持续腹痛,竟是肚子里长了个“茧”!这种病叫“腹茧症”
新民晚报新民网
原标题:持续腹痛,竟是肚子里长了个“茧”!这种病叫“腹茧症”
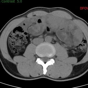
图说: 李先生入院腹部CT 采访对象供图(下同)
持续腹痛,进食梗阻1年,“元凶”竟是肚子里长了一个“茧”!近日,上海交通大学医学院附属仁济医院刘颖斌团队为一名罕见“腹茧症”患者李先生(化名)抽“丝”剥“茧”,成功为其施行了高难度的复杂肠粘连松解术和小肠排列术,彻底解决了一年多来反复折磨他的腹痛和梗阻症状。
去年4月,李先生突发腹部剧痛,停止排气排便,反酸呕吐,并且反复持续发作。他曾多次前往当地医院急诊行胃肠减压、口服泻药、灌肠通便、补液等对症支持治疗,但反复持续发作的腹痛让他连正常进食进水都成了奢望,半年内,他的体重从160斤骤降到100斤,十分虚弱。
图说:刘颖斌医生(右)与高钢龙医生(左)在手术中
辗转多家医院求医,由于李先生的肠粘连程度重、手术风险大,多家医院均无治疗条件。抱着最后一丝希望,李先生来到仁济医院南院区普外科刘颖斌团队求治。
南院区普外科检查及会诊后发现,患者左下腹有一个25*20cm的硬质包块活动度差,有局限性压痛、反跳痛;CT检查显示小肠系膜纠集,周围线状包裹,提示“腹茧症可能,伴小肠不全梗阻”;患者肿瘤标志物、结核指标、自身免疫指标、胃肠镜等检验检查均为阴性。经讨论后,大家一致认为,造成李先生呕吐、腹痛、停止排便的“元凶”是腹茧症,患者小肠被纤维包膜层层包裹,失去蠕动的功能,因此演化为不完全性粘连性肠梗阻。手术剥离肠管外周增厚的纤维膜是解除梗阻、恢复正常进食的唯一途径。
“腹茧症”是一种罕见的腹部疾病,术前诊断率仅4.6%。该病通常是因为先天畸形、结核、恶性肿瘤、自身免疫反应、腹膜炎史、腹腔内灌注化疗、腹膜透析、病毒感染、某些药物作用等因素,使腹腔内纤维蛋白渗出增多,在小肠部位形成纤维性包膜,使肠管间发生粘连簇拥,形成腹部包块,导致机械性蠕动障碍、消化吸收功能受损。患者因此反复发作腹痛腹胀、呕吐便秘等不适。因为包块外观犹如蚕茧,故被形象地命名为“腹茧症”。
近日,经过周密的术前准备,刘颖斌主刀、副主任医师高钢龙担任一助,在麻醉科的配合下,为患者实施手术治疗。打开腹腔后,一个巨大的“茧”出现在手术团队的眼前。只见一个白色韧性蚕茧状包膜完全包裹了小肠,肠壁与包膜致密粘连,肉眼很难分辨肠管、血管等组织的走向,上段小肠及十二指肠扩张梗阻明显。这让手术难度陡然提升,稍有不慎即有出血、穿孔的危险;而由于纤维包膜完全遮蔽正常组织,因此一旦失误,止血、修补也并非易事。刘颖斌带领团队细致操作,一点点将纤维包膜整个剥离,使肠管恢复至正常的解剖位置,重获蠕动的能力。患者出血极少,最终顺利完成整台手术。术后,李先生逐渐恢复了正常饮食和排便,对医疗团队的感激之情溢于言表。
刘颖斌主任介绍,腹茧症是一种罕见的腹部疾病,术前诊断率非常低,通常都需要剖腹探查才能确诊。术前腹部X线常提示肠梗阻,小肠钡剂造影与CT可确诊。术后病理往往为纤维结缔组织。若存在肠梗阻反复发作的情况,则需手术切除包囊壁、松解肠间粘连和行肠排列术,使无序粘连转为有序粘连,减少肠梗阻再次发生。同时患者出院后应定期随访,关注有无呕吐腹胀、停止排气排便的症状再次发生。
新民晚报记者 左妍