沪上医生成功使用首台国产骨科手术机器人完成全膝关节置换术
新民晚报新民网
原标题:沪上医生成功使用首台国产骨科手术机器人完成全膝关节置换术
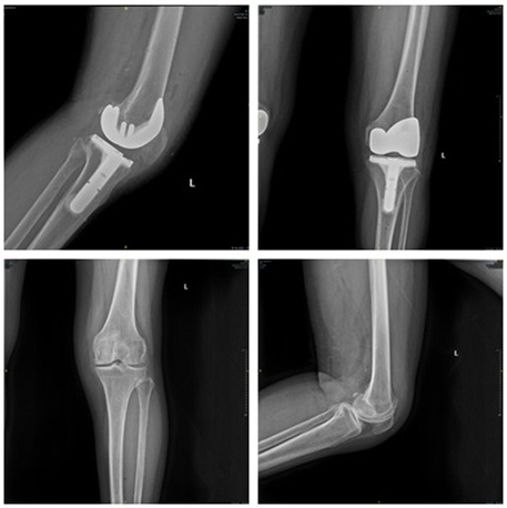
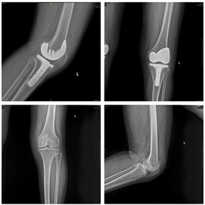
图说:上海第九人民医院团队为女性患者完成了全膝关节置换术 采访对象供图(下同)
新民晚报讯(记者 左妍 通讯员 徐英 翟赞京)对于患者而言,尽管机器人辅助手术有诸多优势,但相对昂贵的手术费用也是一个问题。为打破国际品牌垄断地位,让更多适用患者有可能选用手术机器人辅助医生进行手术,国内的医工科学家们深入开展医工交叉合作,越来越多自主研发项目和产品正在不断问世。日前,一款全国产化的“鸿鹄”关节置换手术机器人,又名“鸿鹄”骨科手术导航定位系统研发成功,并由开发团队主要成员——上海第九人民医院骨科李慧武主任医师,带领团队利用“鸿鹄”手术机器人,成功为一位左侧膝关节疼痛多年,活动功能明显受限的69岁女性患者完成了全膝关节置换术。
图说:全国产化的“鸿鹄”关节置换手术机器人
该机器人所有核心部件实现全国产化,填补了我国在关节置换手术机器人领域的空白。
李慧武介绍,术中“鸿鹄”机器人完美执行了医生的术前规划,高水准的完成了多项手术辅助操作。“鸿鹄”的自动定位截骨,避免了传统手术中采用髓内定位工具可能会对患者髓腔造成一定损伤等问题,很大程度减少了软组织和骨组织的损伤,患者出血少、创伤小,术后膝关节功能的康复会更快,感受会更优。同时,该手术机器人配合独有的内轴型膝关节假体,极大降低了因常规手术技术问题造成关节松动、力线不准、关节脱位等情况的发生率。患者术后X光检查报告显示,机器人辅助截骨能够实现精准力线恢复,患者预后效果良好,证明了该手术机器人相对传统手术具有独特的临床优势。
据了解,李慧武作为课题负责人申报的“髋膝兼容、安全、高效、微创伤关节手术机器人系统研发”课题于2017年获国家科技部立项,这项课题也是我国第一个国家重点专项支持的关节手术机器人课题。
历时三年多,李慧武课题组与苏州微创畅行机器人有限公司研发团队深耕自主创新,终于研发成功——“鸿鹄™关节置换手术机器人”,该机器人从机械臂、导航系统、控制系统等核心部件实现全部国产化,且技术独立,保证了机器人快速迭代,打破了国际品牌的垄断地位,填补了我国在关节置换手术机器人领域的空白。
我要爆料
联系电话:021-22899999
新民网新闻未经授权不得转载