1918年西班牙流感 最致命的流行病
澎湃新闻
原标题:1918年西班牙流感,最致命的流行病
1918病毒
“西班牙流感”1918年出现,1920年消失。对一百年前这场席卷全世界的流感,我们普通人了解甚少,或者说根本不关心,如果不是一场新的疫情出现在我们身边。过去我对它的了解仅止于早年阅读茨威格的故事《一个陌生女人的来信》,“陌生女人”临死前描述了自己和儿子的病情:头痛、四肢酸痛和持续高烧;还提到“现在流感挨家挨户地蔓延”。另外还从《顾维钧回忆录》中读到他的妻子唐宝玥——当时国务总理唐绍仪的女儿也死于这场流感。
《一个陌生女人的来信》
顾维钧和唐宝玥
据美国疾控中心(CDC)网站,1918年在全世界范围内大爆发的这场流感有五亿人染病,占当时世界人口十八亿的近三分之一,至少五千万人死亡,死亡率高达百分之十,仅美国死亡人数就有六十七万五千。此前或此后发生的任何流行病都没有这么高的死亡率,因此西班牙流感被称为“人类有史以来最致命的疫情”。西班牙流感的特征是传染力极强。首个病例出现在美国,1918年3月,堪萨斯州某军营里有一百名士兵发病,一周之内病例就增加了五倍。另外一个特征是十五至三十四岁之间的青壮年死亡率高,这场疫情使得美国整体寿命降低了十二年。科学家认为一战末期各国士兵的调动和返乡,是将这场疫情传播到世界各地的主要因素之一。从我们普通人的角度来看,持续四年的残酷战争破坏了生态平衡,导致饥荒,使人们普遍健康水平下降,免疫力低下,可能也都是使病毒有机会进攻并失控的原因。当时医疗条件和设备缺乏,抗生素尚未发明(1928年首次发明青霉素),医生没有有效的手段来对付一种危害严重的病毒导致的炎症,也是死亡率极高的原因。
西班牙流感病毒肆虐之后就销声匿迹再也没有出现,科学家希望通过重组病毒来解释当年的病毒起源,并且为将来可能发生的疫情做好防备。美国CDC网站上辟有专门栏目详细介绍这场疫情的始末以及一百年来科学家为追根寻源做出的努力,其中有一文非常值得推荐:《最为致命的流感:1918流行病毒的发现和重组全叙述》(The Deadliest Flu: the Complete Story of the Discovery and Reconstruction of the 1918 Pandemic Virus)。该文由道格拉斯·约顿(Douglas Jordan)撰写,记述了科学家如何从1918年流感病亡者遗体上获取病毒,进行基因排序,重组病毒并且在小白鼠身上实验,了解这一致命病毒的来龙去脉和致病机理。
阿拉斯加的海边小村庄布莱维格·米逊的集体大坟墓
开始研究的关键地点是阿拉斯加的海边小村庄布莱维格·米逊,该村庄现有近四百人,1918年感染流感病毒前有八十个成年居民,大多数是因纽特人。疫情发作时,病毒流传至这个偏僻小村,或者是坐狗拉雪橇从附近城市来村里售货的商人,或者是邮递员带来的。1918年11月15至20日的短短五天时间内,村里有七十二位成年人死亡。死者全都埋葬在村旁一个小山坡上的集体大坟墓里,长年冰冻状态,无人去动,直到1951年。约翰·胡尔丁(Johan Hultin)是一位瑞典微生物学家,当时二十五岁,是爱荷华大学的博士生。他认为有可能在这个集体坟墓中找到病毒的踪迹,也许冰封在病死村民的器官组织中。他获得村中长者的许可发掘坟墓,参与挖掘工作的还有几位大学同事。挖掘工作花了几天时间,他们必须先用篝火融化冻土才能挖掘。因极寒天气,有些遗体保存不错,有具小女孩的遗体保存完好,连同身上的蓝色连衣裙和头上的红色发带都原封不动。最后他们共从五具遗体上获得肺器官组织,千辛万苦将其从阿拉斯加带回爱荷华大学的实验室。当时条件很差,胡尔丁乘坐的是DC-3螺旋桨飞机,中途多次停靠加油。飞机每次停留他都下飞机用灭火器的二氧化碳来重新冰冻肺器官组织,噪声引起同机乘客和其他人的侧目。回到实验室后,他尝试将肺组织插入鸡蛋中让病毒生长,最终没有成功。从网站文章介绍看,当时的实验条件极为简单,科学家甚至要用嘴通过吸管将病毒吸取到试管里,现在这种方式已经杜绝。
