新浪新闻

罕见!广西1岁女婴肚皮有小肿块,B超结果:腹膜长了畸胎瘤

南宁晚报

关注

原标题:罕见!广西1岁女婴肚皮有小肿块,B超结果:腹膜长了畸胎瘤

广西柳州的慧慧(化名)小朋友今年1岁,出生以来身体一直很健康,直到最近妈妈给她洗澡时,无意中摸到她的肚皮上有个小“肿块”。

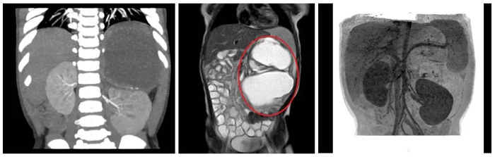
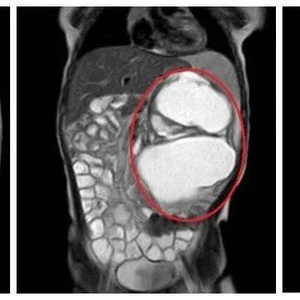
细心的妈妈赶紧带着她到柳城县妇幼保健院检查。B超结果显示,慧慧的肚子里长了一个约14cm×8.5cm×10cm的肿瘤,大小如同一个小苹果。

这可把慧慧妈妈吓坏了,孩子肚子里到底长了啥?!

医生告诉慧慧妈妈,根据检查结果来看,考虑孩子肚子里的是巨大畸胎瘤的可能性较大,当地医院没有很好的治疗手段。在医生的建议下,慧慧很快转诊至柳州市妇幼保健院小儿外科做进一步治疗。

什么是畸胎瘤

畸胎瘤是人体幼稚生殖细胞发生变异而形成的肿瘤,常发生在卵巢,其次是在睾丸,此外还可以发生在纵隔、骶尾部、腹膜后等部位。

畸胎瘤的瘤体内可见皮脂、毛发、骨头、软骨甚至牙齿、眼珠,肌肉、脑等组织。由于这些组织成分与人体正常组织成分十分相似,有点像发育畸形的“胎儿”,故此得名。

“年龄这么小,却在腹膜长了这么大一个畸胎瘤,这样的病例是非常罕见的。”医院安慰慧慧妈妈,畸胎瘤良性率为90%,但在发现后应该尽快切除,否则随着年龄的增长,转为恶性的几率会逐渐提高。

肿瘤占据腹腔大部分空间

需要尽快手术

“慧慧的肿瘤很大,已经占据了腹腔很多空间,如不及时处理,会压迫邻近脏器。如瘤体压近消化道会出现肠梗阻;推挤膈肌会出现呼吸困难;如与消化道相通时可出现瘘,瘤体还可发生感染引起感染症状。”

听了专家的中肯建议后,慧慧妈妈同意尽快给孩子做手术。

肿瘤挤压腹腔脏器移位

手术成功

肿瘤有1斤重

经过术前充分的准备,医生们很快为慧慧安排手术。

慧慧的小肚皮不过排球大小,而肚子里的肿瘤,几乎占据了腹部的大部分位置,把肠子都挤到了右侧腹部,把左肾挤到右下腹,把脾脏推向左上腹部。肿瘤周围遍布重要脏器及血管。

手术医生小心翼翼地分离肿瘤周围的组织,离断了供应肿瘤组织的血管,既要完整切除肿物,避免损伤瘤体包膜破裂,防止种植转移的发生,又要特别小心避开周围的重要脏器及血管。加上慧慧还是个小宝宝,脏器血管都极为稚嫩脆弱,医生们的动作缓慢轻柔,手术过程如同在嫩豆腐上绣花,难度非常大。

1个多小时后,慧慧肚子里的肿瘤被完整剥离、切除,离体后肿瘤重约1斤重。

术中切除的巨大肿瘤

术后,病理结果提示为成熟型囊性畸胎瘤,在医务人员的精心照料下慧慧很快康复出院。

有这些征兆,家长千万别忽视!

