新浪新闻

新生宝宝肚子外“挂”着……这病男宝宝多发!

新闻夜航

关注

原标题:新生宝宝肚子外“挂”着……这病男宝宝多发!

“产科医生已就位,手术在8点半开始,一般下刀几分钟左右宝宝就出来了,请各科提前到手术室准备······”

“收到,已在准备抽血打针相关物品!”

“13房麻醉医生、配合护士已在准备等待宝宝!”

“新生儿科医生护士正在赶往手术室······”

“检验科随时准备接受标本第一时间处理。”

“如需监测宝宝肝脏血流动力学变化,超声科医生随时待命!”

“医政处已帮忙协调新生儿快速办理入院。”

原本待在宝宝腹腔内的肝脏,却“偷跑”出来。记者4月9日从广州中山大学附属第六医院获悉,该院8个学科10余名医护人员通力合作,为一例先天畸形“脐膨出”婴儿完成腹壁缺损关闭术,使得肝脏“回归正位”。宝宝转危为安,目前已能自主呼吸,正常吃奶瓶,生命体征稳定,目前已出院。

产检显示胎儿的肝“偷跑”出来 

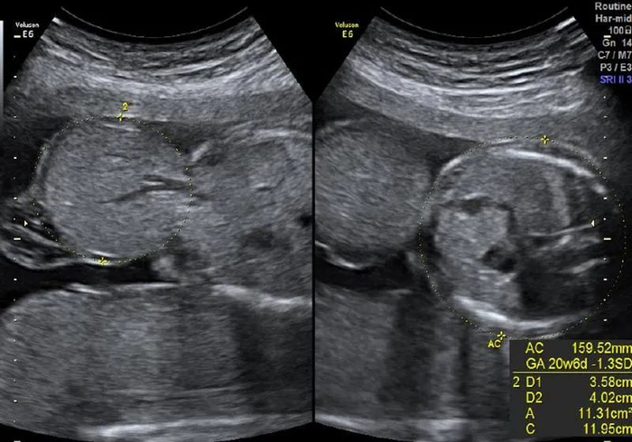
去年9月,黄女士历尽艰辛终于怀孕了。在她憧憬成为母亲的美好未来之时,超声筛查的结果却给了她当头一棒:III级超声检查结果显示,胎儿脐膨出,突出物大小35毫米×36毫米×36毫米

脐带腹部入口处低回声包块,13毫米×12毫米×12毫米,考虑胎儿脐膨出声像。

超声检查结果显示胎儿“脐膨出”,且内容物为肝脏,虽然膨出不算非常罕见的先天性畸形,但是如果肝脏跑出来了,就有可能是腹裂了,预后会差很多。

黄女士和丈夫非常焦虑,他们不愿放弃来之不易的宝宝,但又担心宝宝将来会发生更严重的问题。

“产前筛查发现胎儿结构畸形是产前诊断的指征,虽然超声产前诊断没有发现其他异常,建议羊膜腔穿刺采集羊水标本进行染色体核型分析和基因芯片检查,还是要排除染色体异常的可能。”中山六院产科高羽主任为黄女士夫妇做了详细咨询,并告诉夫妻俩现在的手术技术与新生儿监护水平的提高,脐膨出的宝宝通过手术有很高的治愈率,并且孕期会密切观察宝宝脐膨出的变化,到孕晚期会组织多学科会诊为宝宝制定治疗方案

高羽主任的一番话给了黄女士信心,她选择继续在中山六院产检。孕27周时,超声显示,宝宝其他方面发育良好,但脐膨出的大小已经达到45毫米×46毫米×44毫米(约为成年人拳头大)。

八科会诊,一出生就做手术补洞

在黄女士孕36+5周时,她按计划入院待产。产科组织影像科、超声科、小儿外科、新生儿科和麻醉科等八个学科的专家进行会诊,讨论一致认为,脐膨出最佳的治疗方法是通过手术关闭腹壁缺口,且患儿生后尽早手术预后更好,能够降低麻醉难度与风险。

