提醒 | 两男子差点丢命,只因喝了这种水果酒!
中国青年报
原标题:提醒 | 两男子差点丢命,只因喝了这种水果酒!
近日,杨某、张某表兄弟俩饮用了几两朋友自制的杨桃泡白酒后,次日就出现恶心、呕吐、腹痛、腰痛症状被送进了医院,肌酐数值飙升至正常的十倍,原来已是高草酸尿症引致急性肾衰竭,两人双双住院治疗。
医生认为,肾功能不好者不宜多吃杨桃。杨桃泡酒更是容易导致草酸盐大量析出融入酒中,通过酒精进入人体血液,带来一系列问题。
酒席上分享自制杨桃酒
放倒数人
杨某、张某表兄弟两人同为31岁。2019年11月29日夜间,他们和朋友聚餐饮酒。朋友拿出了一瓶杨桃泡的白酒,说已经泡了两三年,很好喝。于是大家就开始喝这个甜甜的杨桃酒。
“刚开始觉得挺好的,于是大家越喝越开心,每个人都差不多喝了六七八两。”张先生说。
不过到了第二天,就开始不舒服了。一开始还以为就是酒后劲太厉害。谁知道两三天症状都没有缓解,肚子胀胀的。后来两兄弟就到当地医院就诊,就发现肌酐异常飙升,同时被收治入院。
12月3日,在当地医院复查的结果提示,两人肾衰病情进一步加重,连夜转至南方医科大学中西医结合医院就医。
血肌酐异常飙升十倍
住院近半月
南方医科大学中西医结合医院肾病科主任聂晓莉介绍说,这两位患者入院时候到检查指标,他们的血肌酐数值已经超标十倍以上。两个人都有少尿、下肢水肿、肾脏肿大的症状。
“我们追问两位患者之前的喝酒情况,得知共同饮酒的四人中,另一名酒友也出现了肾衰竭。患者发病前有明确饮用杨桃浸泡白酒的情况,综合考虑为吃入大量杨桃导致的高草酸血症,从而导致急性肾衰竭。鉴于患者病情较重,给与急行血液透析治疗,其他给与利尿护肾、抗感染、抗炎等治疗。”
两位患者的肾穿刺病理活检结果都提示——符合急性肾小管损伤。在住院将近半个月后,两人才陆续出院。“没想到喝了这个杨桃酒后果这么严重,以前都不知道杨桃有肾毒性啊。以后再也不敢喝了。”出院前张先生说。

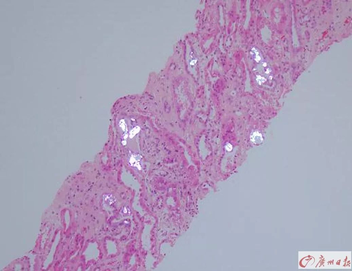
肾小管造影显示存在大量结晶沉淀物。(银白色部分)
为什么喝几两杨桃酒
会导致肾衰竭?
为什么喝几两杨桃酒会导致肾衰竭?聂晓莉分析说,杨桃富含有害物质草酸,大量摄入杨桃后容易导致高草酸血症,过多的草酸容易在肾小管内沉积,从而导致急性肾小管损害出现急性肾功能衰竭。
“这兄弟俩喝的杨桃酒泡了两三年,草酸盐更容易析出,溶解在酒中,喝下去后进入血液沉积在肾脏,形成结晶,阻塞了肾小管,使肾脏细胞发生炎症反应。”聂晓莉说。
几类人不宜吃杨桃
医生提醒,对于有慢性肾病、肾功能不全、肾功能衰竭的人群,有过血液透析史的病人以及腹膜透析的患者,都建议不要食用杨桃或者杨桃汁、杨桃罐头、杨桃酒等加工副产品。婴幼儿、对杨桃过敏者、高血压和糖尿病患者同样不易食用。
一般情况下,健康人群食用杨桃很少发生中毒情况,不会出现不良反应,但也要避免大量进食和空腹食用杨桃。
来源:广州日报(ID:guangzhoudaily)