新浪新闻

你的口红和巧克力 很可能正在让这个类人猿物种濒临灭绝

成都商报

关注

原标题:你的口红和巧克力 很可能正在让这个类人猿物种濒临灭绝


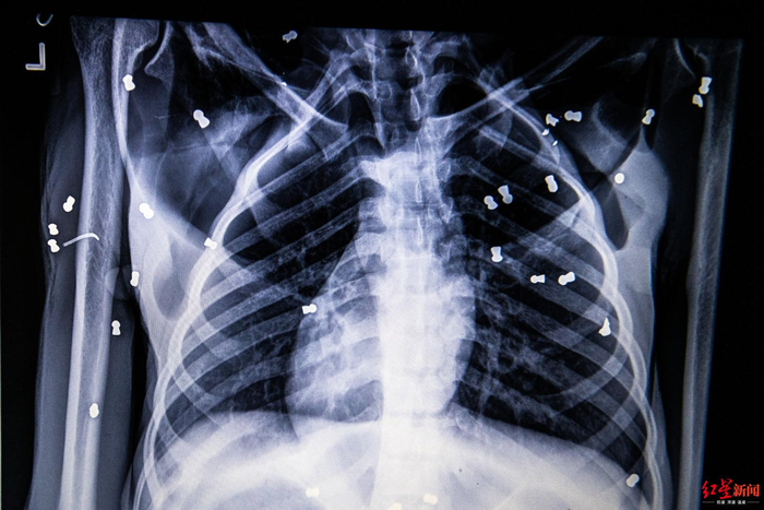
人们拿着长矛和枪靠近“希望”和她的孩子,但她不能离开,她也无处可去。当气枪子弹刺穿“希望”的眼睛使她失明后,她摸索着爬上了树干,深褐色的手指仍在寻找着热带水果来饱腹。最终,“希望”的身体被深深地割伤,多处骨折。74枚气枪子弹打进了她的身体中,而她几个月大的宝宝也被人夺走。

“希望”是一只苏门答腊洲的红毛猩猩(orangutan),其所在的康复中心给她起了这样的名字。科学家们警告称,这是一种濒危物种,很可能是第一个灭绝的类人猿物种。马来语中,orangutan的意思是“森林中的人”。然而,由于越来越多的棕榈油种植园取代雨林和沼泽,红毛猩猩们正在失去它们赖以生存的栖息地。在印尼苏门答腊岛的周围,被烧焦的树桩和土地,证明着人类对这里的破坏。

↑被打失明,孩子也被夺走的红毛猩猩“希望”。图据《纽约时报》

“两万公顷的森林被清理,只剩下几棵树,红毛猩猩环顾四周不禁问道,‘我的森林怎么了?’”苏门答腊猩猩保育项目的负责人伊恩·辛格尔顿说道。

从巧克力到口红再到生物燃料,许多产品都会用到棕榈油。而印尼和马来西亚这两个国家,提供着世界上超过80%的棕榈油。

据美国《纽约时报》报道,去年9月,在对栖息地消失使物种濒危以及大规模焚烧土地造成二氧化碳排放的担忧中,印尼政府停止了棕榈油种植园新执照的发放。

但“希望”的悲惨遭遇显示了,政府所颁布的指令在穷困的小山村里没有多大意义,全球对棕榈油的需求依旧十分旺盛。

↑康复中心的Yenny和她救护的红毛猩猩宝宝在一起。图据《纽约时报》

红毛猩猩濒临灭绝

栖息地被夺走 生育间隔期太久

“他们说已经暂停发放新执照,但我亲眼所见土地每天都在流失,”“人类与猩猩冲突应对单位”的协调员克里斯娜说道。这是一个建立在苏门答腊岛的组织,自2012年起已经救了超过170只受伤的红毛猩猩。

红毛猩猩只在世界上的两个小岛上有少量存活,它们是生活在非洲以外的唯一类人猿。研究人员在一份科学期刊上发表研究称,从1999年到2015年,婆罗洲的红毛猩猩数量锐减了1万多只。而据世界野生动物基金会(WWF)估计,婆罗洲现存的红毛猩猩数量大概还有1万只。而在苏门答腊洲,红毛猩猩的数量仅剩不到1.4万只。据“地球之眼”组织的数据显示,自1985年以来,苏门答腊岛的森林覆盖率已经失去了一半之多。

这听起来并不像一个物种要灭绝的样子。但由于红毛猩猩的妈妈们生育间隔期太久——每个孩子都要花费8到9年的时间来抚养,因此科学家们担心红毛猩猩已经处在死亡螺旋中。

运气不好的红毛猩猩,会在清理土地的大火中被烧死;而幸存下来的猩猩也没有多么幸运,它们被困在种满棕榈树的种植园中。为了寻找食物,它们只好流窜至人们居住的村庄,袭击庄稼,从而引起村民们的愤怒。

“它们吃了一些水果,然后就被枪打了,”辛格尔顿说道,“但我们什么也做不了,这没有执法部门。”

