新浪新闻

新冠病毒是否来自美国?迄今为止最全面的线索来了!

新京报

关注

原标题:新冠病毒是否来自美国?迄今为止最全面的线索来了!

自我们《环球时报》受一批中国网民委托发起的要求调查美国德特里克堡生物实验室的联署活动吸引了2500多万人的签名后,一些坐不住的美国媒体开始纷纷跳了出来,说中国对于美国德特里克堡与新冠病毒来源有关的质疑,是“阴谋论”。

他们的理由是,中国方面的媒体和人员拿出来的证据,都是瞎编的,根本无据可查。同时,中国网络上也流传着不少虚实不清的内容,让人摸不着头脑。

因此,耿直哥今天就来展示一下我们从大量美国媒体的公开报道和学术论文中查询到的一系列有据可查的、并且会让你不得不对德特里克堡起疑的线索和事实。

01

巴里克和他的病毒改造技术

我们先从有“冠状病毒猎手”之称的美国人拉尔夫·巴里克说起。

根据巴里克所供职的美国北卡罗来纳大学的校办媒体的报道,此人已经对冠状病毒进行了“数十年”的研究工作,有“冠状病毒猎手”之称,而且他的工作还直接与治疗冠状病毒感染的药物与疫苗有关。

(来源:https://www.wunc.org/health/2020-05-25/meet-the-coronavirus-hunter-ralph-baric)

更重要的是,这位巴里克教授手上还掌握着一种通过“反向遗传技术”能改造乃至“增强”冠状病毒的技术。根据美国《麻省理工科技评论》杂志的报道,在这项技术的加持下,巴里克不仅可以依据冠状病毒的基因片段就培育出活生生的病毒来,还可以改造冠状病毒的基因,创造出新的冠状病毒,以探索这种病毒对人类的危害。

在2003年时,一篇有他参与发表的论文,就展示了这种技术的威力,成功复活了一个非典SARS病毒。

(来源:https://www.technologyreview.com/2021/06/29/1027290/gain-of-function-risky-bat-virus-engineering-links-america-to-wuhan/)

(https://www.pnas.org/content/100/22/12995)

后来,巴里克等人还就这一成果申请了专利,并于2007年获得批准,专利代号为US7279327B2。

(来源:https://patents.google.com/patent/US7279327B2/en)

这项独特的病毒技术,很快令巴里克成为了美国最顶尖的冠状病毒专家,他还凭借这一技术去全世界搜集各种冠状病毒的样本进行研究。按照美国《麻省理工科技评论》杂志的说法,这是因为他想复活和造出更多冠状病毒,以研制能对抗这些病毒的药物。

(来源:https://www.technologyreview.com/2021/06/29/1027290/gain-of-function-risky-bat-virus-engineering-links-america-to-wuhan/)

比如在2015年时,当中国武汉病毒所的科学家石正丽和她的团队从云南的蝙蝠洞里获得了几种冠状病毒的基因后,巴里克就找上了门,希望获得这些冠状病毒的样本进行研究。当时,石正丽也非常慷慨地将自己的发现分享给了巴里克,后者则在美国的实验室里用他的病毒改造技术造出了一种全新的、可以感染人类的冠状病毒。这一研究结果也于2015年发布在了国际学术期刊《自然》上。

(来源:https://www.nature.com/articles/nm.3985)

但掌握着这么多冠状病毒,更拥有改造他们技术的巴里克,也引起了不少人的担忧。他们害怕他的技术一旦不能妥善地应用,以及他拥有的病毒一旦泄露,就会造成可怕的后果。

比如美国NBC新闻网的地方频道WRAL就在2020年5月的一篇报道中指出,巴里克对于冠状病毒的研究在一些人看来是突破性的,但在另一些人看来则是鲁莽的,不计后果的。

(来源:https://www.wral.com/coronavirus/controversial-virus-research-seen-both-as-groundbreaking-reckless/19098107/)

更可怕的是,虽然全世界许多科学家都说,被人为改造过的病毒可能会留有痕迹,和自然界演化的病毒存在不同,但巴里克在2020年9月接受一家意大利媒体采访时却表示,他可以做到人为改造病毒却“不留痕迹”(这段请大家务必留意,我们后续会再提到这里)。