中山六院小儿外科主任王德娟主任医师做过多例脐膨出手术,经验丰富,但像黄女士宝宝这么巨大的脐膨出还是第一次碰到。王德娟主任一边画图一边耐心仔细讲解手术方案。

王德娟主任为黄女士夫妇推荐了三种方案,但具体的方案选择还要看宝宝出生时的情况,看到王主任为夫妻俩画出的方案图,黄女士夫妇决定放手一搏,签字要求只要宝宝出生后的情况允许,就按第一种方案进行手术,即出生后立即行腹壁缺损关闭,一步到位。

手术日选在黄女士孕37周+5天。当天上午8:30,医疗团队严阵以待,产科高羽主任切下手术第一刀。为保护宝宝脆弱的腹部,手术采用了非常规的协助胎儿背部优先娩出的方式,成功的避免了脐部受压。仅5分钟就协助娩出重3330克的男宝。

宝宝肤色红润,哭声响亮,如果没有腹壁上那个硕大的球形肿物,他跟普通的新生儿没什么区别。

小儿外科医生立即查看新生儿,确认可以按第一种方案进行手术。在充分考虑新生儿全身麻醉的难度和风险后,由中山六院麻醉科靳三庆主任和赵阳副主任亲自操作,顺利地为宝宝完成了最危险的气管插管和麻醉。

当王德娟主任将膨出物表面的脐带组织分离后,发现由于膨出物巨大导致关闭腹壁缺口成为手术操作中的一个难点。她们并没有惊慌,而是巧妙地通过自体筋膜皮瓣移植解决了这个问题。同时,考虑到术后可能出现的腹胀,特意采用了减张缝合方法缝合腹部皮肤。经过1个多小时细致入微的手术,黄女士和宝宝两人都很顺利,这时在场的每个人才敢稍微松口气。

行百里者半九十,“由于宝宝腹腔容积比较小,将外部裸露的肝脏回置后,会对他的心肺等造成压迫,可能导致心率下降、呼吸困难等问题。”宝宝术后的恢复才是关键。

术后宝宝转到新生儿科,为了减少术后对宝宝肺的影响及促进腹部伤口的愈合,宝宝需要禁食与有创呼吸机辅助通气接近一周的时间。在儿科肖昕主任和新生儿科郝虎主任团队的监护下,宝宝在出生后第6天成功脱离呼吸机,生命体征保持稳定。然而,宝宝还面临营养的挑战,因为存在手术及膨出物塞回后对肠道的影响,极易出现消化不良、腹胀甚至肠梗阻等风险。

宝宝住院期间,新生儿科医护根据宝宝状况每日缓慢增加奶量同时调整静脉营养,终于在生后第14天,宝宝摆脱了静脉营养,通过肠道营养平稳地满足自身需要。

脐膨出多发男胎,一出生就要手术

中山六院小儿外科王德娟主任介绍,脐膨出(omphalocele)又称脐突出、胚胎性脐带疝,为先天性腹壁畸形。因为胎儿期脐及腹壁组织发育障碍而使腹腔脏器疝入脐带的外膜造成。出生时肠的一部分通过脐部腹壁上一缺损而突出;突出的肠只覆盖着一层由羊膜和腹膜组成的透明薄膜。

这种先天畸形在新生儿中的发生率为1/3,200~10,000,男孩较多见,病因目前尚不清楚。典型的脐膨出畸形表现为腹部中央脐带处有透明的囊,内含物为小肠等腹腔脏器,囊壁一侧与腹壁皮肤连接,囊壁的另一侧延续为脐带外膜。巨型脐膨出可在腹部中央突出如馒头样的肿物,脐带连接于囊膜的顶部,囊内容物除了小肠、结肠之外,还有肝脏、脾、胰腺甚至膀胱等。脐膨出的患儿需要立即手术,否则会出现局部皮肤破溃、坏死、感染,威胁生命,重者可致患儿死亡。

加载中...