↑村民对棕榈树果实进行卸货。图据《纽约时报》

成年红毛猩猩被当做害虫

宝宝却极受欢迎

当“希望”今年早些时候出现苏门答腊岛的Bunga Tanjung小山村里时,附近的部分土地仍在被燃烧着,进行着清理工作。一排排的棕榈树苗出现在视野之中。为了填饱肚子,“希望”闯进村民的果园找水果吃。

这个村里的大多数居民都是从印尼其他地方来的贫困经济移民,被棕榈油的巨大需求所吸引。这种原产于西非的植物,可为经济困难的农民提供基本的收入保障。“没有了棕榈油,我们就无法生存,”Bunga Tanjung的区长萨尼塔说道。

连续几周的时间里,村民们不断向“希望”射击,试图将她赶走。但除了这片丛林外,“希望”没有其他地方可去,她选择留在当地。一个重达100磅的红毛猩猩自然会被当做害虫一样,但她的宝宝就完全不同,这给村里的一些人带来了希望。虽然售卖濒危物种是违法的,但红毛猩猩宝宝却经常被捕获在宠物市场交易,或者被卖给需要明星动物吸引游客的动物园。

与人类或黑猩猩不同,在类人猿世界里,红毛猩猩十分内向,因此基本上过着非常孤独的生活。但在囚禁期间,它们学会了一些手语,眼神交流中也会放松警惕。

据追踪这些濒危物种交易的当地环保人士透露,一只长着红色头发的大眼睛红毛猩猩可以为当地村民换来70美元,而当它们再被转手卖给动物园或其他人时,价格会是原来的100倍。

然而成年后,这些被圈养的红毛猩猩就贬值了。它们变得不再可爱,而且太过强壮,很少有人有足够的时间和精力来照顾如此智慧的生物,由此导致它们经常被遗忘在“监狱”之中,四肢和思想都逐渐萎缩。

“我们不会把人关在一个连身都无法转的小笼子里,”救援中心的一位养育员哈瑞斯塔说道,她曾经教过一只被关了17年的红毛猩猩如何挥舞自己的臂膀,“我们为什么要这样对红毛猩猩们?”

↑Bunga Tanjung区长称,“没有了棕榈油,我们就无法生存。”图据《纽约时报》

这世界是否公平

谁的命更值钱?

今年3月,Bunga Tanjung的一位少年朝着“希望”所待的树丛中走去。他的目的,是从“希望”手中抢过来她的宝宝。尽管子弹已经使“希望”失明,但她仍拼尽全力保护着自己的孩子,因此挠伤了这位少年。但他最终仍成功了,他把红毛猩猩宝宝放在了家中的一个篮子里。

克里斯娜称,等当地林业官员们得知“希望”的事情并前来营救时,她的宝宝已经失去了意识。

但对于这些经过,当地区长萨尼塔有着不一样的故事版本。他说,“希望”在这个村里才来几天,而且村里没有任何人曾射击过她,这与她身上的74枚气枪子弹相互矛盾,而且证据显示她已经在附近树上做窝数周时间。“我们不会做任何伤害红毛猩猩的事情,即便它们打扰到我们。”

萨尼塔刚开始表示,他并不清楚红毛猩猩宝宝的事情,但后来他却改了口。他说,如果真有人绑架了红毛猩猩宝宝,那也只会是孩子们做的。“大人们都知道私养红毛猩猩是违法的,所以村里不会有人那样做,可能只是孩子们在闹着玩。”

当“希望”被带上车注射镇定剂后,她的宝宝也重新回到了她的怀抱。克里斯娜连忙开车赶往10小时车程外的康复中心。但宝宝在路上便去世了。一位瑞士的外科医生给“希望”做了手术。

↑打进“希望”体内74颗气枪子弹中的部分。图据《纽约时报》

如今“希望”正在康复过程中,她学会了通过触摸来接受一个木瓜或一瓶牛奶。不远处的红毛猩猩孤儿们会呜咽或吱吱叫,每次听到宝宝们的声音时,“希望”都会蜷缩成胎儿的姿势哭泣。

红毛猩猩与人类的基因相似度达到97%。剩下3%的不同并没有阻止“希望”为她的宝宝悲痛。它的身体如今仍在分泌乳汁。

“‘希望’的身体受伤,眼睛也看不见了,还失去了她的宝宝,如今她是一只被关在笼子里的野生动物。”康复中心的Yenny说道,“没有比这更让人伤心的了。”

而在Bunga Tanjung村,同样留下一片阴影。抢走“希望”宝宝的少年被警方问询,但由于他未成年,目前还不清楚他是否会被起诉。村里也没有一个人为“希望”所受的伤而负责。少年的父亲称,他的儿子已经放弃了他的机械师梦想,如今很少回家,“他总是心情不好,我不知道该如何和他交流。”

站在门外的这位父亲正在考虑是否要离开这片地方,他说,这只红色的野兽诅咒了他的家庭。“这到底是不是个公平的世界?”他问道,“我儿子的命还不如一个红毛猩猩的命值钱?”

红星新闻记者 王雅林 编译报道

编辑 潘莉

加载中...