吉林现迄今最早“整形”头骨:一万两千年前,额头越大越权威
澎湃新闻
原标题:吉林现迄今最早“整形”头骨:一万两千年前,额头越大越权威
据《科学新闻》网站报道,目前已知最早的人工变形人类颅骨在吉林后套木嘎遗址被发现,距今约12000年。这一发现有助于了解颅骨改造在欧亚大陆和美洲大陆的起源及分布情况。
人类的头骨在出生时并不完全定型。因颅骨结合不紧所形成的颅骨间隙通常在一岁至一岁半前后闭合。在此之前,颅骨的形状容易在外力作用下发生改变,例如,使用硬木板固定头部的方式可以重塑尚未定型的颅骨。
2011年至2015年,吉林大学考古团队对吉林省大安市的后套木嘎遗址进行发掘。在后续研究中,他们发现了11例经过人工变形的颅骨,颅骨被人为拉长,前后头部被压扁。这11例个体的死亡年龄在3至40岁之间。放射性测定年代技术显示,这当中,最早的头骨距今约有12000年历史,最晚的距今约5000年,两者跨度达7000年之久。
需要指出的是,参与这项研究的美国得克萨斯A&M大学博士王谦表示,目前断定人工变形人类颅骨最早出现在东亚,并从东亚向外传播还为时过早。
图中左侧为后套木嘎遗址中发现的30岁左右的人工变形男性头骨,距今约12000年;右侧为该遗址中人工变形的女性头骨,距今约5000年。
人为的颅骨改造是一项历史悠久的传统,背后的动机尚未有定论。历史上,在西亚、澳大利亚东南部、东亚和美洲等地区都曾发掘出经过人工塑形的人类头骨。中国也曾有“婴儿初生,枕以硬枕,枕实以豆,务平其后脑骨,以硬起欠美观,习俗然也。”“国朝旧俗,儿生数日,置卧具,令儿仰寝其中,久而脑骨自平,头刑似扁,斯乃习而自然。”等记载。
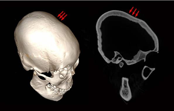
后套木嘎遗址中距今约12000年的30岁左右的男性头骨,头骨凹陷。
有观点认为,颅骨变形可能是社会地位的象征。
上述研究的作者表示,遗址中的颅骨变形现象出现在具有高社会地位的个体以及特定家庭中。例如,在其中一个颅骨经过人工变形的个体周围,埋葬有大量的陶器和其他手工艺品,显示其来自富裕家庭。另一个颅骨瘦长的女性个体身上则放置了许多贝壳装饰物,这可能代表她有较高的社会地位。
红色三角形代表后套木嘎遗址所在位置
人工变形颅骨与未经人工变形颅骨的比较。(a)3岁;(b)约7岁;(c)约8岁;(d)约15岁。每张图的右侧是经过人工变形的颅骨。
在接受新华社采访时,主持研究的吉林大学考古学院教授张全超表示,“这次发掘的变形头颅有面积很大的额头,这样会增加面貌的威仪。可能在古代人类中具有美感,体现权威。”
俄罗斯科学院考古学家玛丽亚·梅德尼科娃认为,这一来自中国的颅骨变形报告描绘了一个延续了几千年的传统,在欧洲、中亚之外扩大了目前已知的古代颅骨变形分布情况。
上述研究于6月25日发表在人类学期刊《美国体质人类学杂志》上。
人类的头骨在出生时并不完全定型。因颅骨结合不紧所形成的颅骨间隙通常在一岁至一岁半前后闭合。在此之前,颅骨的形状容易在外力作用下发生改变,例如,使用硬木板固定头部的方式可以重塑尚未定型的颅骨。
2011年至2015年,吉林大学考古团队对吉林省大安市的后套木嘎遗址进行发掘。在后续研究中,他们发现了11例经过人工变形的颅骨,颅骨被人为拉长,前后头部被压扁。这11例个体的死亡年龄在3至40岁之间。放射性测定年代技术显示,这当中,最早的头骨距今约有12000年历史,最晚的距今约5000年,两者跨度达7000年之久。
需要指出的是,参与这项研究的美国得克萨斯A&M大学博士王谦表示,目前断定人工变形人类颅骨最早出现在东亚,并从东亚向外传播还为时过早。
人为的颅骨改造是一项历史悠久的传统,背后的动机尚未有定论。历史上,在西亚、澳大利亚东南部、东亚和美洲等地区都曾发掘出经过人工塑形的人类头骨。中国也曾有“婴儿初生,枕以硬枕,枕实以豆,务平其后脑骨,以硬起欠美观,习俗然也。”“国朝旧俗,儿生数日,置卧具,令儿仰寝其中,久而脑骨自平,头刑似扁,斯乃习而自然。”等记载。
有观点认为,颅骨变形可能是社会地位的象征。
上述研究的作者表示,遗址中的颅骨变形现象出现在具有高社会地位的个体以及特定家庭中。例如,在其中一个颅骨经过人工变形的个体周围,埋葬有大量的陶器和其他手工艺品,显示其来自富裕家庭。另一个颅骨瘦长的女性个体身上则放置了许多贝壳装饰物,这可能代表她有较高的社会地位。
在接受新华社采访时,主持研究的吉林大学考古学院教授张全超表示,“这次发掘的变形头颅有面积很大的额头,这样会增加面貌的威仪。可能在古代人类中具有美感,体现权威。”
俄罗斯科学院考古学家玛丽亚·梅德尼科娃认为,这一来自中国的颅骨变形报告描绘了一个延续了几千年的传统,在欧洲、中亚之外扩大了目前已知的古代颅骨变形分布情况。
上述研究于6月25日发表在人类学期刊《美国体质人类学杂志》上。