(图为巴里克2020年9月接受意大利媒体采访时表示他可以做出不留人为痕迹的冠状病毒,这段话也是那家意大利媒体报道此事的一个要点。来源:https://www.huffingtonpost.it/entry/e-possibile-creare-un-virus-in-laboratorio-senza-lasciare-traccia-la-risposta-dellesperto_it_5f5f3993c5b62874bc1f7339)

02

巴里克与德特里克堡实验室的关联

接下来,我们再来看看巴里克这位冠状病毒的“制毒专家”,与美国备受质疑的德特里克堡生物实验室的关系。

但我们需要先明确一件事,那就是德特里克堡其实是一个比较宽泛的概念,虽然这里主要是美军进行各类生物实验的场所,但德特里克堡内其实还有一些美国政府的科研机构。

而本文中我们主要涉及的,是德特里克堡内的美国陆军传染病医学研究院(以下简称USAMRIID),以及美国国立卫生研究院下属的美国国家传染病和过敏病研究所的一个科研机构,名为“综合研究设施”(The Integrated Research Facility,以下简称为IRF-Frederick)。

因为这两个机构都在从事涉及高危病毒和冠状病毒的研究,而且这两个机构还都与巴里克关系紧密。

先说USAMRIID方面,大量科研论文显示,巴里克曾与德特里克堡内的这家美军实验室进行过不少涉及冠状病毒的研究。比如一篇2006年的论文就显示,他们曾就非典肺炎开展过科研合作。

(注意下图中我们圈出来的那个叫Lisa E. Hensley的人,后面我们会具体谈到这个与巴里克关系不一般的人)

(来源:https://journals.plos.org/plosmedicine/article/authors?id="10".1371/journal.pmed.0030149)

又比如,来自2015年和2017年的多篇学术论文,亦显示巴里克与USAMRIID有科研合作关系:

(来源:https://covid19.elsevierpure.com/en/publications/toll-like-receptor-3-signaling-via-trif-contributes-to-a-protecti)

(来源:https://covid19.elsevierpure.com/en/publications/allelic-variation-in-the-toll-like-receptor-adaptor-protein-ticam)

甚至于美国军方的网站在2021年贴出的一篇文章还显示,巴里克在今年4月曾被USAMRIID请去发言,而且讲的内容恰恰就涉及冠状病毒的研究。

(来源:https://mrdc.amedd.army.mil/index.cfm/media/articles/2021/birx_bari_headline_annual_research_festival)

至于巴里克与德特里克堡内另一个研究高危病毒和冠状病毒的科研机构IRF-Frederick的关联,耿直哥在调查时发现了一份巴里克的个人简历,其中列出了一批巴里克曾经教导过的博士生,其中有一个名叫Lisa Hensley的女子。

此人之所以值得关注,不仅是因为她曾经是USAMRIID的科学家,并与巴里克多次有过合作(比如我们前面提到的2006年的那篇论文)——而且,根据德特里克堡所在的美国马里兰州弗雷德里克县的当地媒体《弗雷德里克新闻邮报》的报道,她后来还加入了IRF-Frederick,并担任起这家美国政府的科研机构的副主任。

(来源:https://media-speakerfile-pre.s3.amazonaws.com/documents/cc4e5e5d442320c20c7f76a0c3cadce51445358867.pdf)

(来源:https://www.fredericknewspost.com/news/health/follow-your-passion-top-ebola-scientist-combines-research-and-motherhood/article_e3b7452f-9252-5111-b44f-7f7a66d3270a.html)

同时,因为都在德特里克堡内,并且从事的都是高危病毒以及冠状病毒的研究,所以美国政府的IRF-Frederick与美军的USAMRIID,在人员和科研上都有着极为紧密的合作关系。

在人员方面,除了巴里克的学生、IRF-Frederick的副主任Lisa Hensley有在两家机构任职的经历,IRF的主任Connie Schmaljohn也是USAMRIID出身。

(来源:https://www.niaid.nih.gov/research/integrated-research-facility-leadership-scientists)

在合作方面,一篇2014年发布在《抗菌物和化学疗法(Antimicrob Agents Chemother)》期刊上的、涉及高危冠状病毒MERS的论文,就来自于这两个都在德堡内的实验机构的合作。这篇论文研究的内容涉及MERS病毒。当然,双方这样的合作还有很多。

(来源:https://www.ncbi.nlm.nih.gov/pmc/articles/PMC4136000/)

