青岛8岁女孩误吞7号电池,家长却给她吃包子、喝蜂蜜…4小时后才送医院
大众新闻-半岛都市报

8月7日,
青岛市中心医院接诊了一个小病号
这名8岁女童误将一块7号电池吞到肚里
这还不是重点,
为了尽快让电池排出,
家长竟然让孩子吃包子、喝蜂蜜…

眼见这招不起作用,
4个小时后才将孩子送到医院……
8岁的微微(化名)是个特殊孩子,她智力发展相对迟缓。8月7日上午,姥姥陪着她在家看电视,没注意的工夫,微微竟把电视遥控器的电池拿了出来,放到嘴里玩,一不小心咽了下去。
姥姥发现后急了,想着用偏方赶紧让电池排出来,先给孩子吃了两个包子,等了等没反应,又从网上查半天,给孩子喝蜂蜜,还是没出来。
最后没招了,她才给一位在医院工作的亲戚打电话,亲戚一听急了,赶紧送孩子到医院。此时已经是下午3点15分,距离孩子误吞电池过去了4个小时。
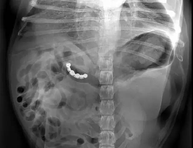
青岛市中心医院急救中心接到患者后,赶紧请求消化内科会诊。

胃镜显示屏上显示的电池位置。
“这个孩子因为自身特殊原因,表达不是很好,但明显看到她脸上很焦虑、很紧张,一直在走来走去。”
医生赶紧让她躺下,因为一旦活动较大,电池从胃部掉进肠子里就麻烦了,但孩子情绪不是很稳定拒绝躺下,最后在妈妈和姥姥的帮助下,暂时坐下才算稳定下来。
腹部拍片很快确认电池还在胃内,这让专家松了口气,不能让电池在胃内存留时间太长,否则可能还会发生异常不到的意外。消化内科主任娄渊贵立即安排急诊手术,实施全麻下行内镜电池取出术。

当天下午5点半,手术正式开始。当胃镜进入食管,专家愣住了:“里面塞满了包子陷、西红柿、水果等残渣。”
正常情况下,食物进入胃部,6到8小时就会排空,距离上午孩子吃包子已经过去了4个小时,就算没有排空,也应该消化差不多了,但此时连包子馅都很清楚。

娄渊贵分析:“可能这孩子本身胃肠蠕动就比较差,她今年8岁体重已经90斤,稍微偏胖,同时在精神紧张的情况下也会影响胃肠蠕动。”
食物残渣太多,好几个方案无法实施。刚开始想用胃镜把胃腔里的粘液等吸出来,但残渣太多胃镜会被堵住,无法操作;后来又想到用水冲,但又担心食物返上来。
无奈之下,医生只能慢慢寻找,15分钟后,终于在油腻的食物残渣下面找到了隐藏的7号碱性电池。
电池好不容易找到了,医生从内镜中看到电池光滑没有腐蚀点,电池光滑的表面没有着力点,娄渊贵用重力牢牢固定住了电池的一端,一点点往上挪,孩子食道比较细,管腔也很狭窄,在往上挪的过程中再把电池慢慢竖起来,才能顺利取出。

大家屏住呼吸,力量均衡地往上慢慢挪动,生怕力度稍微有变化,导致电池滑落。十几分钟后,误吞的电池终于被取了出来。
娄渊贵介绍,误吞的异物中,比较常见的有硬币、棋子、玩具部件、玻璃珠等。
发现孩子误吞异物,如果家长不是专业医务人员,没有经过正规的急救培训,且孩子当时没有窒息危险,家长不要盲目给孩子喝水、拍背,或者催吐,而是应该第一时间把孩子送到有耳鼻喉科的正规医院治疗。
一般来说,5岁以上的孩子吞食了较小的异物到胃部,都可以自然排出。家长可以给孩子吃韭菜之类的粗纤维蔬菜和粗粮等,促进异物排泄。
如果是3岁以下的孩子,家长应该马上把孩子抱起来,脸朝下,趴在家长膝盖上。在背上拍1—5次,观察孩子是否将异物吐出。

如果没有排出来,将孩子翻身脸朝上,斜躺在家长大腿上,手指并拢放在肚脐眼上方的位置,用力向上压迫,直到异物排出。

对于稍大一些的孩子,家长可以从背后抱住他,然后突然向上用力压迫腹部。
切!记!如果吞进去的是尖锐的异物,切不可强行催排,否则会划伤食道,所有上述行为进行同时,别忘了拨打120急救电话。
这几年误吞异物的案例
频频发生
1郑州一名两岁多的男宝小俊,因误吞一个纽扣电池,承受了莫大的痛苦。这是电池卡在食管里的照片!纽扣电池漏出的化学物质,将周围的食管都烧黑了!
江苏3岁孩子玩耍时吞了13颗磁珠,竟然造成肠子上11个穿孔!通过手术取出了13颗磁珠。
医生手术中还发现孩子肠管共有11个穿孔,穿孔处已经有些坏死发暗。医生切除坏死的肠管后,重新缝合。13颗磁珠取出后,有几颗已经有些腐蚀变黑了。


九岁少年在玩耍时不小心将吸铁石吞进肚子里,家长直到这些隐形“炸弹”磨穿肠壁,部分肠壁已经穿孔坏死后,才发现。

九江市一名两岁男孩误吞一枚1元硬币,结果被卡在食道,险些丧命!

不光孩子会误吞,大人有时候也很马虎。驻马店上蔡县一位二十多岁的小伙, 吃晚饭时因为太饿,狼吞虎咽,误把刀片当肉片吞了下去,刀片一路穿膛入肚……

为了浪漫,把订婚戒指藏在奶昔里,结果被误食……

吃饭时,一不小心吞入一把勺子!

用剪刀剔牙,结果剪刀滑入食道……

有人将一整副假牙吞服!

还有人吞下一把钥匙……
落在食道里的别针……

看见没?
电池、钥匙、勺子、硬币,
甚至还有刀片和剪子,
被误吞的异物真是五花八门
小编要格外提醒一下家长,
孩子的好奇心重,
家里尽量把电池、硬币等小物品藏起来,
一旦孩子误吞了
照小编上面列的表去做!
切记!切记!
◆半岛都市报微信综合(ID:bandaobao),据城市信报、青岛早报
◆编辑:陈小小/yiyi
大家都看●万科37.9亿拿下李沧青银高速旁地块,建3000套住宅,配42班小学12班幼儿园,市内少有超级大盘!
●“青岛造”一汽大众第一辆整车下线啦!这是即墨变身的历史性时刻!年产30万辆整车对大即墨究竟意味着什么?
快关注半岛都市报官方微信,支持美女小编,比心~
【本文来自微信公众号“半岛都市报”】