中国学者获得世界首例遗传增强人类血管细胞:抵抗衰老和癌变
澎湃新闻记者 贺梨萍
原标题:中国学者获得世界首例遗传增强人类血管细胞:抵抗衰老和癌变
基因编辑技术这把“魔剪”自问世以来就受到各领域科学家的青睐。用这把“魔剪”在生殖细胞上动刀打造代代相传的“超级人类”,目前尚不被伦理允许。但在伦理许可的其他细胞上,科学家正试图借助这一利器打破人类疾病治疗目前面临的天花板。
北京时间1月18日凌晨,世界干细胞领域顶级期刊《细胞•干细胞》(Cell Stem Cell)在线发表了中国科学院生物物理研究所刘光慧研究组、北京大学汤富酬研究组和中国科学院动物研究所曲静研究组的联合研究成果:通过靶向编辑单个长寿基因产生了世界上首例遗传增强的人类血管细胞。
何谓遗传增强的人类血管细胞?刘光慧在接受澎湃新闻(www.thepaper.cn)采访时表示,“这种细胞在基因和遗传特性上进行了‘优化’。形象地说,这种‘增强’是打在基因组上的烙印,将发挥持久性的作用。举个例子,有些长寿老人不容易生病,不容易患肿瘤,也是遗传因素在起作用。”
值得注意的是,这是刘光慧等人历时六年的成果,而起始材料是人的胚胎干细胞。基于干细胞的人类疾病研究、人类衰老的遗传和表观遗传信息解码、新型基因组编辑技术,这些都是刘光慧的擅长领域,“关于干细胞或基因治疗的临床应用,人们对它最大的两点担忧是:是不是足够有效?是否足够安全?如果这两点解决了的话,就可以在临床上更进一步。”刘光慧表示。
从人胚胎干细胞出发,通过基因编辑技术获得遗传增强干细胞,进一步分化获得遗传增强血管细胞——这条看起来并不复杂的路径,目前看来或可破局干细胞治疗困境。
论文中提到,这些血管细胞与野生型血管细胞相比,不但能更高效地促进血管修复与再生,而且能有效抵抗细胞的致瘤性转化。遗传增强人类血管细胞的成功获得为开展安全有效的临床细胞治疗提供了重要解决途径。
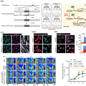
通过基因编辑产生FOXO3功能增强的人类血管细胞,用于治疗缺血性血管病变。
为什么要对干细胞遗传增强
研究团队将“魔剪”用在胚胎干细胞上,这首先得从干细胞治疗的现状说起。
所谓的干细胞,是一类具有自我复制能力的细胞,在一定条件下可以分化成多种功能细胞。其中,胚胎干细胞分化潜力最大,“理论上可以衍生出不同类型的细胞治疗的产品”,这也意味着各类受损组织或器官都会因此具有再生希望。
然而,这一领域目前面临着两个亟需解决的问题:有效性和安全性。
干细胞治疗的对象,目前普遍聚焦在老年人或者患有难治性疾病的病人。在具体的治疗中,刘光慧提到,“疾病发生损伤的部位会对外源植入的细胞进行攻击,这种攻击不是指免疫排斥,而是来源于衰老和疾病的不良微环境。炎性因子、氧自由基、毒性代谢产物等都会攻击外来的细胞移植物。”这会直接导致移植细胞尚未发挥作用就已经“阵亡”。
由此可见,理想的干细胞或细胞治疗应该是,细胞移植到体内之后,不需要频繁地去补注射,其本身就能抵抗局部不良的微环境,能长久地发挥作用,直到把受损部位修复好,有效实现再生。“这是一种理想的状态,目前还很难达到。”
除了看不到疗效,另外一个更大的担忧在于形成肿瘤。“这是阻碍细胞治疗技术广泛应用的关键,对于干细胞治疗中可能存在的致癌风险,很多人还持有谨慎的态度,即使这种治疗方式有很大的希望。”刘光慧指出。
那么,突破常规思路,让移植细胞能够适应非正常生理状况下的不良微环境,是不是就能从根本上解决疗效和安全性这两个“拦路虎”?