而巴里克拥有的那些丰富的冠状病毒“资源”以及改造和创造冠状病毒的“技术”,也就通过这些合作和人脉,被广泛用在了德特里克堡内。

比如2018年美国《自然》杂志上的一篇论文就显示,来自IRF-Frederick的一位名叫Lisa Torzewski的研究人员,就用被修改了基因的MERS病毒感染了猿猴,以进行相关研究。这一研究同时还有巴里克本人的参与。

(来源:https://www.nature.com/articles/s41598-018-28900-1)

03

差劲的实验室安全记录

然而,不论是IRF-Frederick还是USAMRIID,这两个在德特里克堡内研究包括SARS和MERS在内的,危险冠状病毒的美国官方和美军科研机构,却都存在着差劲的实验室安全记录。

先来看IRF-Frederick的情况。美国《弗雷德里克新闻邮报》一份2014年的公开资料就显示,IRF-Frederick虽然号称有着安全等级很高的BSL-4生物实验室,也就是我们国内所说的P4实验室,但仅在2014年一年,这里就出现过多起实验室安全事故,而且一些事故还直接涉及MERS这样的高危冠状病毒。

同时,IRF-Frederick的其他较低安全等级的实验室,也同样被曝出存在实验室安全问题。

(来源:https://bloximages.newyork1.vip.townnews.com/fredericknewspost.com/content/tncms/assets/v3/editorial/7/87/7874b5b2-92b9-11e4-bc44-5b2aa5246268/54a6f8646aa25.pdf.pdf)

而美国NBC新闻网下属的地方媒体WKYC在2016年7月的一篇报道还显示,IRF-Frederick的实验室在2015年还发生过一次涉及埃博拉病毒的安全事故。

(来源:https://www.wkyc.com/article/news/nation-now/hundreds-of-safety-incidents-with-bioterror-germs-reported-by-secretive-labs/95-260948697 )

再来看美军的USAMRIID。我们都知道,在2019年秋季新冠疫情爆发前夕,美国德特里克堡曾经发生过严重的安全事故,甚至令美国疾控中心一度叫停里那里的活动,此事涉及的正是美军的这个USAMRIID的实验室。

其中,根据《弗雷特里克新闻邮报》2019年11月23日的报道,这些安全问题中,除了被媒体广泛报道的实验室废水处理系统存在问题,其BSL-3和BSL-4这两个从事高危病毒研究的实验室,也被发现存在严重安全隐患,未能按照规定做好防护工作。

(来源:https://www.fredericknewspost.com/news/politics_and_government/military/cdc-inspection-findings-reveal-more-about-usamriid-research-suspension/article_6d1d316e-4989-5307-924c-8608c25ef6f7.html )

另外,就连指导德特里克堡这两个科研机构病毒实验工作的巴里克,他在美国北卡罗来纳的实验室,也存在许多安全问题,而且这些问题有不少都与冠状病毒直接有关。北卡罗来纳大学的相关年报和美国媒体ProPublica都有详细的报道:

(来源:https://www.propublica.org/article/here-are-six-accidents-unc-researchers-had-with-lab-created-coronaviruses)

(来源:https://ehs.unc.edu/about/ar/2018-annual-report/)

04

新冠疫情溯源与巴里克、美国实验室存在的关联与其他疑点

那么,通过前面三个分标题下给出的大量有据可查的,且来自美国主流信源的信息,我们可以得出以下结论:

1.巴里克和他危险的冠状病毒改造技术,正被广泛引用在美国德特里克堡内IRF-Frederick和USAMRIID这两个官方和军方病毒实验室的科研项目之中。

2.但应用这些危险病毒技术的IRF-Frederick、USAMRIID乃至巴里克自己在美国北卡罗来纳的实验室,都存在不良的安全记录,而且都直接涉及从事最危险病毒研究的BSL-4实验室。

当然,仅凭这些去质疑美国和新冠病毒的关联,是不够的。外国人也不会信服。有些人甚至会说:新冠疫情最先是在中国武汉发现的,而不是在美国,所以你们质疑美国的实验室,就是阴谋论。