胡尔丁(左侧),摄于1951年。
胡尔丁1951年在实验室
直到四十六年之后,胡尔丁才得到第二次机会追踪病毒。1997年他在《科学》杂志上读到署名杰弗里·陶本博格(Jeffery Taubenberger)等人的论文——《1918年西班牙流感病毒的初始基因特征》(Initial Genetic Characterization of the 1918 “Spanish” Influenza Virus)。当时陶本博格是位年轻的分子病理学家,就职于华盛顿特区军事病理学院。论文谈到他和团队正在给病毒基因组的一部分排序。我们熟悉的DNA是双链结构,决定几乎所有生物的基本基因特征,而流感的基因组由单链核糖核酸(RNA)构成。陶本博格的团队成功地从当年驻扎在南卡罗莱纳州福特杰克逊一位死于流感的二十一岁士兵的肺组织里提取了病毒的RNA。这位士兵1918年9月20日因感染流感和肺炎入院,六天后死亡。当时保留了他的肺组织样本以备将来研究使用。科学家从病毒八个基因部分的四个中排列出病毒RNA的九个片段,这项研究并不代表整个病毒基因组的完整序列,但提供了迄今为止最清楚的病毒画面。基于这个1997年组合的病毒序列数据,陶本博格和团队最初认为病毒是一种新型流感A(H1N1)病毒,源自人类和猪,而非禽类。
胡尔丁致信陶本博格,询问是否有兴趣让他再次去那个阿拉斯加小村庄获取流感死者遗体的肺组织,他得到肯定回答一周之后就启程了。他几乎没有什么工具,甚至问妻子借了一把园艺剪刀。他再次获得村委会许可,并且在当地聘请了帮工参加挖掘。这一趟他自费三千二百美元,共挖掘了五天,成绩斐然。
埋葬在七英尺深处冻土中的是一具女子遗体,胡尔丁称为露西。她生前肥胖,死时大约二十多岁,因流感并发症而亡,肺完整地保存在冻土中。胡尔丁将其置于保存液里,运送给陆军病理学院的陶本博格和同事。十天之后他收到电话确认,从露西的肺组织中获取了阳性基因物质。这次研究结果发表在1999年国家科学院2月会议论文集,题为“1918西班牙流感病毒血凝素基因的起源和进化”,陶本博格被列为合作作者。该文描述了如何进行1918病毒的血凝素(HA)基因排序。
陶本博格(左)
流感病毒的HA基因决定病毒HA表面蛋白的性质,这些HA表面蛋白允许流感病毒进入并且感染健康的呼吸道细胞。HA 免疫系统产生的抗体也以HA为靶向来抵抗炎症。现代流感疫苗就是通过以流感病毒独特的HA为靶向来起到作用。1999年的研究中,科学家成功地排列出1918病毒的全部HA基因序列。他们使用了从那位二十一岁士兵、露西和另一位曾驻扎于纽约某兵营的士兵遗体中获取的病毒RNA片段。这第三位病人1918年9月23日因流感入住军营医院,病情发展迅速,9月26日因严重呼吸衰竭死亡。
基因排序的结果表明1918病毒的原型曾在1900和1915年之间的某个时段感染人类。科学家注意到1918病毒的HA基因经过了一些哺乳动物的修改,而非禽类修改,因分析方法不同呈现出更具人类或者猪的特征。叶缘基因分析认为1918病毒的HA位于哺乳动物进化枝的根基之内和周围,这意味着它可能是所知最早感染哺乳动物的流感病毒的原型或者与其相关。但是研究者也认为病毒有可能从禽类病毒那里获得其HA,但不能肯定病毒在某种哺乳动物宿主身上适应了多久才最后以流行病形式出现。
