小别胜新婚…一夜过后,她竟流了全身近 40% 的血!医生提醒
大洋网-广州日报

黄体囊肿破裂是妇科常见的急腹症之一,常见于 20~40 岁的育龄期女性。此病最常见的诱因是性生活时女性生殖器官充血,加上男方动作粗鲁,导致女方腹部受到强烈的冲击,表现为不同程度的腹痛和腹腔内出血,严重的可出现失血性休克,因此被称为女性 " 青春杀手 "。
七夕佳节即将来临,妇科专家提醒,情人节约会别太 " 生猛 ",小心黄体囊肿破裂。
湖南长沙26 岁的小晴和 28 岁的小东是一对新婚夫妇,因工作的缘故两地分居。8 月 16 日,近半年未见丈夫的小晴回到长沙。晚上,小别胜新婚的两人免不了亲热一番。

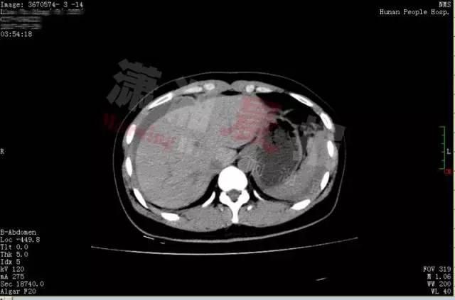
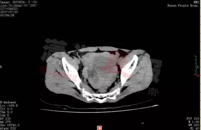
谁知激情过后,小晴出现下腹部疼痛,而且越痛越厉害,只得来到湖南省人民医院天兴阁院区急诊科就诊。尿妊娩检查结果为阴性,而腹部 CT 提示盆腔、腹腔有大量积血、积液,随即转入妇科。
黄薇副主任医师接诊后发现,小晴面色苍白,浑身大汗淋漓,脉搏为 102 次 / 分,呼吸 22 次 / 分,血压 89/54mmgH, 血红蛋白为 79g/l, 已达到失血性休克的标准。

黄主任立即为小晴进行诊断性腹腔镜手术,术中发现腹腔内积血约 1500ml,接近她全身总血量的 40%," 再晚一点来,就会危及生命了 "。医生还发现,在她右侧卵巢有一个直径 3cm 左右的黄体囊肿表面有破口,破口有血块附着,还有活动性出血。黄薇立即为她施行黄体囊肿剥除和创面缝合止血手术,恢复了卵巢的正常形态。

黄主任介绍,女性月经来之前的 7~10 天左右,卵巢会有一个生理性的黄体囊肿形成。黄体破裂最易发生在月经中期后 7~10 天,此期也称黄体期。通常黄体囊肿破裂有两种情况:
第一种是黄体发育时破坏了卵巢的小血管,黄体内部出血,导致内部压力上升,从而发生自发性破裂,此种情况非常少见。第二种是因外力作用,最常见的诱因是性生活时女性生殖器官扩张充血,黄体内张力升高,加上男方动作粗鲁,女方腹部受到强烈的冲击而导致黄体破裂 , 此种占黄体囊肿破裂的大多数;另外,在黄体期剧烈跳跃、奔跑、用力咳嗽或解大便时腹腔内压力升高也可能导致黄体破裂。
黄主任特别提醒:七夕佳节将至,恋人们在黄体期同房一定要悠着点,尤其是男方要动作轻柔,以免发生黄体囊肿破裂出血。
来源:潇湘晨报
编辑:广州日报全媒体