对任何肿瘤来说,都是发现得越早越好,但是孩子一般不像大人一样每年定期健康体检,加上他们病情诉说能力较差,对疼痛的敏感性也不如大人强,因此往往需要对孩子仔细观察才能发现,比如较小的腹部肿块,多是父母为孩子洗澡或睡前按摩是发现的。

正因为此,孩子出现以下症状须高度警惕:

1.持续低烧。一般感冒、肺炎发烧,几天就会好。但是,倘若不明原因发烧持续1周以上还不好,特别是经抗病毒、抗生素治疗无效的,应及早就诊。

2.淋巴结肿大。淋巴结肿大长时间下不去,脖子上有很多淋巴结,或淋巴结短时间增大,要警惕肿瘤可能。

3.可触及的肿块。在孩子颈部、腋下、腹股沟、腹部、后腰部等一旦发现肿块,须查明原因。建议家长在孩子睡觉后,抚摸其全身,若哪儿都软平,就没问题,一摸到疙瘩或硬块,要小心。

4.疼痛。较长期的持续性或间歇性的疼痛,如头痛、腹痛、关节痛等,必要时拍片检查。

5.腹胀、呕吐。肠道肿瘤可能引起肠道梗阻,出现肚胀、呕吐等消化道症状。

6.眼球前凸、眼睛疼。眼部的一些肿瘤,可能导致眼部不适。

7.贫血、出血。有不明原因的面色苍白或出血,包括牙龈出血、皮肤有出血点或瘀斑,可化验血排除白血病等。

儿童肿瘤自查方法

罕见!广西1岁女婴肚皮有小肿块,B超结果:腹膜长了畸胎瘤

儿童肿瘤洗澡自查方法:洗澡时按部位擦拭,同时顺便摸查全身。主要顺序可按三条线:头颈上肢,前身下肢,后身会阴。或按八字诀的顺序:头颈肩臂腹腿背阴。家长的手指并拢,边涂肥皂边在孩子的皮肤表面触摸。从头部到会阴、四肢、指、趾,每次洗澡顺序不乱不漏。每次必查全套,养成固定习惯,以免漏掉某处隐蔽性肿瘤,既洗得干净,又摸得全面。正常淋巴结为可活动、无痛的、小豆形、不坚硬的皮下颗粒,长圆扁形如蚕豆,最长径一般不超过1厘米。

睡眠摸肚脐检查:小儿熟睡仰卧位。家长右手五指并拢,以掌面轻按肚脐。慢慢向深层压下,达到脊骨,可感到有脉搏跳动。一般小儿不特殊肥胖、腹不胀,都能摸到清楚的跳动,并且能摸出一小段血管的粗细与方向。经验不足的检查者可以耐心反复多查几遍,同时与孩子的腕脉对照,多次实践不难掌握。

检查的注意事项:

1、腹部有无肿物。小儿腹部容积很小,任何部位一个鸡蛋大的肿物都能把腹壁顶起,都可能使你摸不到脊骨前的跳动。事实上,腹内肿瘤也多位于脊柱两旁。摸到清楚的跳动,至少说明腹内没有大瘤。

2、腹内有无肿胀。肚脐到脊柱之间有很多器官和组织,任何肿胀,包括肠管、系膜、腹壁皮肤失去弹性柔软,都会使你摸不清脊柱前的跳动。

3、腹部有无紧张感。腹部任何压痛,都会引发自然的腹壁紧张反射,阻止你摸到脊柱。摸到清楚的脉搏,说明腹内无重要器质性病变。

↑摩擦孩子的头皮,一点一点向下滑,目的是检查孩子头皮有没有异常凸起或包块,检查完头皮,也不要忘了检查一下耳朵后面。

↑从后往前慢慢揉,孩子的脖子柔软,如有小包块是很容易检查出来的。

↑用相同的手法平移,慢慢向旁边推进,可以稍微用点力。

↑握拳慢慢往下移动检查,每一根手指和脚趾都要单独摸一下,可以两边一起检查,如果有不对称的情况,家长也能及时发现。

↑可以沿着脐周按压,孩子的肚子应该是柔软的。

↑检查腹股沟和腋窝时候需要用点力,发现黄豆大小不能移动的淋巴结时,需要引起注意。

↑沿着脊柱慢慢向旁边推进,从上往下,把每一节脊椎都摸到。

↑除了看一下有没有小突起小包块,还需要看看会阴部是否有异常毛发。

加载中...