1918病毒序列同现有类型最接近的是A/SW/Iowa/30,这是最早的典型猪流感类型。当代禽流感病毒类型与1918流行病毒差异很大,然而研究者没有1918疫情同时期的禽类病毒类型可作比较。1918病毒的HA1只有四个糖基化位点,不同于现代人类HA,后者通过抗原性漂移而积累了另外五个糖基化位点。糖基化位点是流感病毒起作用的关键,而增加的位点则是病毒适应人类宿主的方式。但是研究者没有发现1918病毒的HA有任何变异可用来解释其非同寻常的毒性。
与现代剧毒禽流感类型,例如禽流感A(H5)和(H7)病毒不同,1918病毒的HA不具有“裂解位点”变异,这是公认的剧毒性基因标志。将氨基酸插入HA裂解位点可以使流感病毒在正常宿主细胞外的组织中生长。在缺乏这样明显标志的情况下,科学家认为1918病毒的剧毒性可能有多种基因因素。
随后发表的论文《1918西班牙流感病毒基因的特征》述了如何进行1918病毒的神经氨酸酶(NA)基因排序。在流感病毒中,神经氨酸酶基因负责编码病毒NA表面蛋白,流感病毒NA表面蛋白使得流感病毒逃离受到感染的细胞,感染其他细胞,因此在传播流感感染中起到重要作用。研究者注意到免疫系统也以NA为靶向,针对NA的抗体不能防止炎症,但的确在相当程度上限制了病毒扩散的能力。
研究者根据从露西遗体上获得的病毒样本排列出了1918病毒NA的完整编码。研究者发现1918病毒的NA基因与哺乳动物和飞禽流感病毒类型共有多种序列和结构特征。叶缘基因分析表明1918病毒曾经居于哺乳动物和飞禽之间,意味着有可能是在1918疫情不久之前引入哺乳动物。而且,从露西遗体中获取的1918病毒的NA表明它与随后所有猪和人类分离物的原型非常相似。
总之,叶缘基因分析似乎表明1918病毒NA的最终来源是自然中的飞禽,但研究者无法确定从禽类源头过渡到病毒最后流行病形式的路径。研究者也无法找出1918NA任何一种的单个特征能够解释其剧毒性。例如,在一些现代流感病毒中,在氨基酸146中,NA 的一个糖基化位点的缺失导致剧毒性以及病毒攻击小白鼠的神经系统。但是在1918病毒的NA中并未发现这种变异。
后续各种研究还详述了对病毒其他基因的研究结果(流感病毒有八个基因)。至2005年,科学家最终完成了长达近十年的1918病毒基因组完整排序的全部过程。
胡尔丁在挖掘现场
1918病毒的完整基因组排序全部完成,重组1918病毒鲜活版的必要信息已经就绪。首先需要构建病毒八个基因片段的质粒。质粒是微小的圆环状DNA链,可以在实验室放大或复制。这项工作由纽约孟山都医学院著名的微生物学家彼得·佩尔斯(Dr。 Peter Palese)和阿道尔夫·加西亚-萨斯特(Dr。 Adolfo Garcia-Sastre)来完成。佩尔斯的方法使人们可以研究病毒基因结构和功能之间的关系,为重组1918病毒使用的技术铺垫了道路。在孟山都完成构建质粒之后,将其送到CDC,正式开始病毒重组。
首先要关注安全问题。政府高级官员决定位于亚特兰大的CDC总部作为重组的地点。CDC执行了双重核准程序:首先是CDC的机构生物安全委员会核准,其次是机构动物保护和使用委员会核准,然后才开始实验室工作。工作的实施遵循严格的生物安全和生物防护措施和设备标准,包括使用加强生物安全三级(BSL-3,即我们现在已经相当熟悉的P3)措施和设备。实验者的防护包括但不限于使用空气净化呼吸器、双重手套、外科制服、鞋套,在离开实验室之前必须淋浴。所有与病毒和动物相关的工作必须在二级生物安全工作间操作,实验室的空气流有导向操控和过滤,不可能意外溢出实验室。
