《科学》刊发哈兽研研究:评估雪貂、猫、犬等对新冠易感性
澎湃新闻
原标题:《科学》刊发哈兽研研究:评估雪貂、猫、犬等对新冠易感性
新冠病毒被认为起源于蝙蝠,和来自中华菊头蝠冠状病毒RaTG13(中科院武汉病毒所石正丽研究员团队2013年在中国云南采集)在核苷酸序列水平上有96.2%的相似性,但这是一种此前在人类和其他动物身上均未检测到过的一种新型冠状病毒,它的出现新带来很多亟待解决的问题,其中就包括除人类之外,其他是否有宠物、畜禽也可能被新冠病毒传染?
当地时间4月8日,顶级学术期刊《科学》(Science)在线发表了论文“Susceptibility of ferrets, cats, dogs, and different domestic animals to SARS-coronavirus-2 ”。这项研究旨在弄清楚一些问题:新冠病毒会传染给其他动物物种,从而成为感染的“蓄水池”吗?新冠病毒感染在人类中有多种临床表现,从轻微感染到死亡,那么在其他动物中是如何表现的?随着疫苗和抗病毒药物开发的努力,哪些动物可以最精确地用于模拟这些药物或疫苗对人类的效果?
为解决这些问题,来自中国农业科学院哈尔滨兽医研究所兽医生物技术国家重点实验室、国家动物疫病防控高级别生物安全实验室的研究团队评估了不同模型实验动物和宠物、畜禽对新冠病毒的易感性,通过实验感染新冠病毒,观测接种动物及同居动物的临床表现及病理变化,检测器官组织病毒载量、呼吸道和肠道病毒排放及动物体内针对新冠病毒抗体转阳情况。
他们的研究显示:新冠病毒在狗、猪、鸡和鸭子身上复制能力很弱,但能在雪貂上呼吸道和猫的呼吸系统及消化系统高效复制。实验感染猫能够通过空气传播新冠病毒;部分猫感染后可导致严重发病甚至死亡,低龄猫发病明显较大龄猫严重。
组织病理学观察证实,病毒感染猫可引起不同程度的肺脏炎症与肠道粘膜损伤;免疫组化研究发现上呼吸道(鼻腔、上颚、扁桃体)粘膜上皮及嗅球细胞、气管及支气管粘膜黏液腺上皮细胞、小肠粘膜上皮等部位存在大量病毒感染。
该论文通讯作者为中国科学院院士、中国农科院哈尔滨兽医研究所动物流感基础与防控研究创新团队首席科学家陈化兰,中国农业科学院哈尔滨兽医研究所所长、国家动物疫病防控高级别生物安全实验室主任步志高,以及中国疾控中心病毒病预防控制所党委书记、BSL-3实验室主任武桂珍。此前的当地时间3月31日,研究团队已率先在预印本平台bioRxiv上发表了该项研究。
值得一提的是,国家动物疫病防控高级别生物安全实验室是中国现有的两个P4(生物安全等级四级)实验室之一,另一在中科院武汉国家生物安全实验室。这项研究中的所有感染新冠病毒的实验均在P4实验室中进行,获得中国农业农村部的批准。动物研究和动物福利方案由中国农科院动物实验伦理委员会审核通过。
中国农业科学院哈尔滨兽医研究所官网发布的新闻稿中提到,哺乳动物及禽类中一直有不同的冠状病毒流行,但这些冠状病毒大多仅限于感染特定种属动物,一般不能感染人类。同样,人间常见的几种冠状病毒也不感染其他动物。但是,来自蝙蝠的某些冠状病毒,如SARS和中东呼吸综合征(MERS)病毒,往往可以感染多种动物和人类。
