新浪新闻

扳手腕比的是力量,不是比谁骨折的声音大

扬子晚报网

关注

原标题:扳手腕比的是力量,不是比谁骨折的声音大


 扬子晚报网4日讯(通讯员 记者 蒋若妤 记者 季娜娜)扳手腕可以说是很多人都喜欢的游戏项目。但你听说过,扳手腕会导致骨折吗?近期,宜兴就有2位小伙子因为扳手腕,导致肱骨骨折,相继入院治疗。今年26岁的小周是宜兴人。

 

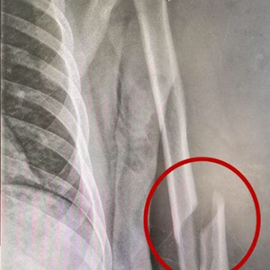
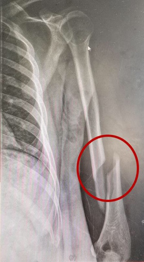
最近,小周的好友小张从内蒙古来宜兴游玩,因为两人都爱好健身,小张提议两人比试一下扳手腕,看看谁力气大。小周二话没说就答应了,正当两人相持不下时,只听“咔嚓”一声,小周当即感觉左上臂疼痛,使不上劲。在场的朋友都以为是桌腿断了,听到小周喊疼,才知道大事不好,赶紧送小周到宜兴市中医医院急诊。急诊外科医生接诊时,小周左上臂肿胀,压痛明显,急诊X线检查显示:左肱骨骨折。骨伤科医生为小周实施了左肱骨骨折切开复位内固定术。出院时,医生叮嘱他短期内不要提重物,平时要注意功能锻炼。

 

无独有偶。不久前,15岁的小王也因和同学扳手腕太用力,导致肱骨骨折而住院手术治疗。

 

扳手腕是年轻人间常有的游戏,通常情况下不至于发生意外,那为什么小周和小王会骨折呢?宜兴市中医医院骨伤科十六病区主任汤俊连介绍说,扳手腕时,当一方想要扳倒对方,需要瞬间发出超过对方数倍的力量进行攻击。在这个过程中,上臂肌肉向上向外收缩,前臂肌肉向内向下收缩,两种相反的力同时作用在扭曲的手臂上。这时若遇到对方同等的力量相抗衡,巨大的力量冲击,很容易使上臂的肱骨出现螺旋形骨折,甚至造成前壁骨折等情况。

 

汤俊连建议,在扳手腕前,应该充分活动腕、肘、肩关节,做几个屈伸活动让小臂充血,这样可以降低受伤风险。如果双方力量相差无几,相互不要硬撑,这样更加容易骨折。如果是骨质本身比较脆,或者正在发育期的青少年,尽量不要进行此项活动。另外,手臂神经较多,如果在扳手腕过后出现肿痛等异常情况,应及时到医院就诊。

 

加载中...