所以,耿直哥接下来还将拿出许多有据可查的,来自美国、西方以及中国主流信源的信息,来告诉大家为什么美国可疑。

首先,那些说新冠疫情在武汉最先被发现,所以新冠源头就在武汉的说法,是错误的。

因为大量学界的研究已经反复证明,虽然武汉的华南海鲜市场是新冠疫情最先爆发的地方,但这里乃至武汉,并不一定是新冠病毒的源头。中国著名的钟南山院士也曾表示,新冠疫情在武汉爆发,并不代表病毒源头就在武汉。

至于原因,中山大学生命科学学院教授吴仲义今年8月在接受《环球时报》采访时就曾表示,在新冠疫情暴发前,相关病毒就已经在野生动物和人群中经历了反复的互相感染,并在这个过程中逐步积累了适应人体的突变。在入侵人间的过程中,病毒屡败屡战,直到演化成今天这种极其适应人群传播的状态。

换言之,新冠病毒在把武汉闹得天翻地覆之前,其实是由某个还未被我们找到的冠状病毒,变异而来的。所以在武汉的疫情被发现前,新冠病毒的这个前身,就可能已经存在于包括美国在内的世界其他地方了。而且,新冠病毒本身有是潜伏性的,其前身恐怕也是这种情况。这也是病毒的溯源工作往往极为艰难,甚至可能会出现颠覆性结论的原因。

但吴仲义教授所说的,其实是病毒在自然界的一个演化过程。可如果这个演化过程,被“人为加速”了呢?比如,原本某一个冠状病毒需要30年才能进化成为新冠病毒。可倘若巴里克这样的“制毒专家”,或是与他有合作关联的美国德特里克堡里的USAMRIID或IRF-Frederick的实验人员,用他的技术有意或无意地加速了这个过程,导致这个冠状病毒在几天里就完成了原本28年或29年才需要完成的进化呢?

耿直哥还专门就这一问题咨询了许多中国的病毒学家,他们都表示这并不可能,因为人为改造的病毒“一定会有痕迹”。

可当耿直哥告诉他们,巴里克在2020年9月接受意大利媒体采访时,明确说过他改造冠状病毒可以不留痕迹后,其中一位专家给出的回应是:“也许他的水平‘太高了’……”

(注:出于不愿意公开评价同行的原因,耿直哥应这些专家要求给他们进行了匿名处理)

(图为巴里克2020年9月接受意大利媒体采访时表示他可以做出不留人为痕迹的冠状病毒,这段话也是那家意大利媒体报道此事的一个要点。来源:https://www.huffingtonpost.it/entry/e-possibile-creare-un-virus-in-laboratorio-senza-lasciare-traccia-la-risposta-dellesperto_it_5f5f3993c5b62874bc1f7339)

其次,除了巴里克和德特里克堡的那层关联,美国还有三个主要的疑点:

1、美国在2019年新冠疫情爆发前夕,曾经出现过一轮神秘的、大规模的“电子烟肺病”。耿直哥查询了大量公开文献后发现,虽然这些人中确实有人是使用了有问题的电子烟而导致了肺部的损伤,但也有一些刊登在诸如《柳叶刀》等国际主流学术期刊和媒体上的文章表示,区分“电子烟肺病”和后来被发现的新冠肺炎是有“难度”的,因为两者的一些症状很“相似”,会导致诊断上的困难。

(图为美国《纽约时报》在2019年9月对美国所谓的“电子烟肺炎”的报道,称这种疾病“很神秘”,来源:https://www.nytimes.com/2019/08/31/health/vaping-marijuana-ecigarettes-sickness.html)

(来源:https://www.thelancet.com/journals/lanres/article/PIIS2213-2600(20)30450-1/fulltext)

(来源:https://www.medpagetoday.com/pulmonology/smoking/90294)

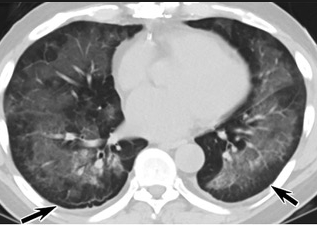
更值得注意的是,有之前应对过武汉新冠疫情的中国权威肺病专家,在查阅了60篇涉及美国“电子烟肺病”病例的研究论文,并对其中142位电子烟肺病患者的250张肺部影像图片、临床信息以及文献原文进行了仔细全面的研究后,发现这些病例中有16个更有可能是新冠肺炎的“疑诊患者”,有5个临床症状和治疗情况相对完整的患者,还被这些专家认定为了“中度可疑”。另外,这16个病例中有12个病例的发病时间,都在2020年以前。

