是扶老人被讹还是真的撞人?三年后法医解开事件真相……|《法制日报》系列报道之“法医讲述”(一)
法制日报
作者 法制日报记者 余东明 实习生 张若琂
编
者
按
法医,一个神圣而又神秘的职业。很多人通常是从一些文学作品中去了解他们:开膛剖腹、残肢断臂,抑或阴森恐怖、毛骨悚然……
在司法实践中,他们找真凶、辨黑白,又被称为“白衣法官”。
司法部司鉴所是我国司法鉴定领域的“航空母舰”,这里聚集着全国最为知名和权威的法医和鉴定专家团队。近年来,他们对一大批重大、疑难、复杂、敏感、涉外案件进行司法鉴定,维护了国家利益和公民合法权益、纠正了一批冤错案,为化解纠纷冲突、维护社会稳定和保障司法公正发挥了重要作用。11月19日,司法部宣布,司鉴所正式更名为司法鉴定科学研究院,同时也按下了司法鉴定行业整体提档升级的按钮。
那么现实中,法医每天的工作是什么?在近一年的时间里,《法制日报》记者走进司法部司鉴所,与这里的法医、鉴定专家面对面,采写了系列报道——“法医讲述”,试图向公众揭开法医这个职业的神秘面纱。
哈哈
第1个個故事
The first story
白
1
法医讲述

是扶人还是撞人 谁在说谎
把扶人者指为撞人者,往往会被认为是冤枉好人恩将仇报,道德谴责之声鹊起;而撞人者辩解自己是扶人者,则会被认为道德败坏公然说谎,以逃避法律责任。
2009年,发生在天津的许云鹤案就是这样一起真假莫辨,备受媒体和公众广泛关注的案件。真相何在?直至案发3年后,法医给出了答案……
李正东,高高大大、棱角分明,从外貌看,更像一名刑警。但他从事法医已有5年之久。最近,他及时出手,利用“损伤生物力学重建”技术还原了一起杀人案的真相,让山东法院在审理一名被告人时“刀下留人”。
5年前,他还是复旦大学的一名硕士研究生,损伤生物力学重建研究课题是他攻读的方向。他的导师,是司法部司法鉴定所原所长、现党委书记陈忆九,我国“法医损伤学致伤机制重建”研究课题的领军人物。
2012年的某天,刚上班的陈忆九接到一个电话,是天津市第一中级人民法院领导打来的。“找你们不容易啊,这个案子唯有你们出手,才有可能真相大白。”
电话里所说的案子正是媒体广泛关注的许云鹤案。案发3年来,案件得到各级政法机关的高度重视,尽管经过了一审判决,但依然扑朔迷离、争议不断。特别是案件一审判决后,媒体对此案持续关注,舆论持续发酵,甚至到了要颠覆传统文化关于见义勇为的定义的地步,这对于二审法院来讲,无疑是一个“烫手山芋”。
就这样,陈忆九接下了案子,并让自己的学生李正东参与其中。
“案件发生在2009年10月21日,当时许云鹤涉嫌与王秀芝发生交通事故,双方在调查中各执一词:许云鹤认为王秀芝跨越隔离护栏摔倒,他下车扶人;王秀芝则认为是许云鹤的汽车撞倒了自己。”李正东说。
对于此案来讲,现场监控,没有;撞击痕迹,也没有。