新冠病毒目前在全球大范围的人群中流行,传入与人类密切接触动物的风险与日俱增。因此,迫切需要开展与人密切接触家养动物对新冠病毒的易感性研究,评估家养动物是否面临新冠病毒危害并成为潜在中间宿主的风险,为防控新冠病毒提供科学依据。
另外,鉴于目前COVID-19全球流行情况,其演变为常在传染病的可能性很大,急需建立稳定、可靠的动物感染模型,满足疫苗和药物研发评价需求。
研究团队强调,对猫新冠病毒的监测应被视为消除目前COVID-19流行的一种辅助手段。他们呼吁,密切监测和保护疫区的猫,避免其接触传染源,防止其成为可能的传播宿主或储存宿主。
另外,此前有质疑称猫感染新冠是实验室条件下大剂量使然。然而,除该项研究之外,此前的4月3日,华中农业大学农业微生物国家重点实验室、动物医学院教授、农业部兽用诊断制剂创制重点实验室主任金梅林院士,中科院武汉病毒研究所新发传染病研究中心主任、中科院高致病性病原生物学与生物安全重点实验室主任石正丽研究员带领的团队也在预印本平台bioRxiv上发表了一项研究,他们通过猫血清调查发现:武汉地区新冠疫情暴发后采集的102只猫的血清ELISA检测显示,来自15只猫(14.7%)的血清对新冠病毒的受体结合域(RBD)呈阳性。
而美国纽约布朗克斯动物园4岁的老虎马来亚虎纳迪亚也于近日确诊感染新冠病毒。当地时间4月5日,美国农业部发布声明确认,纽约一家动物园中的一只老虎确诊感染新冠病毒,另有几只狮子和老虎也表现出呼吸系统疾病症状。纽约布朗克斯动物园官方表示,纳迪亚和另外三只老虎以及三只非洲狮都出现了干咳和食欲下降的症状,但预计它们均能康复。公共卫生官员认为,这些动物是被一名无症状感染员工传染的。
新冠病毒可在雪貂上呼吸道复制长达8天,但不会导致严重疾病或死亡
雪貂经常被用作人类呼吸道病毒的动物模型。因此,研究团队首先测试了雪貂对新冠病毒的敏感性。
本研究使用了两个新冠病毒毒株:来自武汉华南海鲜市场F13-E和来自一位新冠病毒感染患者的CTan-H。
研究团队对雪貂分别经鼻内接种10^5pfu(plaque forming unit)的F13-E或CTan-H,并在接种后第4天实施安乐死(p.i。)。收集每只雪貂的鼻甲、软腭、扁桃体、气管、肺、心脏、脾脏、肾脏、胰腺、小肠、大脑和肝脏,用qPCR和病毒滴定法进行病毒RNA测定。
雪貂脏器或组织中病毒RNA:A、接种F13-E,B、接种CTan-H。
研究结果表明,所有4只雪貂的鼻甲、软腭、扁桃体中均检测到病毒RNA和传染性病毒,但在其他检测组织中均未看到。
C、接种F13-E,D、CTan-H的雪貂脏器或组织中的病毒滴度。
研究团队认为,这些结果表明,新冠病毒可以在雪貂的上呼吸道复制,但没有检测到在其他组织中的复制。
为了研究病毒在雪貂体内的复制动态,研究团队对6只雪貂经鼻内接种了10^5pfu的F13-E(3只)或CTan-H(3只),然后将它们安置在隔离且单独分开的三个笼子里。在第2、4、6、8和10天收集雪貂鼻洗液和直肠拭子用于病毒RNA检测和病毒滴定。同时对它们进行了两周的体温和新冠迹象监测。
接种F13-E(E)和CTan-H(F)的雪貂洗鼻洗液中的病毒RNA。接种F13-E(G)和CTan-H(H)的雪貂鼻洗液中的病毒滴度。
