新浪新闻

程序员左手酸疼7年,检查后医生竟说:你骨头里融成“豆腐渣”了......

深圳晚报

关注

原标题:程序员左手酸疼7年,检查后医生竟说:你骨头里融成“豆腐渣”了......

 “马医生,我仔仔细细在网上查了好久,我这手应该是电脑打多了累的,怎么检查报告上说骨头里长了好多东西呢?是不是你们机器出问题了?”

近日,30多岁的黄先生拿着自己刚拍好的X光片不解地问医生。

黄先生是一名从事IT行业的程序员,每天都需要长时间使用电脑、手机。早在7年前,他就发现自己的左手会莫名其妙地酸痛。

联想到同学群里,大家会不时分享类似症状和“鼠标手”“键盘手”之类的健康分享,他便想当然地认为自己也是普通的“键盘手”,没怎么在意。

其间,左手症状时好时坏,并逐渐鼓起个包。难受时,他就贴贴膏药缓解疼痛,倒也没觉得有大碍。

上周,黄先生在参加一个聚会时,左手不小心在饭桌上磕了一下。当时,一阵剧痛突然从左手传来,动动手指疼痛。不过因为没有特别加重,想着休息一下就能好。

可没想到,第二天一早,黄先生发现自己左手居然鼓了一个大包,手指完全不能动了,一动就是钻心的痛。担心不已的他,心急火燎地来到杭州市第三人民医院骨科就诊。

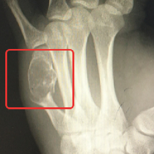
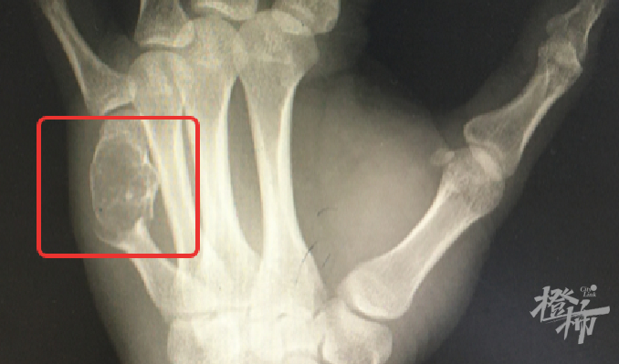
”这可不是一般的键盘手,你左手这根骨头里的东西,其实是内生性软骨瘤,它把你正常的骨头都‘融’成‘豆腐渣’了,所以骨头才会一碰就裂开,需要刮除肿瘤组织同时固定骨折的掌骨。”  杭州市第三人民医院骨科马伟副主任医师指着X片对黄先生解释道。

针对王先生的具体情况,骨科主任雷文涛带领团队采用系统性肿瘤灭活+自体髂骨重建内固定手术方式,圆满完成手术操作,目前王先生的左手恢复情况良好。

出现“骨性小包块”千万别轻视!

软骨瘤千万不能小瞧,任其发展的话,可出现大小不一的溶骨性病灶,(常呈膨胀样侵蚀皮质骨),会破坏骨质,导致骨头空洞,影响关节活动,最终会导致手指或者脚趾丧失活动功能。

那么,软骨瘤的症状有哪些?

1.40%-65%的单发内生软骨瘤好发于手部,然后是双足,也可累及肱骨、股骨和胫骨。发生于脊椎突向椎管内可引起截瘫。

2.关节周围肿块常为首发症状,一般无症状。肿瘤较大者压迫附近的肌腱、血管和神经时出现疼痛。当出现疼痛加剧就要警惕病理性骨折以及肿瘤恶变的风险。

3.多发性病者,身体矮小,畸形重者可有关节功能障碍。

雷文涛提醒,市民对于身体上发现的骨性包块应予以足够的重视,及时就医明确诊断并及时治疗。如果市民手部或者脚部的骨头有突然隆起的情况,一定要到医院检查!

“键盘手”如何预防?

日常我们所说的“键盘手”大多为脉管综合症、腱鞘炎等慢性劳损类疾病。纠正长期不正确的姿势是预防它的关键。

对于平时使用键盘较多的市民,雷文涛建议:

1.敲击键盘等重复性动作及错误手部姿势,都会增加患脉管综合征的风险。因此建议手腕尽可能平放,能触及实物,保持既不弯曲也不下垂的状态,不要悬空,并注意劳逸结合。

2.每间隔 30 分钟,需要停下来放松一下手指手腕,缓解疲劳。

3.可用热水泡手、局部按摩等方式缓解手指和手腕的疲劳。

/////

 这条新闻一出

立刻上了热搜榜第三

很多网友表示:瑟瑟发抖

—深小晚特选—

来源|深圳晚报综合(浙医在线、新浪微博)

编辑 | 陆楚一

加载中...