首创的“一石二鸟”策略
研究团队将目标锚定在名为“FOXO3”的转录因子。
转录因子,顾名思义,是一种可以协助遗传物质DNA向RNA转录的蛋白质。FOXO3这个转录因子可以结合在基因的启动子区域,上调一些基因转录。
关键的一点是,FOXO3被认为是一种重要的人类长寿蛋白,在世界各国人群中几乎都存在。此前已有研究表明,FOXO3与延缓细胞衰老、抵御外界应激和增强心血管稳态关系密切。此外,FOXO3的活化可通过诱导抑癌基因表达抵抗细胞的恶性转化。
在人类胚胎干细胞中,研究团队利用第三代腺病毒载体HDAdV介导的基因编辑技术,巧妙地置换了FOXO3编码基因的第3号外显子中的两个单核苷酸。改变两个单核苷酸,对于浩瀚的基因组海洋来说,犹如“四两拨千斤”之举。
两个核苷酸一旦改变,对应的编码蛋白FOXO3在氨基酸水平上会有两个氨基酸的变异。正常情况下,这两个氨基酸会被细胞里面的蛋白激酶Akt磷酸化,随后FOXO3就从细胞核里被输送到胞浆里去,然后被降解。而氨基酸变异之后就不能被Akt有效地磷酸化,这也就意味着,编码蛋白FOXO3就能在细胞核里“停留”更长的时间,从而更好地发挥其本职作用。
研究团队随后将上述FOXO3遗传增强的人类胚胎干细胞定向分化为血管内皮细胞(血管内膜)、血管平滑肌细胞(血管中膜)及间质细胞(血管外膜)。实验表明,这三种血管细胞均表现出比野生型细胞更强的自我更新、抵抗氧化损伤及延缓细胞衰老等能力。在机制方面,论文中提到,内源激活的FOXO3通过拮抗CSRP1基因表达介导对血管细胞衰老的抵抗作用。
进一步,针对从上述遗传增强的人类胚胎干细胞中分化获得的血管细胞,研究团队还在小鼠身上进行实验。实验中,小鼠腿部的大血管被结扎,出现缺血性损伤。于是,研究人员向小鼠腿部注入人类增强型血管细胞,帮助小鼠的伤腿重新再生出血管系统。
结果显示,增强血管细胞的移植可高效促进受损血管的再生,迅速恢复缺血部位的血流,证明这些细胞具有明显优于野生型细胞的血管修复能力。
效果不错,致瘤性这个难题是否也能迎刃而解?
为验证遗传增强干细胞作为移植材料的安全性,研究人员为它们设计了一种极端环境:将多种致癌因子导入野生型和遗传增强的干细胞中。结果发现,遗传增强干细胞还可以有效地抵抗癌基因诱导的细胞恶性转化。“不仅没有形成肿瘤,还获得了抵抗肿瘤的能力。”刘光慧表示。
FOXO3增强型人血管细胞对细胞癌化具有强抵抗作用。
研究团队指出,通过改写人类基因组中的两个碱基,研究团队成功建立了可同时抵抗细胞衰老和癌变的优质人类血管细胞。刘光慧认为,这实际上达到了“一石二鸟”的效果:既获得治疗能力的增强,还同时获得抵抗肿瘤的能力。
在细胞治疗和原位再生的研究领域,研究团队此次的工作是一项世界首创的策略。
FOXO3功能增强可延缓血管衰老,增强应激抵抗并防止细胞癌变。
值得注意的是,研究团队对于遗传增强的这种治疗策略此前就有相关论文发表。2017年,同样的研究团队发表论文,获得国际上第一例遗传增强人类干细胞。“思路是一脉相承的,但这次是针对人类长寿基因进行编辑,且着重在血管退行性疾病系统中进行验证。”
这种首创的策略是否具有推广性,在其他疾病领域中大显身手?
