从67岁超高龄产妇说起,人类的生育极限在哪里?
澎湃新闻
原创: SME SME科技故事

近日,枣庄市67岁超高龄产妇田某顺利产子一事,引起了广泛热议。
一方面,网友担心孩子未来的养育问题,另一方面则是感叹人类的生育潜能。
事实上,随着试管婴儿技术的日渐成熟,铤而走险的高龄产妇并不算罕见。但最让大众惊讶的是,这次的案例竟然属于自然受孕。

在维基百科“50岁以上产妇”的词条里,许多高龄产妇都是通过试管婴儿技术才怀上的。
例如,目前所知年龄最大的孕妇是74岁。通过体外受精技术,其82岁丈夫的精子与捐献者的卵子形成了胚胎。之后,胚胎才被转移至这名妇女的体内,并使其成功受孕。
就在一个多月前,这名74岁的印度妇女才剖腹产下了一对双胞胎女孩。

通过剖腹产获得一对双胞胎的74岁印度妇女曼格亚玛·雅拉玛蒂(Mangayamma Yaramati)
论年龄,这名印度妇女确实才是世界上最高龄的产妇。但67岁的田某,打破的则是世界上自然受孕的最高年龄记录。其实,田某夫妇并没有要孩子的打算,这个孩子是意外怀上的。所以老人才给孩子取名为“天赐”,意为上天赠予的礼物。
而从这两个纪录来看,高龄自然受孕更让人称奇。随着年龄的增长,女性的生育能力会越低。但相对于子宫环境,生殖细胞的限制要苛刻得多。

女性的生育能力是呈倒U形曲线的。进入青春期后,排卵和月经来潮标志着女性具备了生育能力。到24至29岁才是女性的最佳生育年龄,大概在30岁之后,生育能力便开始走下坡路。
一般在40岁左右,女性生育能力便会进入急剧衰退期,并在50岁左右戛然而止,彻底失去生育能力。这便是女性的更年期。

与年龄相关的卵巢储备/卵子数量下降
而造成女性生育能力下降的,除了身体机能的下降以外,最主要的原因是功能正常的卵细胞耗尽。
人类女性在出生时就有超多一百万个卵泡。这看起来是不是很多?但到青春期时,卵泡数量将减少至约300000个。而且,这些剩下的卵泡,在生育期内仅约有 300 个能发育成熟并被排出。绝大多数的卵泡无法在排卵中用尽,而是持续退化闭锁。
随着卵巢中含卵子的卵泡数量下降,备用的卵泡储备也会逐渐耗尽。此外,卵泡对卵泡刺激素也越来越不敏感,导致有卵泡也无法持续排出,排卵周期会发生延长和不规律。在短时间,女性便踏入更年期,彻底与生育能力告别。

此外,随着年龄增大,卵细胞成熟期间染色体发生错乱的概率也会更高。当非整倍体出现,也即卵子中的染色体过多或过少,便会直接影响卵子质量。
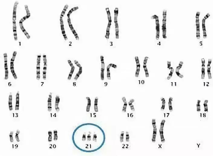
即便受精成功,胚胎的染色体数目依然不正常。这也是为什么高龄产妇容易产下先天性疾病婴儿的原因。例如,唐氏综合征便是第21号染色体多出了一条所致。不过,绝大多数染色体异常的受精卵或胚胎,都无法成功受孕,或是以极早期流产告终。
所以说,相对于可借用他人生殖细胞的试管婴儿,67岁高龄的自然受孕才是罕见中的罕见。

21-三体综合征的染色体组。30岁以下的女性生育的孩子患此病的概率为1/2000,30-40岁的女性的概率为1/300,如果女性在45岁以后生育,那么胎儿得此病的概率将达到1/10。
不过,这个“罕见”只针对于人类女性。
在自然界,为了保证种群的壮大,动物直到自然死亡(或自然死亡前很短的一段时间内)都保有生育能力。绝大多数的哺乳动物,包括大猩猩和黑猩猩等人类近亲都是如此。
对这些动物来说,无论雌雄,它们都没有生育能力急剧下降的更年期,只有缓慢的生殖衰老。

年龄与染色体整倍体率/生育能力的关系。红色和黑色曲线分别为人类染色体整倍体率和生育能力曲线,而灰色虚线则为黑猩猩的生育能力曲线,相对平缓得多。
同样,人类男性的生育能力也属于缓慢下降。尽管男性的生育能力也会随年龄有所下降,但他们似乎终生都保持着生育能力。
而且,男性的生殖细胞基本上是取之不尽,用之不竭。老来得子的男性不胜枚举,基本不算什么大新闻。曾一名印度老汉,他都96岁了仍再得一子,成了全球最年迈的新生儿父亲。
唯独女性的生育能力,就像被更年期瞬间封印了一样,是个罕见的例外。

年龄对男性与女性生育能力影响对比
但为什么呢?从进化角度来看,这是不太合理的。因为自然选择总会让有利于种群生存与繁衍的基因不断地壮大,而过早地终结女性生育能力,似乎不会带来任何好处。
所以说,更年期除了困扰女性,也让进化生物学家感到困惑。不过,美国生物学家戴蒙德的“祖母理论”,便试图解释了这个问题。
人类的每个行为背后,都经过了自然选择的筛选,其收益会接近最大化。或许女性更年期真的具有特殊的演化意义。早点结束生育新生儿,将自己余生贡献给现有的子孙,反而能使她们获益更大。这便是祖母理论对更年期的解释。