作为安全措施之一,CDC中心主任办公室还决定只有一人能获得许可进入实验室承担这项重组病毒的极其重大责任,任命训练有素的微生物学家特伦斯·坦佩(Terrence Tumpey)博士承担这项工作。这项工作还得到美国国家卫生研究院(NIH)的全国过敏和感染疾病研究所的认可和协助。
特伦斯·坦佩曾经是佐治亚州东南家禽研究实验室的美国农业部微生物学家,曾跟随CDC微生物学家和流感专家杰奎琳·卡兹(Jacqueline Katz)从事博士后研究。此时他正式调任CDC专门从事流感病毒,包括1918病毒对人体影响的研究。重组病毒工作2005年夏天开始。为了降低同事和公众的危险,特伦斯·坦佩被要求单独进行这项工作,而且只能在同事下班离开实验室回家之后进行。进入BSL-3E实验室需要扫描指纹,只有通过扫描他的眼睛虹膜才能打开存储病毒的冰箱。还要求他每天服用抗流感病毒药物奥司他韦作为补充防范措施,他还被告知万一被感染,将被隔离,不能与外界接触。
特伦斯·坦佩在BSL-3E实验室
借助反向基因技术,坦佩使用佩尔斯博士此前分别构建的1918病毒的八个基因片段的质粒,将其插入人体肾脏细胞,质粒然后指示细胞重组完整1918病毒的RNA。那年7月,同事们都在不断询问他是否获得了1918病毒。病毒出现在细胞培养基中的那一天具有重大历史意义。他给同事们发了一封措辞简单的邮件:“个人的一小步,人类的一大步。”所有人都明白了其含义。接下来是研究和发现它致命的秘密。
2005年5月开始对重组病毒进行研究,2005年10月7日的《科学》杂志上发表论文,题为“重组的1918年西班牙流感病毒的特征”,记载了这项研究工作。研究评估了1918病毒的致病机理,进行了小白鼠动物实验。研究者让小白鼠感染病毒,观察和记录体重下降、病毒复制和百分之五十致死滴定量。还通过反向基因技术,设计了取自1918病毒和当代季节性流感A(H1N1)病毒的不同的基因组合,称为“混合重组病毒”作为参照,同时感染其他小白鼠。
完全重组的1918病毒具有惊人的迅速自我复制能力。感染四天之后,在小白鼠肺组织中发现的1918病毒数量是作为参照的混合重组流感病毒数量的三万九千倍。1918病毒对小白鼠具有相当高的致命力,有些小白鼠感染病毒后三天之内就死亡,在感染病毒两天之内体重就下降百分之十三。1918病毒的致命性至少比混合重组病毒高一百倍。实验表明1918病毒的HA基因在这方面起到了相当大的作用。当1918病毒的HA基因被当代人类季节性流感A(H1N1)的HA基因替换,并与1918病毒的其他七个基因结合,这样混合重组的病毒不会致死小白鼠,也不会造成明显的体重下降。
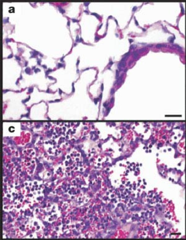
图C显示了1918病毒对小白鼠肺组织的影响
科学家另外进行了实验来确定1918病毒感染是否还会扩散到小白鼠的其他重要器官,例如脑、心、肝和脾脏。实验室检测没有在这些器官中发现病毒,说明1918病毒不会对病人造成系统感染。当年1918病毒广泛记载的影响是肺部严重迅速的损害。1918疫情中的病人有肺部充液、严重肺炎和肺组织炎症。在四天之内,感染1918病毒的小白鼠也具有类似的肺部并发症,说明这是1918病毒严重性的独具特征。
