新浪新闻

新冠病毒感染的肺长这样

新民晚报新民网

关注

原标题:新冠病毒感染的肺长这样


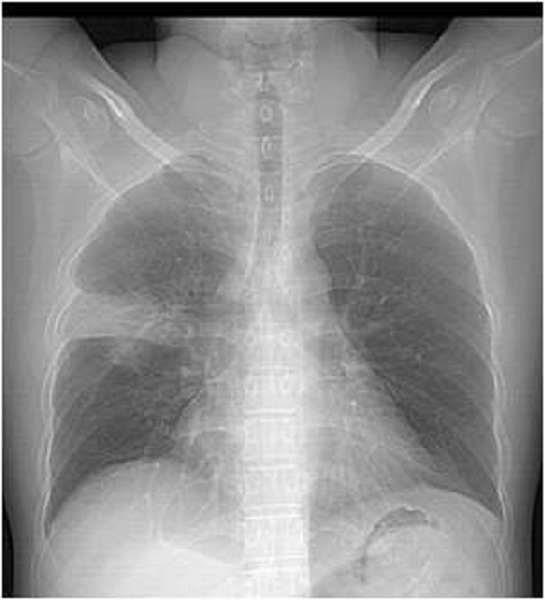
图说:新冠肺炎胸片  来源/采访对象供图(下同)

图说:新冠肺炎CT

专家说,新型冠状病毒感染的肺,还是具有一定特征的。

上海市胸科医院放射科主任医师于红介绍:影像学检查必不可少,新冠肺炎的影像特征与其他病毒性肺炎相似。

早期患者多表现单发或多发小斑片影、局灶性磨玻璃影等,病灶分布以肺外周胸膜下为多。

进展期病灶增多并融合,范围扩大,密度逐渐增高,表现为多个肺叶段多灶性斑片样或弥漫性磨玻璃影及实变影。

严重者会出现“白肺”。

新型冠状病毒性肺炎进展可能很快,但也有一部分患者早期没有明显影像学表现,因此结合临床病史、接触史及实验室检查以及短期内复查非常重要。

但是,最近去医院,也不要谈肺炎色变!病因的不同,肺炎的类型的也是不同的。

常见的肺炎有细菌性、过敏性、病毒性、真菌性、支原体肺炎、间质性肺炎等等。细菌性肺炎在这个季节也多发;病毒性肺炎如普通流感病毒等。

图说:细菌性肺炎胸片

图说:细菌性肺炎CT

那么,令人惊恐的“白肺”又是什么?

于红主任说,极少数重型及危重型会出现影像学上所说的“白肺”,主要是还是病变范围扩大和融合造成双肺实变甚至纤维化。

图说:SARS白肺

像这样的“白肺”,临床抢救要及时得当,也是有可能发生逆转的。

不过,从上海目前确诊的病例上来说,新型冠状病毒肺炎危重型的报道极少,大家不必惊慌。

近日,于红作为专家组成员,与中华医学会放射学分会感染影像专委会专家们一起制定了《新型冠状病毒肺炎影像学诊断指南(2020第一版)》,涉及影像学鉴别诊断标准、流程、术语等内容,以帮助更多相关领域的医生快速识别,以便于尽早进行规范的治疗。

新民晚报记者 左妍

我要爆料联系电话:021-22899999新民网新闻未经授权不得转载

加载中...