首先,相对于其他动物,人类女性的生育风险要大得多。人类婴儿硕大的头骨,产妇过窄的骨盆,都让难产很容易发生。在现代医学到来以前,分娩便是育龄妇女的首要死因。
如果一名产妇之前已生育过几个孩子, 此次又因怀孕难产遇险,那些已经出生的孩子可能会因为失去母亲的照料而死亡。
每一次生育,对女性来说都是一次豪赌。赢了,自己的基因可以获得更广的传播;输了,前面有关繁育的投资可能会面临崩盘。

毕竟,人类的婴儿比其他任何一种动物都要脆弱,需要双亲照料的时间长得多。例如,黑猩猩的幼崽在断奶后便能自己觅食了。但多数人类社会的孩子,还要活到十几岁乃至二十岁才能自食其力。失去母亲,他们的生活会面临更大的威胁。
而另一个残酷的事实便是,高龄产妇剩下的孩子本身存在健康问题的概率也更高。即便更年期消失,女性的卵子也能像精子一样取之不尽,但卵子的质量也会大打折扣。如果频繁流产和产下有健康问题的后代,也是得不偿失的。

而且,年迈女性即便不生育,她们反而能将更多的时间和精力投入到子孙身上,大大地提高了后代的存活率。
正是这种种原因,自然选择的天平才会更倾向于早早地结束女性的生育能力。即便少生几个孩子,但这却能潜在地增加后代的数量与质量。
更年期这一“反叛的开端”,使得人类社会在生存与繁殖上充满了智慧,可谓薄种广收的典范。所以有科学家也形容,更年期、直立行走以及发达的大脑,是人之所以为人的三大重要标志。

目前已知的采取这种“薄种广收”模式的生物一共有五种。除了人类以外,另外四种都是齿鲸。
例如,雌性虎鲸的繁殖年龄在12至40岁之间,但可以存活到90岁左右,而雌性短翅鲸的繁殖年龄在7至35岁之间,却能活在60岁以上。而这也是比较好理解的,这些母亲为了养育后代也耗费了巨大的精力。
需怀胎10月,但生育期就那么短,女性能生育的后代数量其实是很有限的。但总有例外会发生,一些极端的案例总能让人瞠目结舌。
曾经看到过一个关于生育数量极限的世界记录。
一位俄罗斯妇女瓦西里耶夫太太,在1725年至1765年之间就生了69个孩子。这一共有27胎,分别为16对双胞胎,7对三胞胎和4对四胞胎。

从怀孕时长来看,瓦西里耶夫太太在这40年间,就有18年时间都在怀孕。而她频繁生出多胞胎的操作,也并非不可能发生。因为异卵双胞胎的发生率,与遗传有很大的关系。非同卵双胞胎女性生育双胞胎的比率为六十分之一。但子在自然情况下,出现双胞胎妊娠的可能性约为二百五十分之一。
从理论上来说,怀孕时间和数量都是能够达到的。而在历史上,确实有这样的记载,甚至还被载入吉尼斯世界纪录大全。但这记录依然是值得怀疑的,因为这对人体的挑战实在太大了。
在医疗不发达的18世纪,分娩就是道鬼门关,而她趟过了27次已经让人难以置信。此外,足月单胞婴儿的死亡率尚且很高,就别说双胞胎、三胞胎和四胞胎了。

不过,现下纠结这69个孩子是真是假,大可不必。因为在医学日益发展的今天,分娩已不再被严格局限于“自然”二字。“生育极限”这个问题,也变得更加复杂了。
首先,剖腹产的出现已经大大地降低了难产死亡率。而上世纪70年代发展起来的辅助生殖技术,也让双胞胎和三胞胎等数量激增。
另外,最大地限制着女性生育能力的卵子数量和质量,也有可能被打破。近些年的研究亦暗示了,女性的生殖潜能比想象中还要大。例如有研究就显示,女性卵巢中含有的“生殖干细胞”,在适当的刺激下几乎能产生无限数量的卵子,至少能与男性生殖细胞数量打个平手。
如果在未来,人造子宫真能被发明出来,在生殖问题上两性的差距,可能就得完全消失了。
JR Gruhn,at el.Chromosome errors in human eggs shape natural fertility over reproductive life span.Science.2019
贾里德·戴蒙德.《性趣探秘:人类性的进化》[M].上海科学技术出版社.2008.05
Ferris Jabr.The Magic of Animal Menopause.topic.2017.08
Samuel Ellis,at el.Analyses of ovarian activity reveal repeated evolution of post-reproductive lifespans in toothed whales.Scientific Reports.2018
https://www.guinnessworldrecords.com/world-records/most-prolific-mother-ever
Adam Hadhazy.Did one woman really give birth to 69 children?.BBC future.2015.10.21
原标题:《从67岁超高龄产妇说起,人类的生育极限在哪里?》
阅读原文