大江东:总理在上海找到缓解中西部看病难良方?
人民日报全国党媒平台
原标题:大江东:总理在上海找到缓解中西部看病难良方?
4月11日下午,上海华山医院远程医学中心原本只是李克强总理风尘仆仆调研行程的一小部分。没想到,他在这里的盘桓大大“超时”,东姐也好奇,究竟是什么吸引了他呢?
结核还是包虫?在李克强总理的注目下,上海专家为藏族小伙吉桑找出了病灶元凶

4月11日,李克强总理在华山医院参观远程会诊现场(转自中国政府网)
20岁藏族小伙子吉桑(化名)很幸运。
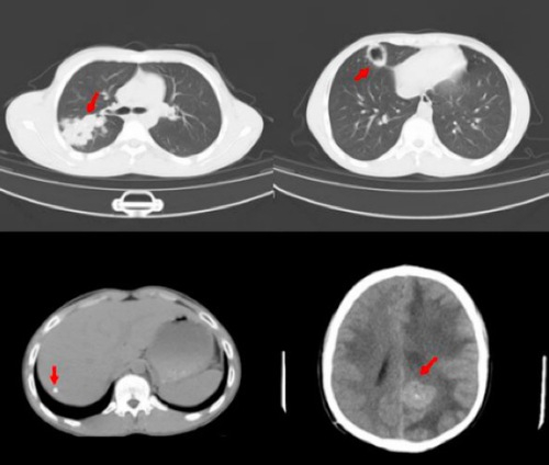
咳嗽、咳痰伴背部疼痛、盗汗,吉桑难受了一个来月。3月,他来到青海省果洛州人民医院就诊,肺部CT发现明显病灶,当地医务人员初步考虑结核。然而抗结核治疗后病情不见好转,进一步检查时,颅内、肝脏又发现了病灶,其中颅内病灶已表现出占位效应,小伙子随时可能有性命之虞。多脏器累及的病灶元凶究竟是什么,当地医生犯了难。

吉桑的CT影像资料
幸运的是,身在果洛的吉桑,得到来自2749公里之外上海大医院专家的医疗帮助。4月11日下午,在复旦大学附属华山医院远程会诊中心,神经外科专家周良辅院士、放射科专家耿道颖教授、感染科专家张文宏教授联合会诊。三位专家结合患者的流行学资料、影像学表现和既往病史,与当地医生充分讨论,缜密分析,很快得出一致意见:考虑为播散性包虫病,并给出进一步检查和药物、手术治疗建议。
4月10日、11日,李克强总理在上海考察,正赶上这场会诊,亲眼见证上海、青海两地医生为吉桑做的远程会诊,并与参加会诊的两地医务人员进行亲切交流。
华山医院远程医学中心,总理“超时”看了又看,想的是啥?

上海和日喀则之间的会诊活动
高楼矗立的华山医院,花园一角的中式小楼很不起眼,顶层的远程医学中心很有点“螺蛳壳里做道场”的紧凑:中间“大厅”留给需要联合会诊、讨论的复杂病例,墙上挂着、桌上摆着的,都是大小电脑屏幕,三四把椅子一放,已经满满当当。两边五间“包厢”,一桌一椅一两台电脑,比普通诊室小得多。
除了青海小伙子吉桑,总理还看了云南腾冲市和新疆喀什两位病人接受远程会诊的过程。通过互联网视频连线,他仔细询问远程医疗中还有什么困难,几位医生反映,当地医学影像设备等条件较差、网速较慢,影响远程医疗的实际效果。李克强说,远程医疗事关人民群众的生命健康,今年中央财政要在上述两方面对中西部等贫困地区加大硬件投入,电信企业要优先提速远程医疗,用“互联网+医疗”让优质医疗资源普惠更多群众。
果然。
4月12日,李克强总理回京召开国务院常务会议,一项重要内容就是关于布署加快发展“互联网+医疗健康”的措施。会议决定,加快二级以上医院普遍提供预约诊疗、检查结果查询等线上服务,允许医疗机构开展互联网医疗服务。推进远程医疗覆盖所有医联体和县级医院,推动东部优质医疗资源对接中西部需求。建立互联网专线保障远程医疗需要。三是推行医保智能审核和“一站式”结算,健全“互联网+医疗健康”标准体系……
透过华山医院的视频连线,让总理惦念的,是中西部偏远地区百姓的病痛,如何能得到更好救治。
远程会诊爆增,对口援建短期变长期,互联网让医疗帮扶不一样了
“近些年,我们援外支边、服务中西部,除了响应国家号召派出专家医疗队对口支援,在当地建立院士、专家工作站以外,还不断利用‘互联网+医疗’技术。”华山医院院长丁强说,该院已在全国主要是中西部地区的24个省份提供远程会诊服务,与200多家医院建立远程医疗协作关系。远程医学中心的中国地图上,华山医院设有工作站和开展远程会诊的地区标注得密密麻麻。
云南腾冲市人民医院曾是华山医院沪滇对口支援的结对伙伴,医院先后派出6批32名医务人员在腾冲工作,每批6个月,腾冲市人民医院也派了43名医务人员到华山医院进修学习。三年的对口援建任务结束,双方又变成长期持续的远程支教:华山医院开设了“保山市专家工作站”,主要帮助腾冲市人民医院提高疑难杂症疾病的救治能力和精准识别能力,视频会诊、病例讨论、技术培训是最常用的形式。

