新浪新闻

男子吃生牛肉脑内长虫 另外有人全身布满虫卵……

成都商报

关注

原标题:胆小勿入!男子吃生牛肉脑内长虫 另外有人全身布满虫卵……

你吃过生肉吗?有些人觉得无法想象,有些人则觉得生肉异常美味。不过,吃生肉小心被寄生虫盯上哦。近日,成都就有人因为吃了生牛肉,反复头痛甚至浑身抽搐。

三六三医院神经内科执行主任何佳回忆,他这种情况还算可控。几年前,她曾接触过一个全身布满寄生虫和虫卵的病患,驱虫治疗也无力回天,同样也是吃了生肉。

何佳建议,肉类应尽量烹饪煮熟食用。

突然倒地浑身抽搐 竟因脑内长虫

前几日,成都的谭大哥(化名)莫名其妙地头痛,短短几天内就发生了两次癫痫,人走着走着,突然倒地浑身抽搐,这可吓坏了他身边的朋友们。这样的情况持续了没多久,谭大哥便来到三六三医院寻求救治。

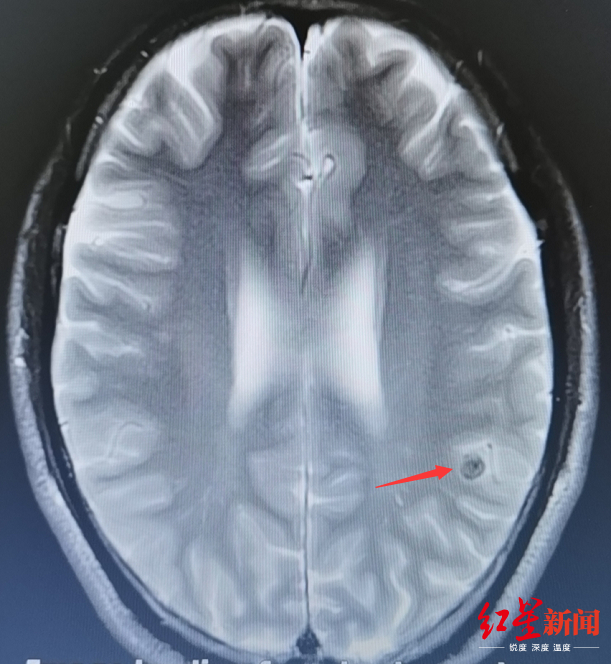
为了找出谭大哥疼痛的原因,医院神经内科执行主任何佳为他作了详细检查。拿到检查结果后,何佳发现,原来患者谭大哥脑内长了虫子!从各种影像检查资料来看,一个黑黑的小圆圈,中间有一个白点的小玩意就是这种虫子。进一步检查后证实,谭大哥感染的是一种繁殖能力极强的寄生虫,名为链状绦虫。这种虫的幼虫寄生于脑组织内,一般称为脑囊虫病。

据了解,感染了脑囊虫后,脑组织会受到损伤,病人会出现头疼、恶心、呕吐、肢体运动障碍、视物成双、视力下降、失明等症状,更有一部分病人会继发癫痫,最严重者甚至会危及生命。

脑囊虫繁殖能力很强。据何佳介绍,几年前她曾接触一个类似的患者,在两年时间内,这名患者的脑囊虫从脑部感染至全身,四肢和胸部皮下布满了密密麻麻的寄生虫和虫卵……

常年吃生牛肉 寄生虫潜入脑内

“囊虫病”从哪里来?何佳介绍,患者感染的脑囊虫一般是某种寄生虫虫卵经口进入体内,虫卵发育后经消化道穿出肠壁进入肠系膜小静脉,再经体循环到达脑膜、脑实质以及脑室内。这种寄生虫一般存在于生肉之中。

谭大哥表示,自己是吃了生牛肉才导致寄生虫感染的。因为3年前,他同样因为食用生牛肉感染颅内寄生虫而入院治疗。令医生们感到无奈的是,3年间,谭大哥一直没改变吃生肉的饮食习惯。没想到,这次又遭了!

7月23日,何佳正式开始对谭大哥进行驱虫治疗,不过她告诫谭大哥,驱虫治疗只能针对病情尚可把控的情况,如果像几年前她遇到的那位浑身长满寄生虫的患者,恐怕就无能为力了。

医生建议:想躲开寄生虫你得这样吃

想躲开寄生虫,应该怎么吃?

何佳认为,一般情况下,大多数肉类、海鲜中带来的寄生虫都属于蛋白质,大多数可通过高温消灭。因此她建议,在食用肉制品时应尽量加热煮熟,防止寄生虫感染。

此外,在某些地区制作醉虾、醉蟹的过程中,常常用酒腌渍虾、蟹后食用,以为酒精能杀死病菌或寄生虫。但实际上,酒精不能杀死寄生虫,食用需谨慎。

最后,一定要养成良好的生活习惯,饭前、便后要及时洗手,这样可有效预防寄生虫进入体内。

红星新闻记者 胡挺 戴佳佳

加载中...