多原发性肺癌,还做不了手术,怎么办?上海市胸科医院“一针”射频消融,为患者解疑难
新民晚报新民网
原标题:多原发性肺癌,还做不了手术,怎么办?上海市胸科医院“一针”射频消融,为患者解疑难
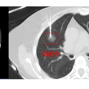
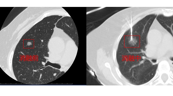
图说:上海市胸科医院“一针”射频消融,为多原发性肺癌患者解疑难 来源/采访对象提供
随着医学影像技术的发展,早期肺癌的发现率不断上升,外科手术是首选治疗方案。但是那些肺上同时长出多个结节,或高龄、或心肺功能差,无法进行手术的患者,该如何是好?11月17日“国际肺癌日”来临之际,上海市胸科医院传来好消息:运用CT引导下经胸壁射频消融技术,就能让这些“特殊”的多原发性肺癌患者不再苦恼。
刚刚接受了这一新方法治疗的患者陈阿姨,就是一位多原发性肺癌患者。62岁的陈阿姨去年被确诊为早期肺腺癌,在胸科医院接受了外科治疗和4次辅助化疗。本以为“噩梦”已经过去,没想到11月初复查胸部CT时,医生又发现她的右肺上叶出现新的病灶,诊断为多原发性早期肺癌。这个消息对陈阿姨来说无疑是“晴天霹雳”,她茶饭不思,夜不能寐,迫切地想要治疗。但是陈阿姨之前刚刚做过手术和化疗,身体状况无法再次接受手术,人的肺叶也不可能一切再切,这该怎么办?难道任由肿瘤长大?呼吸内科主任医师钟华、副主任医师滕家俊在听取了多学科会诊建议后,带领团队认真研究、细致评估,为陈阿姨度身定制了“CT引导下经胸壁射频消融术”治疗方案。这项技术也是胸科医院呼吸内科正在承担的国家科技部重点研发计划项目“基于国产电磁导航系统的早期肺癌精准诊疗技术集成解决方案研究”的内容之一,为加强肺癌早诊早治,提供新的选择。
说起射频消融,许多人或许还有些陌生,这是一种肿瘤的介入治疗方法。治疗时,医生们运用CT引导下的三维立体重建技术,将直径不足2mm的电极针准确穿刺到患者肺部肿瘤组织中,通过电极释放的热能来“杀灭”病灶,创伤很小,恢复很快。同时,消融技术还能激发人体自身免疫系统达到消灭肿瘤细胞的作用。钟华主任介绍说:“如今临床上发现多原发性肺癌的患者越来越多,有的患者是像陈阿姨这样先后长出新病灶,更多的患者是初发现时双侧肺上就有多个病灶。外科手术很难一切再切。因此,射频消融治疗特别适用于无法耐受再次外科手术、高龄或有合并症的肺癌患者,为她们带来了救治希望。”
经过细致准备与精准定位,陈阿姨的射频治疗开始了。术中,在CT引导下,医生手中的“消融针”按照既定路线“穿行”,快速、准确地到达病灶部位,进行了精准地消融,新发的肿瘤细胞一下子就被超高温成功灭活了!由于几乎没有创伤,陈阿姨恢复得很好,术后第二天就出院了。
“针对多原发性肺癌患者,根据不同病情,可由内外科联合,在手术切除主要病灶的同时,将其他病灶消融;也可以根据病灶的位置不同,选择经胸壁射频消融或者经支气管消融。这些技术,胸科医院都积累了丰富的临床经验。因此,多原发性肺癌并不可怕,无论患者是否可以手术,胸科医院都有办法、有信心来治疗。” 钟华主任告诉记者。在肺癌精准治疗时代,医生们正在不断探索,运用更多强有力的“武器”挽救无数肺癌患者的生命。
通讯员 邓天 新民晚报记者 左妍
我要爆料
联系电话:021-22899999
新民网新闻未经授权不得转载