结果显示,第2、4、6、8天,在所有6只雪貂的洗鼻液中均发现病毒RNA。在一些直肠拭子中也发现了病毒RNA,但拷贝数明显低于鼻洗液。所有雪貂的鼻洗液中均检测到传染性病毒,但没有一只雪貂的直肠拭子中发现传染性病毒。
每一组接种病毒的雪貂中分别有一只在第10天和第12天出现发烧和食欲不振。为了调查这些症状是否由病毒在下呼吸道的复制引起,研究团队在第13天对这两只雪貂实施了安乐死,并收集它们的器官进行病毒RNA检测。
然而,除了接种了CTan-H的雪貂鼻甲检测到低拷贝数外,没有在任何其他组织或器官中检测到病毒RNA。
病理研究显示,在第13日安乐死的两只雪貂中,有严重的淋巴浆细胞性血管周炎和血管炎,肺泡间隔和肺泡腔中的II型肺泡细胞、巨噬细胞和中性粒细胞的数量增加,肺部有轻度的支气管周炎。
星号表示在接种病毒后第13天对动物实施安乐死,其余4只在第20天对动物实施安乐死。
通过ELISA和中和试验,所有雪貂体内均检测到新冠病毒抗体,其中第13天安乐死的两只雪貂的抗体滴度明显低于第20天安乐死的雪貂。
为了进一步研究新冠病毒是否在雪貂肺部复制,研究团队给8只雪貂经气管内接种了10^5 pfu的CTan-H,并在第2、4、8和14天分别对2只动物实施安乐死,在组织和器官中检测病毒RNA。
在第2天实施安乐死的两雪貂和第4天实施安乐死的两只雪貂中,研究人员分别仅在其中一只的鼻甲和软腭中检测到病毒RNA;在第8天实施安乐死的两只雪貂中,其中一只雪貂的软腭检测到病毒RNA,另一只雪貂的鼻甲、软腭、扁桃体和气管中检测到病毒RNA;在第14天实施安乐死的两只雪貂中均未检测到病毒RNA。
这些结果表明,新冠病毒可以在雪貂的上呼吸道复制长达8天,而不会导致严重的疾病或死亡。
研究团队在论文的最后还提到,比较而言,新冠病毒和其他在雪貂上呼吸道和下呼吸道均可复制的流感病毒、甚至人SARS-CoV表现出一些不同。新冠病毒只在雪貂的鼻骨、软腭和扁桃体中复制。它也可以在消化道中复制,但即使在气管内接种了病毒,在雪貂的肺叶中仍没有检测到病毒。
猫高度易感并发生“猫际传播”:应将猫新冠病毒的监测视为疫情防控辅助手段
值得注意的是,猫和狗与人类有密切接触,因此研究团队认为,除了雪貂这样的实验室动物,了解常伴人类生活的家养动物对新冠病毒的易感性对于COVID-19的控制很重要。
研究团队首先研究了新冠病毒在猫体内的复制。5只8个月大的亚成年家猫(远交系)经鼻内接种了10^5pfu的CTan-H,其中2只猫计划在第6天实施安乐死,以评估其器官中的病毒复制情况。3只猫被放在隔离器内的单独笼子里。为了监测呼吸道飞沫的传播,分别有一只未受感染的猫被放在与每只接种病毒的猫相邻的笼子里。
由于8个月大的猫具有攻击性,因此很难对它们进行常规的鼻腔清洗。为了避免可能的伤害,研究团队收集了这些猫的粪便,并在安乐死后检查它们器官中的病毒RNA。
第6天实施安乐死的2只亚成年家猫中,鼻骨、软腭和扁桃体中均检测到了病毒RNA,其中一只的气管,以及另一只的小肠中也分别检测到病毒RNA。然而,这两只猫的任何肺样本中都没有检测到病毒RNA。
在这些猫的病毒RNA阳性的鼻骨、软腭、扁桃体和气管中检测到传染性病毒,但在病毒RNA阳性的小肠中没有发现传染性病毒。
猫之间新冠病毒的传播。