对于这一点,刘光慧着重指出,除了上述“一石二鸟”的效果,团队的技术路线是利用人类胚胎干细胞作为起始材料。
“人类胚胎干细胞可以在体外大量扩增,同时又可以在实验室中被定向诱导分化成任何一种具有治疗潜力的细胞类型。未来,遗传增强策略可能有助于实现人类优质细胞治疗产品的标准化。”刘光慧表示。
北京时间1月18日凌晨,世界干细胞领域顶级期刊《细胞•干细胞》(Cell Stem Cell)在线发表了中国科学院生物物理研究所刘光慧研究组、北京大学汤富酬研究组和中国科学院动物研究所曲静研究组的联合研究成果:通过靶向编辑单个长寿基因产生了世界上首例遗传增强的人类血管细胞。
何谓遗传增强的人类血管细胞?刘光慧在接受澎湃新闻(www.thepaper.cn)采访时表示,“这种细胞在基因和遗传特性上进行了‘优化’。形象地说,这种‘增强’是打在基因组上的烙印,将发挥持久性的作用。举个例子,有些长寿老人不容易生病,不容易患肿瘤,也是遗传因素在起作用。”
值得注意的是,这是刘光慧等人历时六年的成果,而起始材料是人的胚胎干细胞。基于干细胞的人类疾病研究、人类衰老的遗传和表观遗传信息解码、新型基因组编辑技术,这些都是刘光慧的擅长领域,“关于干细胞或基因治疗的临床应用,人们对它最大的两点担忧是:是不是足够有效?是否足够安全?如果这两点解决了的话,就可以在临床上更进一步。”刘光慧表示。
从人胚胎干细胞出发,通过基因编辑技术获得遗传增强干细胞,进一步分化获得遗传增强血管细胞——这条看起来并不复杂的路径,目前看来或可破局干细胞治疗困境。
论文中提到,这些血管细胞与野生型血管细胞相比,不但能更高效地促进血管修复与再生,而且能有效抵抗细胞的致瘤性转化。遗传增强人类血管细胞的成功获得为开展安全有效的临床细胞治疗提供了重要解决途径。
为什么要对干细胞遗传增强
研究团队将“魔剪”用在胚胎干细胞上,这首先得从干细胞治疗的现状说起。
所谓的干细胞,是一类具有自我复制能力的细胞,在一定条件下可以分化成多种功能细胞。其中,胚胎干细胞分化潜力最大,“理论上可以衍生出不同类型的细胞治疗的产品”,这也意味着各类受损组织或器官都会因此具有再生希望。
然而,这一领域目前面临着两个亟需解决的问题:有效性和安全性。
干细胞治疗的对象,目前普遍聚焦在老年人或者患有难治性疾病的病人。在具体的治疗中,刘光慧提到,“疾病发生损伤的部位会对外源植入的细胞进行攻击,这种攻击不是指免疫排斥,而是来源于衰老和疾病的不良微环境。炎性因子、氧自由基、毒性代谢产物等都会攻击外来的细胞移植物。”这会直接导致移植细胞尚未发挥作用就已经“阵亡”。
由此可见,理想的干细胞或细胞治疗应该是,细胞移植到体内之后,不需要频繁地去补注射,其本身就能抵抗局部不良的微环境,能长久地发挥作用,直到把受损部位修复好,有效实现再生。“这是一种理想的状态,目前还很难达到。”
除了看不到疗效,另外一个更大的担忧在于形成肿瘤。“这是阻碍细胞治疗技术广泛应用的关键,对于干细胞治疗中可能存在的致癌风险,很多人还持有谨慎的态度,即使这种治疗方式有很大的希望。”刘光慧指出。
那么,突破常规思路,让移植细胞能够适应非正常生理状况下的不良微环境,是不是就能从根本上解决疗效和安全性这两个“拦路虎”?