华山医院医疗队在甘肃临夏义诊。
不只是腾冲。从新疆喀什、克拉玛依、乌鲁木齐,西藏日喀则、洛隆,到云南迪庆、文山,甘肃临夏,江西赣州,贵州遵义,乃至马基斯坦瓜达尔港、捷克勃罗夫卡等地,华山的医疗帮扶行动里,几乎都有“互联网+”的长久支撑。
通过华山医院的互联网医疗服务平台,可以很方便地申请加入该院的专科联盟远程协作网络。医院重点对中西部学科建设薄弱的医院开展交流指导,包括视频连线,远程诊疗、医疗培训、医疗观摩、手术示教、放射读片、病理读片、病例讨论等。医生们甚至不必固定地点,只要有上网条件,就能进行图文会诊,只要双方都有音视频设备,就能通过系统面对面交流。

三年前,华山医院一年开展远程会诊473次,到了2017年,已增加到1274例。至今累计完成的6500余例远程会诊中,中西部地区占72.3%,这还不包括每月都要做2—3场的远程教育培训。
纡解中西部患者“看病难、看病贵”,让顶尖医院专注疑难杂症
华山医院每年门急诊量440万人次,在上海算不上大,但在病种疑难程度CMI指数和三四级手术占比上,位列全市第一。医院接诊的病人中,65%来自外地。大名鼎鼎的皮肤科,每天要接待患者超过4000人。
这样一家门庭若市的顶尖专科医院,大力投入“互联网+医疗”的动力何在?
“华山医院医生应该多看些他们想看的病患,而不是整天忙于小毛小病。” 副院长马昕解释说,华山医院以“头大”(神经内科、神经外科)、“皮厚”(皮肤科)、“手长”(手外科)、“抗感染能力强”(感染科)闻名,专科特色明显。通过远程会诊,优质资源可以辐射更大范围,偏远地区的多数患者不必赶到大城市,看病成本大大降低;当地医生掌握更好的医疗规范、水平提升;顶尖的专科医生可以获得最典型的疑难病例。这样合作的结果,是多赢。
在马昕看来,有了互联网、大数据和人工智能,医生看病、患者就医模式,注定要发生大变革。原有的医疗资源分布不均衡问题,因为有了互联网技术设备和东部优质医疗人才的支援,而大大减缓。
在华山医院,医生们任何时候都能通过移动工作站,在平板或手机上随时查看病区患者的病历、医嘱、检查检验结果,随时关注患者病情变化及时干预。

远程会诊已成华山医院专家们的日常
患者获得的服务便利也有很多,比如在华山医院,患者通过官方APP、微信、自助机预约挂号、付费、查询报告或出院小结、点餐都很便捷;如果吃不准该看哪一科,还能提交病情资料请医生给出建议;需要复印病史资料,可以在线提交申请,通过审核后,就能坐等快递上门。医务处处长王惠英介绍说,使用各种自助渠道预约挂号者已占门急诊人数六成。
不过,挂号付费窗口依然时时出现的排成长龙、人头攒动景象,让王惠英体会到改变行为习惯并不容易。“互联网+医疗健康”的大变革里,技术跑到了前头,人还要有多久才能适应乃至成为技术引领者、造福生命?
文中图片除注明外均由复旦大学附属华山医院提供
(人民日报中央厨房 大江东工作室出品)
责编:陈婉昭、