在病毒传播研究中,第三天2只接种病毒猫的粪便中检测到RNA病毒,第5天所有3只接种病毒猫的粪便中均检测到RNA病毒。处于病毒暴露风险的3只猫中,有一只的粪便在第3天检测到病毒RNA。
粪便呈病毒RNA阳性的接种病毒猫在第11天实施了安乐死,接种病毒猫的软腭和扁桃体,以及病毒暴露猫的鼻骨、软腭、扁桃体和气管中检测到病毒RNA,表明猫之间发生了呼吸道飞沫传播。
在第12天,研究团队对剩下的猫实施了安乐死。在一只接种了病毒的猫的扁桃体、另一只接种了病毒的猫的鼻骨、软腭、扁桃体和气管中检测到病毒RNA,但在两只病毒暴露猫的任何器官或组织中均未检测到病毒RNA。
通过ELISA和中和试验,在所有3只接种了病毒的猫和1只暴露于病毒的猫的体内均检测到新冠病毒抗体。
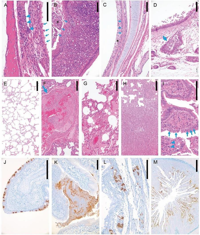
新冠病毒在感染猫呼吸系统及消化系统高效复制,引起病理损伤和炎症反应,病毒感染后3天病死或安乐死猫组织病理学及免疫组化研究。(A)鼻粘膜上皮排列紊乱,纤毛脱落(箭头),固有层淋巴细胞侵润(箭头)。(B)扁桃体上皮细胞变性、坏死,粘膜上皮(星号)表面覆盖细胞碎片及中性粒细胞(箭)。(C)气管粘膜上皮变性、坏死(箭),表面覆盖混有大量细胞碎片的黏液(星号)。(D)气管黏液腺上皮坏死,淋巴细胞侵润(箭)。(E)未感染病毒猫肺正常组织结构。(F)肺血管内炎症细胞聚集,纤维蛋白凝结形成(箭)。(G)肺泡内即肺泡间隔大量巨噬细胞及淋巴细胞侵润。(H)肺泡及肺泡间隔炎性侵润和增生。(I)小肠上皮部分细胞变性、坏死,固有层中等程度淋巴细胞侵润(箭)。(J)鼻甲粘膜上皮细胞大量病毒抗原阳性(棕色)。(K)扁桃体粘膜上皮及粘膜表面脱落细胞大量病毒抗原阳性(棕色)。(L)气管黏液腺浆液细胞大量病毒抗原阳性(棕色)。(M)小肠粘膜上皮细胞大量病毒抗原阳性(棕色)。标尺线 A, I = 100 μm, B-H, J-L = 200 μm, M = 500 μm
研究团队还在幼猫(70-100天)中重复了上述在亚成年猫中的复制和传播研究。对接种病毒后于第3天死亡或安乐死的幼猫样本进行的组织病理学研究显示,这两只猫的鼻腔和气管黏膜上皮以及肺部均有大量损伤。
这些结果表明,新冠病毒可以在猫体内有效复制,幼猫更容易被感染。更重要的是,病毒可以通过呼吸道飞沫在猫之间传播。
接下来,研究团队同样研究了新冠病毒在狗体内的复制和传播,结果表明,狗对新冠病毒的敏感性较低。类似的研究还表明,猪、鸡和鸭对新冠病毒不易感。
总的来说,研究团队发现雪貂和猫对新冠病毒高度敏感,狗的敏感性较低,另外包括猪、鸡和鸭子在内的家畜对该病毒不敏感。
另外,鉴于目前有研究报道新冠病毒利用血管紧张素转换酶2 (ACE2)作为其受体进入细胞,而ACE2主要表达于雪貂气管-支气管黏膜下腺的II型肺细胞和浆液上皮细胞,因此,研究团队认为,阻止新冠病毒在雪貂下呼吸道复制的潜在机制仍有待研究。
这项研究的结果表明,雪貂可用作新冠病毒疫苗和药物评价动物模型;犬、猪、鸡和鸭对新冠病毒不易感,对病毒宿主溯源具有重要指导意义;更重要的是猫对新冠病毒高度易感。
研究团队呼吁,密切监测和保护疫区的猫,避免其接触传染源,防止其成为可能的传播宿主或储存宿主。对猫新冠病毒的监测应被视为消除目前COVID-19流行的一种辅助手段。