【实用】修补牙齿就是填洞吗?这里面的学问大了,看明白能帮你正确补牙!
黑龙江广播电视台
11月20日 哈尔滨
多云转晴 -14℃~-6℃
西南风3-4级
编者按:在全国最多美女的20个上榜城市中,咱们大哈尔滨位列榜首。但是据小编了解,哈尔滨的不少姑娘都在为牙齿犯愁。比如影响颜值的牙齿发黄,列不齐、牙结石......甚至是经常发炎,让人疼痛难忍的龋齿......
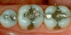
视频里的妹纸就因为从小频繁吃糖不刷牙,导致牙齿龋坏,不仅影响正常吃饭,还常年犯疼。虽然她以前补完牙后填上了洞,但始终有一块很显眼的黑斑。

医生介绍说,这种传统的牙齿修复材料为银汞合金,刚补完牙时呈现不协调的银灰色,时间一长就容易发黑,非常影响美观。
那龋齿到底怎样修复才能变得和真牙一样健康美腻呢?

补牙材料大对比


美观:树脂>玻璃离子>银汞合金
预防继发龋:玻璃离子>树脂>银汞合金
硬度:银汞合金>树脂>玻璃离子
银汞合金

优点:1.比较耐磨;2.价格便宜。
缺点:1.和牙齿组织没有粘接性,只能靠机械锁合作用嵌在牙齿上,因此需要在牙齿上磨出一定深度和大小的洞形,磨牙的量较大;
2.银汞充填体和牙齿窝洞之间的微渗漏较大,比较容易出现继发龋坏;
3.颜色不好看,不能用于补靠近前面的牙齿;4.导热能力强,深洞必须垫底,易出现术后敏感。
玻璃离子水门汀

优点:1.氟离子的释放,能够一定程度上预防继发龋;
2.对釉质和牙本质有化学粘接比银汞合金的粘结性要好;
3.边缘封闭性较好;
4.对牙髓刺激性小;
5.与人体的生物相容性较好。
缺点:美观度一般,不透明,且不易进行抛光处理。
树脂

优点:1.美观。颜色和质地比较接近牙齿组织,因此树脂充填体成为前牙缺损充填的首选材料;
2.和牙齿组织有粘接性,对洞形的要求相对比较低,磨牙的量比较少,有利于保护牙体组织;
3.可用于充填大面积缺损的患牙;
4.窝洞的边缘封闭性较好,有利于防止继发龋坏;
5.有专门用于后牙充填的树脂,既美观也结实;
6.导热能力较弱,术后反应较小。
缺点:费用相对较高。
比对完,相信各位小伙伴对补牙材料都有了初步的认知和选择,。其实,材料只是基础,想要一颗健康完美的“新牙”,最重要的还是在于修复的技术。


传统的牙齿取模需要经过咬牙印、灌模、石膏终凝后脱模等多重布奏,取模过程容易让人感受不适或恶心,同时,传统修复体的设计、制作过程复杂、耗时一般一周左右,修复效果只能凭医生的经验来预判告知。

而树脂美学修复和传统补牙的最显著差别在于,修复完成后牙齿形态和颜色协调性的整体效果逼真,这种3D美学微雕的方式,真实地还原出每颗牙齿的横纹,颜色使修复体恢复到正常牙齿的自然状态。

哪颗更像你的真牙,上边还是下边?
有图有真相

优诺・博士口腔斥资引进采用德国创新3D数码雕刻的瓷睿刻即刻修复技术,实现修复全程可预知、可观看、可参与,运用光学取像,电脑模拟设计方案。
同时,修复材料使用世界先进的3M第8代树脂性粘结剂,具备全效粘结的功能,对牙体不刺激的前提下又能很好的保证修复体固位。只需一次就诊,当天即可完成牙齿的完美修复。
所以,宝宝们千万不要以为牙齿堵上就完事了,
一定要到专业的正规医院就诊,
牙齿才能健康又美腻哦!
给优诺·博士口腔打CALL !!!

喜欢请点ZAN!
领导说了,
您点一个
小编的工资就涨五毛!