研究者还采用人肺细胞系来研究1918病毒对肺组织的作用。与小白鼠实验类似,1918病毒数量迅速倍增,在人肺细胞中扩散,在人肺细胞中产生的病毒数量是作为参照的混合重组病毒的五十倍。这些实验表明除了HA之外,1918病毒的聚合酶基因在病毒对人肺组织的感染力和毒性上也起到了重要作用。
另外一组实验意在更好地了解1918病毒可能的禽类源头。此前陶本博格等人做的实验表明1918病毒基因片段更接近禽流感A(H1N1)病毒而非在其他哺乳动物身上发现的H1N1病毒。研究者想知道1918病毒是否像现代禽流感病毒那样对于受精鸡蛋有致命力。用受精十天的鸡蛋做实验表明1918病毒对受精鸡蛋具有致命力,正如当代H1N1禽流感病毒。值得注意的是,使用人类季节性流感A(H1N1)病毒作为参照的实验对小鸡胚胎没有同样的毁灭性效果。另外,混合重组的流感病毒分别包含1918病毒二、五或七个基因,也不伤害小鸡胚胎。与小白鼠和人肺细胞实验类似,这些受精鸡蛋实验表明1918病毒的HA和聚合酶基因在其毒性上都起到了重要作用。
研究者确认,病毒的HA和聚合酶PB1病毒基因在其感染力和严重性上起到了特别重要的作用。但是选用若干而非全部1918病毒基因混合重组作为参照实验表明,并非哪一单个病毒构成,而是所有基因组合在一起才使其具有如此高的危险性。相比之下,没有任何其他用来实验的人类流感病毒具有如此非同寻常的毒性。因此1918病毒独具一格,是大自然、进化以及人与动物密切接触所导致的独特的致命产物。这也可以预示大自然在未来依旧有能力产生危害公众健康的重大流行病。
1918年之后,世界经历了三次大流行病。1957、1968和2009年。1957的H2N2和1968的H3N2两次流感都导致全球一百万人死亡,而2009年的H1N1流感第一年死亡人数则不到三十万。因此人们也怀疑是否还会再次发生1918年这样大规模的流行病。科学家认为虽然有这种可能,但毕竟一百年来人类在医疗、科技和社会条件方面都有了长足进步,能做出更好的准备来应对流行病。
一战时拥挤的部队
1918病毒本身固然剧毒,但还有其他因素也导致该病毒肆虐。1918年世界还处于大战时期,士兵广泛动员参军打仗和返乡等使病毒广泛传播;人们居住空间狭小,民间医疗条件匮乏,当时美国有百分之三十的医疗人员从军;应对流行病的医疗技术和设施有限或基本不存在,没有诊断技术,没有疫苗,抗菌素尚未发明,没有抗病毒药品,更没有重症监护,医护人员只能依靠支持手段;没有地方、城市和国家之间的协同合作,有些地区只能采取一些缓解手段,例如关闭学校,禁止公共场所聚会,隔离等。
今天人类在健康科技、疾病监控、医疗、医药、疫苗和流行病预防上面取得了很大进步,生产出了感冒疫苗,每年更新,有治疗流感的抗病毒药品,在有可能暴露在病毒感染的情况下,还能用来预防。重要的是现在还有很多抗菌素用于治疗细菌感染。现在有确诊流感的测试手段,叫做RIDT,目前测试流感十五分钟就能有结果,灵敏度达百分之五十到七十。还有“快速分子测定”,比RIDT更快速准确。WHO有全球监控网络,协同各国疾控机构监测季节性流感病毒,监测新型流感病毒的出现。总之,全球协同合作,广泛分享信息,应用现代医疗药品和设施积极防治病毒感染,是人类应对大流行病的有效手段。
(本文据美国CDC网站刊文The Deadliest Flu: the Complete Story of the Discovery and Reconstruction of the 1918 Pandemic Virus编译;https://www.cdc.gov/flu/pandemic-resources/reconstruction-1918-virus.html)
责任编辑:郑亚鹏 SN238