(这4张图,是专家怀疑被误诊为电子烟肺病的其中一个病例的肺片。专家表示,他们不是仅仅通过一张影片做判断的,而是通过这4张涵盖了这名病例肺部多天变化情况的影片进行的研判,认为该病例的病程进展跟新冠更为相似)

所以,会不会在2019年所谓的“电子烟肺病”爆发的同时,美国就已经出现了新冠肺炎或当时还是“不明原因的肺炎”,但被误诊了呢?这个可能性,在无法看到调取美国全部电子肺病原始病例的情况下,是无法被排除的。

2、耿直哥检索了美国社交媒体上大量发布于2020年前半年——也就是美国新冠疫情刚开始爆发那会儿的贴文后,发现有许多来自美国或与美国有密切关联国家的人,表示他们早在2019年11月左右,自己或者别人就已经感染了疑似新冠病毒的疾病,因为感染者当时出现了与新冠肺炎极为相似的症状。

而且,这些人都不是什么水军机器人,而是实实在在的外国网民:

但由于这类网民实在太多,仅耿直哥找到的就有不下200人,所以这里就不全部列出了。

3、在今年6月时,美国《华盛顿邮报》一名与美国情报部门关系紧密的记者,曾撰文宣称美国国会怀疑2019年的武汉军运会期间是新冠肺炎开始传播的时间,因为有很多从军运会回来的西方国家的运动员,都表示自己得了疑似新冠肺炎的病,并要求以此调查武汉。

(来源:https://www.washingtonpost.com/opinions/2021/06/23/congress-wuhan-military-games-2019-covid/)

英国有媒体也表示,当时参赛的法国运动员回国后就表示自己得了“奇怪”的病。

(来源:https://www.mirror.co.uk/news/uk-news/french-army-returned-wuhan-military-21988912)

可倘若美国的电子烟肺炎中存在被误诊的新冠肺炎患者,再加上前面我们提到的早在10月就已经出现在美国的疑似新冠肺炎的患者,那么是不是美国在武汉军运会上将新冠病毒传给了其他国家,就确实值得怀疑了。

甚至于,美国政府通过《华盛顿邮报》放风说要调查武汉军运会,会不会是一种“倒打一耙”呢?

05

要求去美国进行溯源调查,是合情合理的,不是阴谋论

至此,我们不仅知道巴里克拥有危险的冠状病毒资源、改造这种病毒的技术,以及这些技术和资源被用在了实验室安全性不佳的北卡罗来纳实验室以及德特里克堡的IRF-Frederick、USAMRIID两个科研机构中,我们还发现美国的电子烟肺病中可能存在被误诊的新冠肺炎感染者,美国11月前后甚至10月就出现了疑似新冠肺炎的感染者,以及这些感染者可能通过武汉军运会将病毒带给了中国乃至全世界等诸多疑点。

我们甚至还无法排除巴里克或是他的合作伙伴是不是有意或无意地“加速”了某种冠状病毒进化到新冠病毒的时间。

如果用一个更加直观的图片来展现,那么美国相关人员和机构与新冠病毒的关联与疑点,就是这样的:

(制图:耿直哥,三缺二)

因此,基于上述这些情况和疑点,怀疑美国和新冠疫情有关联,要求世卫组织去美国进行溯源调查,调取巴里克在美国北卡罗来纳的实验室,以及与他有紧密合作关系的德特里克堡内的IRF-Frederick和USAMRIID的实验室原始记录,查清这些人和机构是否存在与新冠病毒的关联,以及要求美国拿出电子烟肺病的原始病例,就都是合情合理的要求,是对真相的探索,而并非是阴谋论。

同时,从预防下一场大疫情到来这个角度来看,如果实验室安全性是这方面工作的一个重要组成部分,那么世卫组织也应当组织独立于美国地缘政治影响的国际学者、实验室安全人员以及生化武器调查人员,去调查德特里克堡内的IRF、USAMRIID以及巴里克在北卡罗来纳的实验室,以确保这些安全记录不佳的实验室不会惹出新的疫情。

而且,鉴于世卫组织2021年初已经来中国调查过一圈,包括武汉病毒所,那么出于公平性,世卫组织也理应该去美国调查一下了。

否则,世卫组织该怎么服众呢?面对2500万中国和世界网民发出的呼声了,你们能视而不见吗?

加载中...