首创的“一石二鸟”策略
研究团队将目标锚定在名为“FOXO3”的转录因子。
转录因子,顾名思义,是一种可以协助遗传物质DNA向RNA转录的蛋白质。FOXO3这个转录因子可以结合在基因的启动子区域,上调一些基因转录。
关键的一点是,FOXO3被认为是一种重要的人类长寿蛋白,在世界各国人群中几乎都存在。此前已有研究表明,FOXO3与延缓细胞衰老、抵御外界应激和增强心血管稳态关系密切。此外,FOXO3的活化可通过诱导抑癌基因表达抵抗细胞的恶性转化。
在人类胚胎干细胞中,研究团队利用第三代腺病毒载体HDAdV介导的基因编辑技术,巧妙地置换了FOXO3编码基因的第3号外显子中的两个单核苷酸。改变两个单核苷酸,对于浩瀚的基因组海洋来说,犹如“四两拨千斤”之举。
两个核苷酸一旦改变,对应的编码蛋白FOXO3在氨基酸水平上会有两个氨基酸的变异。正常情况下,这两个氨基酸会被细胞里面的蛋白激酶Akt磷酸化,随后FOXO3就从细胞核里被输送到胞浆里去,然后被降解。而氨基酸变异之后就不能被Akt有效地磷酸化,这也就意味着,编码蛋白FOXO3就能在细胞核里“停留”更长的时间,从而更好地发挥其本职作用。
研究团队随后将上述FOXO3遗传增强的人类胚胎干细胞定向分化为血管内皮细胞(血管内膜)、血管平滑肌细胞(血管中膜)及间质细胞(血管外膜)。实验表明,这三种血管细胞均表现出比野生型细胞更强的自我更新、抵抗氧化损伤及延缓细胞衰老等能力。在机制方面,论文中提到,内源激活的FOXO3通过拮抗CSRP1基因表达介导对血管细胞衰老的抵抗作用。
进一步,针对从上述遗传增强的人类胚胎干细胞中分化获得的血管细胞,研究团队还在小鼠身上进行实验。实验中,小鼠腿部的大血管被结扎,出现缺血性损伤。于是,研究人员向小鼠腿部注入人类增强型血管细胞,帮助小鼠的伤腿重新再生出血管系统。
结果显示,增强血管细胞的移植可高效促进受损血管的再生,迅速恢复缺血部位的血流,证明这些细胞具有明显优于野生型细胞的血管修复能力。
效果不错,致瘤性这个难题是否也能迎刃而解?
为验证遗传增强干细胞作为移植材料的安全性,研究人员为它们设计了一种极端环境:将多种致癌因子导入野生型和遗传增强的干细胞中。结果发现,遗传增强干细胞还可以有效地抵抗癌基因诱导的细胞恶性转化。“不仅没有形成肿瘤,还获得了抵抗肿瘤的能力。”刘光慧表示。
研究团队指出,通过改写人类基因组中的两个碱基,研究团队成功建立了可同时抵抗细胞衰老和癌变的优质人类血管细胞。刘光慧认为,这实际上达到了“一石二鸟”的效果:既获得治疗能力的增强,还同时获得抵抗肿瘤的能力。
在细胞治疗和原位再生的研究领域,研究团队此次的工作是一项世界首创的策略。
值得注意的是,研究团队对于遗传增强的这种治疗策略此前就有相关论文发表。2017年,同样的研究团队发表论文,获得国际上第一例遗传增强人类干细胞。“思路是一脉相承的,但这次是针对人类长寿基因进行编辑,且着重在血管退行性疾病系统中进行验证。”
这种首创的策略是否具有推广性,在其他疾病领域中大显身手?
对于这一点,刘光慧着重指出,除了上述“一石二鸟”的效果,团队的技术路线是利用人类胚胎干细胞作为起始材料。
“人类胚胎干细胞可以在体外大量扩增,同时又可以在实验室中被定向诱导分化成任何一种具有治疗潜力的细胞类型。未来,遗传增强策略可能有助于实现人类优质细胞治疗产品的标准化。”刘光慧表示。