新浪新闻

太奇怪!广东一女孩突然频繁打嗝,医生检查发现…

信息时报

关注

原标题:太奇怪!广东一女孩突然频繁打嗝,医生检查发现…

一提起打嗝、恶心、呕吐,

大多数人下意识会觉得

是肠胃出现了问题。

但实际上,这些症状

除了可能是消化系统疾病,

也有可能是神经系统病变引起的。

近日,云浮一花季少女频繁打嗝,

一度还被误诊为肠胃炎,

最终在广州查明

是神经系统病变导致的消化道症状。

今年7月底,刚结束中考的汪晓(化名)打算趁着假期好好放松,没想却被一场突如其来的“怪病”打破了原有计划。

假期刚开始没几天,汪晓就莫名其妙地感到腹胀不消化,还频繁地打嗝。

“后期还呕吐,吐到连胆汁都出来了。”汪晓说,忍了好几天情况一直没有好转,家人便带她到当地医院就诊。“做了胃镜检查,考虑为胆汁反流性胃炎,开了些药后便出院回家了。”

她本以为服药就可以缓解,可万万没想到,在接下来的一个月里,症状非但没有好转,还逐渐加重。

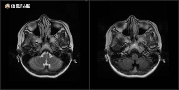
“不仅打嗝频繁,头还肿胀着痛,左边脸颊、肢体也有点麻木无力。”汪晓便再次到当地医院就诊。行颅脑影像检查提示有延髓及颈髓病变,不过按病毒性脑炎治疗后,汪晓的症状还是没有好转。经同乡人推荐,9月3日,汪晓在家人的陪同下来到广东三九脑科医院。

该院接诊的神经内一科主任王展航考虑患者有明显消化道症状,且影像检查资料提示有延髓及颈髓病变,认为是中枢神经系统脱髓鞘脑病的可能性较大。随后,其脱髓鞘相关抗体检查提示为阳性,进一步证实了王展航的判断。“最终明确诊断为视神经脊髓炎。”王展航说。

影像检查资料提示有延髓及颈髓病变

给予静脉激素联合丙种球蛋白冲击治疗后,患者的症状迅速好转,打嗝、恶心、呕吐以及头痛等症状基本消失,并将于近日出院。

王展航介绍,视神经脊髓炎是中枢神经系统的炎性脱髓鞘性疾病,其典型症状之一就是持续性顽固性打嗝

“早期消化道症状明显,多数就诊于消化科或内科,易被延误诊治。”王展航说,当临床上遇到不明原因的持续性顽固性打嗝、恶心、呕吐,就要警惕是否为神经系统的疾病了。

信息时报记者 廖温勃 通讯员 郑琳

加载中...