存活,其他功能也在逐步恢复中。肖成伟介绍,康复后患者虽然不能进行精细动作,但一般的生活自理没问题。

肖成伟提醒公众,万一在生活中遭遇意外导致肢体离断,必须特别注意离断肢体的保存方法:干燥冷藏。当肢体离断之后,一般情况用干净的纱布或者无菌敷料,把离断的肢体包裹起来以后,放到一个密封的塑料袋内,然后把密封的塑料袋放在装有温度特别低的冰或水的容器中。

8月26日,患者恢复良好,准备出院。 四川省人民医院供图

“低温的情况下,肢体代谢时间、细胞代谢时间会很长,组织缺氧时间也会延长,坏死时间往后延长,所以肢体低温保存特别利于手术的操作,必须冷藏。”肖成伟说,另外一方面肢体必须保持干燥,不可以把肢体放在盐水或生理盐水里,因为细胞组织在生理盐水当中,组织细胞会水肿,水肿之后会被破坏,“放在自来水或者消毒液中都不可以。”(完)

加载中...