事发现场图
“事故点刚好是个监控盲区,交警对车辆检验时已是3天过后,汽车已经洗过了,应该说没有任何直接证据来还原事故现场。目击证人据说是有的,但因各种原因不愿意出庭作证。”李正东说。
在这种情况下,一审法院作出“许云鹤承担40%民事责任”的判决。到底是公正判决还是冤枉了好人?有媒体把它当成了“天津版彭宇案”进行报道,也有媒体直接打出“助人为乐反被讹10万元”的标题……
“当时舆论压力巨大,法院提供的材料又少得可怜。我们请了上海医界最知名的骨科专家和法医学专家会诊,大家都觉得,这个案子要还原真相不容易。”李正东回忆说,“陈老师带着我们梳理出此前案件的三个争议点,在排除前两个争议点后,针对第三个关键点寻找鉴定技术突破口。”
1
针对保险杠高度高于膝盖,撞击不成立的争议。陈忆九认为:汽车紧急刹车车头自然向下压,撞击时高度可以吻合。
2
护栏高度问题。许云鹤声称护栏“大约1米高”,那么身高不足1米6的王秀芝要想跨越就容易摔倒。为此,陈忆九等专家专门到现场实地勘查,发现护栏高度仅为50公分,王秀芝跨越难度并不大。
3
王秀芝右小腿骨折是撞伤、还是摔伤,抑或是撞击后摔倒所致?陈忆九决定利用“虚拟解剖”及“损伤生物力学重建”技术来还原真相。
“这门技术的核心是用人体数据构建正常状态和损伤状态的模型,通过两者的对比,加载不同的致伤条件,模拟损伤形成过程。”尽管当时这门技术尚处于科学研究阶段,但他们还是决定试一试。李正东接下了这个活。
这是一个重复、漫长和枯燥的过程。

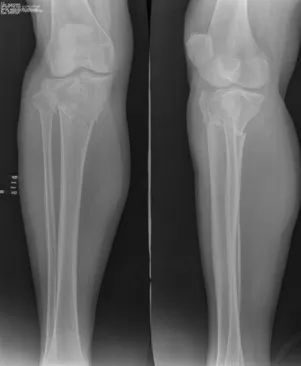
X光片
“当时比较幸运的是,医院保存了王秀芝案发时拍摄的双腿CT电子数据。这些数据很完整,是我们三维建模的关键。我先给王秀芝的右腿构建了损伤后的模型,然后再利用其左腿的数据用镜像(对称反转)的方式构建了右腿损伤前的三维有限元模型。”李正东说。


有限元建模

再接下来就是要对外力作用下的人体损伤过程进行仿真比对。“假设、求证、否定,再假设、再求证、再否定,我们从不同方向、按不同大小的力量对损伤状态加载求证,前后进行了100多次的加载,中间不留灰色地带,力求整个求证比对过程是完整而不留盲区的。”李正东说,这个过程下来,王秀芝的损伤仿真模拟渐渐明晰了起来。



三维重建图
根据这些完整的实验数据,陈忆九作出判断:王秀芝腓骨小头骨折由撞击直接形成。
“陈老师认为,一方面摔倒致伤位置不符,作用力的大小也不符合摔伤形态;另一方面影像显示胫骨呈现倒T形骨折,符合撞击致伤的形态。”李正东说。
生物力学最直观地模拟了许云鹤案的事故现场,其说服力不言而喻,彻底避免了以往依靠“经验判断”而备受争议的尴尬。
二审开庭,陈忆九亲自出庭,并当场呈现了生物力学模拟仿真的事故现场,面对这一切,许云鹤沉默了。
法院最终判决,许云鹤撞伤王秀芝的事实成立,根据各自事故责任,许云鹤赔偿王秀芝10.86万元。
法院判决后,舆论高度评价了鉴定结果,认为是科学的力量寻找了真相,还原了事实,厘清了纠缠于法律和道德上的双重难题。
庭审现场外,轮椅上的王秀芝流下了眼泪,既为自己违法跨越隔离带造成事故感到后悔,也为法医寻找真相令她获得法定赔偿深表感激。
5年过去了,陈忆九先后担任了司法鉴定所所长、党委书记,学生李正东也已经是身经百战的主检法医。但许云鹤案给予这两位法医的不仅仅是身份上的改变。
“寻找真相是我的法定职责,在这个案件中,导师以身作则教会我严谨细致、眼见为实的执业精神,也让我具备了不怕困难、披荆斩棘的工作勇气。”李正东说。
来源:法制日报