新浪新闻

胃、肠、一直到肛门……密密麻麻全是!

长沙晚报

关注

原标题:胃、肠、一直到肛门……密密麻麻全是!



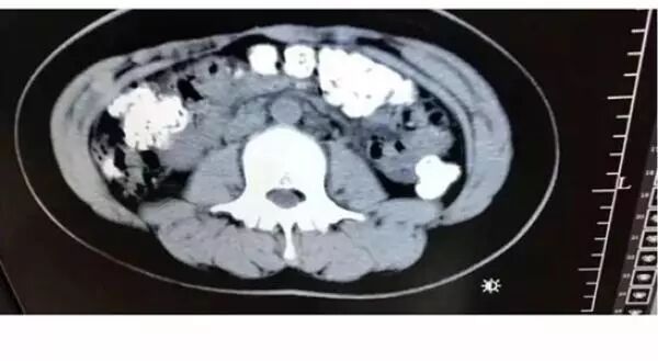
14岁女孩喝了珍珠奶茶后,五天没有排便,还肚子疼,CT检查发现胃肠道布满一颗颗圆圆的高密度阴影——没有消化的“珍珠”。


本文图均为 浙江24小时 图


5月28日晚,女孩小沈(化名)在父母陪同下到浙江诸暨市人民医院急诊,说肚子疼,几天无法排便,也吃不下东西。接诊医生张楼炜见她肚子鼓鼓的,便安排了腹部CT,检查结果让他一惊:患者胃部、横结肠、升结肠、降结肠、乙状结肠,一直到肛门,全是颗粒状阴影,足有百余颗



张楼炜问小沈最近吃过什么不易消化的食物?女孩吞吞吐吐地说5天前喝过珍珠奶茶。


“小女孩可能是怕父母说她,而隐瞒了病史——这么多未消化的‘珍珠’不像喝一杯奶茶就积累的,应该是近期喝了一段时间造成的。”张楼炜推断。之后,他给患者开了润肠通便的药物,帮助将未消化的“珍珠”排出体外。


诸暨市人民医院急诊科主任何玉领表示,
珍珠奶茶里的“珍珠”是木薯淀粉制成,本身就不易消化,有的商家为提升口感还会加入增稠剂等添加剂,大量连续食用,极易导致胃肠功能紊乱。



小沈很有可能是因为长期食用这类食品,所以体内才会有如此多的沉积。


图片来源:视觉中国



 医生建议少喝奶茶!



张楼炜说,至于这样的情况是不是重金属超标,还需要进一步确诊!不过,在他曾经接受的病人中,的确有类似的情况,是重金属超标的。


张楼炜建议市民,日常生活中,还是尽量少喝珍珠奶茶!因为,大部分奶茶中的“珍珠”除了不消化,还会添加不少食品添加剂、增稠剂以及防腐剂等。


同时,奶茶本身就含有反式脂肪酸,喝多了也会增大心血管患病的风险,体内的激素水平也会偏高。


嗯……

道理大家都懂,

奈何就是有颗想喝奶茶的心阿


猜你喜欢

5G来了!资费高不高?手机要换吗?

惨痛教训!长沙的哥3分钟追尾2次 双腿被截肢

今年底我国将实现高速公路收费站ETC全覆盖


来源 | 诸暨日报爱诸暨(ai-zhuji)、澎湃新闻(thepapernews)、浙江24小时

编辑 | 曾茜

值班主任 | 黄飞武

点亮,让更多人看到!

加载中...